【编者按】猪辞旧岁,瑞鼠迎新春,时光荏苒,又是一年新春到!一年来,《健康沈阳》头条号在广大读者朋友们的持续关注和支持下,取得了长足的进步。2020年,我们将继续秉承“以人民健康为中心”的发展理念,以传播健康为己任,不断增进沈城百姓的健康福祉。春节期间,我们将从1月17日起(农历腊月二十三)至2月8日(农历正月十五)策划《把健康带回家》特辑。请读者朋友们对我们给予更大的关注,在这里《健康沈阳》头条号恭祝大家鼠年大吉,身心健康!

经常有患者问:“医生,牙体牙髓科是做什么的?为什么你们医院别的科的医生让我到牙体牙髓科看病?”沈阳市口腔医院牙体牙髓病二科医师常孟族告诉大家:牙体牙髓科看诊的范围,简单来说就是由牙齿本身引起的疾病都属于牙体牙髓科的诊疗范畴。包括我们日常经常出现的龋病,也就是老百姓说的“虫牙”;还有牙齿发育异常,例如氟牙症、四环素牙等;还有外伤引起的牙齿脱位、折断等;以及牙体慢性损伤,例如夜磨牙引起的磨损、刷牙引起的楔状缺损、牙本质过敏等;还有我们日常生活中经常出现的牙髓病,根尖周炎等,以上这些都是牙体牙髓科的常规诊疗范围,此外还包括牙齿美白以及高精尖的根管外科手术、CAD/CAM微创修复等等。
其次,为什么别的科的医生经常让大家来牙体牙髓科看病呢,因为我们牙体牙髓科的医生才是一颗牙能否治疗的最终审判者,只有我们牙体牙髓科的医生说这颗牙不能保留了,才应该、才必须拔出,所以以后大家来到口腔医院,想问这颗牙齿还能不能治疗、牙齿疼痛、“虫牙”想修补、牙齿折断了、牙齿美白以及我们下面要提到的牙龈脓包,都应该来牙体牙髓科看诊。
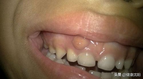
言归正传,我们进入今天的话题——牙龈脓包怎么办?
牙龈上长脓包,就是老百姓说的牙宣,类似这样的情况,相信大家在日常生活中,已经亲身感受过了,或者听周围的人提起过了。很多患者起了牙龈脓包,特别害怕,以为是牙龈癌。那么,牙龈脓包到底怎么回事?为什么脓包会“反反复复”,究竟是什么原因呢?下面给大家科普一下。

牙龈脓包到底怎么回事?
在日常生活中,之所以会出现牙龈上反复长脓包的情况,大多数是因为得了一种叫做“慢性根尖周炎”的牙齿疾病,是牙齿根尖周围组织发炎引起的。分析其原因,很可能是因为龋病、牙外伤、牙髓炎等牙齿问题没有得到及时治疗,或者是既往牙髓治疗不完善,导致牙根根尖周围的牙槽骨慢性进行性破坏。慢性根尖周炎通常没有明显的自觉症状,患者可在咀嚼时有不适感,通常是以牙龈脓包为主诉就诊。因为在日常生活中,大家经常以“牙痛”来衡量牙齿是否有问题,如果牙齿不出现疼痛,大家就以为牙齿没有问题了,或者认为牙痛好了。其实坏死的牙髓里的细菌仍然在繁殖,炎症通过根管及根尖端慢慢向牙槽骨里蔓延。长此以往牙龈上就长了脓包。
脓包为什么反反复复呢?
那是因为慢性根尖周炎的病变过程并不是单一的骨破坏过程,而是一个破坏与修复双向进行的病例变化,当身体抵抗力强时,脓包就会消退,当身体抵抗力弱时,脓包又会出现,这样反反复复出现。

牙龈脓包延误治疗会导致什么后果呢?
如果不进行根管治疗及消炎等措施,可能会出现炎症感染扩散及临近颌骨出现吸收破坏的情况,造成临近牙齿的逆行性感染。
牙龈脓包怎么治疗呢?
由于工作忙、恐惧看牙等多种原因,很多患者不能及时就诊,有的患者就会问:吃消炎药是不是就可以治愈呢?如果不想去医院治疗,吃一些抗生素,短时间内可以起到消炎作用,但治标不治本,还是会反复起脓包,容易造成“愈合”的假象,很大程度上延误了病情。牙龈脓包是牙齿的慢性炎症,不会自愈,需要牙体牙髓科医生专业的治疗,如果日常生活中发现牙龈长脓包,需要及时到口腔科诊治。

【本期作者】

常孟族,沈阳市口腔医院牙体牙髓病二科医师,口腔医学硕士。从事牙体牙髓疾病的临床诊疗工作,包括龋病、牙髓病、根尖周病;开展现代根管治疗技术、显微根管治疗(弯曲根管的治疗、根管堵塞的再治疗)。
