《哈里森内科学——呼吸与危重症医学分册》的胸部影像图谱部分,收藏了大量经典的胸片和胸部CT。旨在分享特殊的、重要的影像资料,并非对影像资料的综合评价。以下为部分摘录。
正常影像图

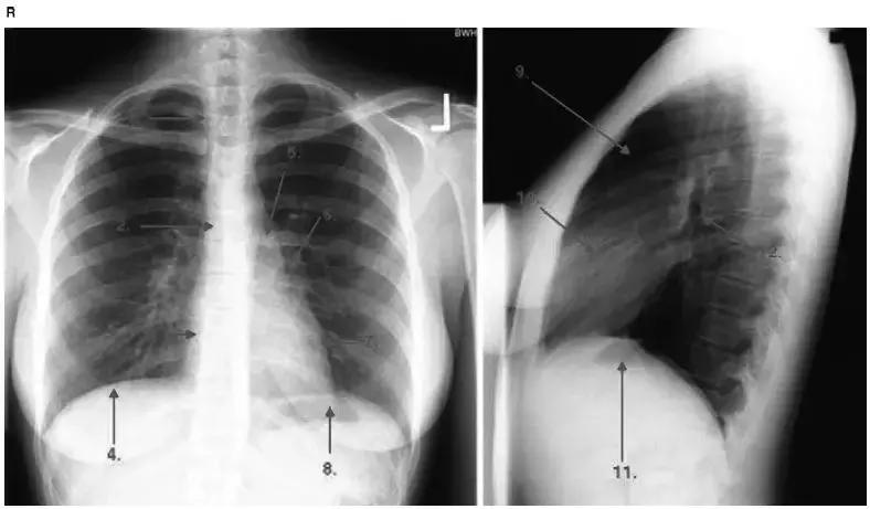
图4-1 正常的胸片
1.气管;2.气管隆嵴;3.右心房;4.右侧膈肌;5.主动脉结;6.左肺门;7.左心室;8.左侧膈肌(胃泡);9.胸骨后透亮区;10.右心室;11.左侧膈肌(胃泡);12.左上叶支气管

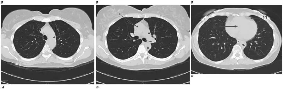
图4-2 正常的胸部断层
1.上腔静脉;2.气管;3.主动脉弓;4.升主动脉;5.右主支气管;6.降主动脉;7.左主支气管;8.主肺动脉;9.心脏;10.食管;11.心包膜;12.降主动脉
肺容积缩小

图4-3 CT显示左肺上叶肺不张:气管病变(CT难以发现)导致左肺上叶肺不张,上腔静脉(黑箭头)静脉造影剂显示部分充盈缺损
图4-4 CT显示左肺下叶慢性肺不张:充气减少出现肺容积的明显缩小,纵隔轻度左侧移位

图4-5 胸片显示左肺上叶瘢痕形成肺门回缩:右肺上叶无明显瘢痕,与厄瓜多尔移民患者既往的肺结核感染病灶一致
图4-6 CT显示肺尖瘢痕形成,牵拉性肺不张(箭头):肺容积减少与既往肺结核感染病灶一致,以左肺为主

图4-7 胸片显示右肺上叶肺不张(黄箭头)。右侧膈肌抬高和纵隔向右移位使肺容积减少。胸片清楚显示气管内导管(红箭头)和中心静脉导管(黑箭头)
图4-8 胸片显示右肺上叶病变:右侧膈肌、水平裂抬高(黄箭头)和气管右侧移位(蓝箭头)导致肺容积缩小

图4-9 CT显示右肺上叶病变:支气管充气征和大片肺实变
肺实质减少

图4-10 胸片显示肺气肿:透亮度增高,膈肌低平(黑箭头),胸片前后径增大,胸骨后透亮区增宽(红箭头)

图4-11 CT显示双肺弥漫性肺气肿
图4-12 CT显示大泡性肺气肿
图4-13 CT显示淋巴管肌瘤病:大量薄壁的实质囊肿

图4-14 胸部正侧位X线片显示两个空洞:空洞和气液平面(红箭头);小空洞位于右肺下叶(位于斜裂下方,黄箭头所示),大空洞位于右肺中叶,位于水平裂(红箭头)和斜裂之间;右肺下叶空洞周围可见渗出影

图4-15 CT显示实质空洞
图4-16 厚壁空洞:右肺上叶肿块伴厚壁、进展迅速空洞形成,左侧小结节出现肺空洞早期的改变(箭头);该患者为诺卡菌感染
肺间质病变

图4-17 轻度充血性心力衰竭:注意克利B线(黑箭头)、血管周围的袖口征(黄箭头)和肺血管淤血(红箭头)

图4-18 肺水肿:肺血管模糊不清,肺门周围阴影,肺野外周带间质网状阴影;虽然正位X线平片难以进行心脏大小的评估,但心脏轮廓还是显著增大

图4-19 胸片显示双肺网状结节阴影,肺体积缩小,病理上符合普通型间质性肺炎(UIP);临床上UIP通常指的是特发性肺纤维化(IPF)

图4-20 CT显示普通间质性肺炎(UIP),即特发性肺纤维化(IPF):典型的表现包括牵拉性支气管扩张(黑箭头)和蜂窝肺(红箭头);蜂窝肺主要分布于胸膜下、基底部

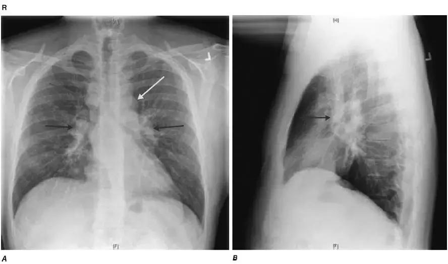
图4-21 A.正位胸片:气管旁(蓝箭头)、主肺动脉窗(黄箭头)和肺门淋巴结肿大(紫箭头);B.侧位胸片:肺门淋巴结肿大(紫箭头)

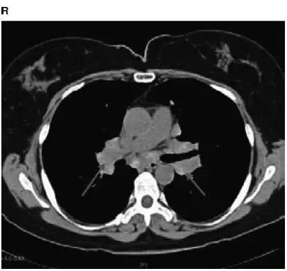
图4-22 Ⅰ期结节病CT:显示肺门和纵隔淋巴结明显肿大(红箭头)

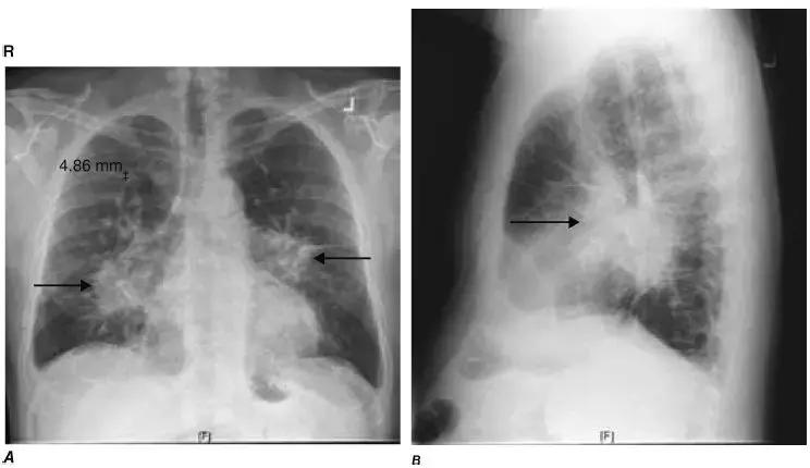
图4-23 Ⅱ期结节病胸片:A.正位胸片显示肺门淋巴结肿大(黑箭头)和肺实质改变;B.侧位片显示肺门淋巴结肿大(黑箭头)和肺实质改变

图4-24 Ⅱ期结节病CT:显示淋巴结钙化,肺实质浸润
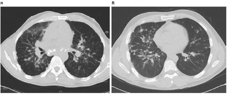
图4-25 Ⅱ期结节病CT:显示沿支气管血管束分布的结节状阴影

图4-26 Ⅳ期结节病胸片显示肺纤维化和空洞形成(白箭头)
(Patricia A. Kritek, John J. Reilly, Jr./著,李爱民/译,张波/校)
本文内容节选自《哈里森内科学——呼吸与危重症医学分册》(北京大学医学出版社)。
来源:医脉通
【版权声明】本平台属公益学习平台,转载系出于传递更多学习信息之目的,且已标明作者和出处,如不希望被传播的老师可与我们联系删除