新春佳节,凌晨四点,急促的电话打破了深夜的宁静。急诊科-胸痛中心接诊一例35岁胸痛患者,心电图显示胸前导联ST抬高,急性广泛前壁心肌梗死。我院心脏中心立即启动急诊介入治疗。


凛冽的寒风无法阻挡铅衣人救死扶伤的一腔热忱。躺在手术床上的年轻人疼得紧咬牙关,他可能是一个甚至数个家庭的顶梁柱,“挽救他”导管室里的每一个人心里只有这一个念头。


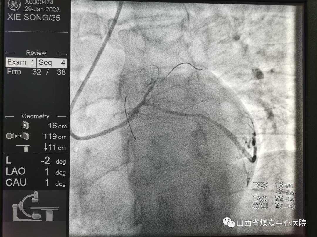
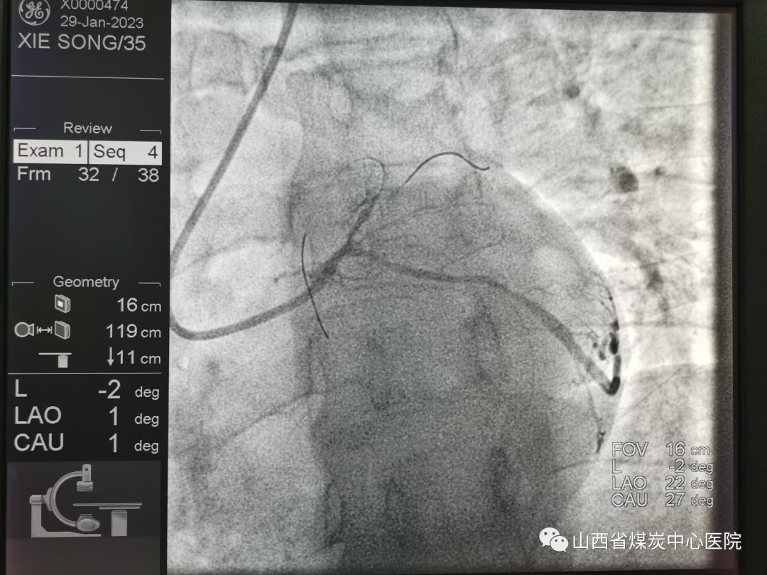
冠状动脉造影显示前降支急性闭塞,立即开通!导丝顺利通过,球囊扩张。冠脉血流恢复了,患者症状缓解了,但是血管有狭窄,狭窄处“发白”。一个刻不容缓的问题出现了“35岁这么年轻,要放支架吗?”手术台前的暴清波主任没有犹豫,立即启动腔内影像学检查。
冠脉光学断层扫描(OCT)提示前降支近中段病变处斑块侵蚀无破裂,狭窄70%左右。可以继续药物控制,不放支架、精准治疗、介入无植入。

春节期间朋友聚会:暴饮暴食,熬夜、吸烟、喝大酒,每一个行为都无时无刻不在侵犯你的血管、你的健康、年轻不是资本,不能放纵。
在这个城市的某一处,总有一盏灯为所有人亮着,总有这么一群人默默守护着,为了您的健康无怨无悔。山西省煤炭中心医院