“怎么牙龈出血那么久才来治疗?”
“听别人说洗牙不好......”
既然洗牙不好,那牙医为什么还要推荐洗牙?
难道洗牙很暴利?
这是国内的牙医们每天出诊的时候大概重复最多的对话。
我能怎么办,只能给他们好好聊聊洗牙咯。

心疼牙医一分钟,其实洗牙价格大约在几百元左右,花费时间大约在半小时到1个小时,而且洗牙这个活儿在所有口腔临床治疗操作中属于偏累人的,所以洗牙还真没有什么暴利可言。
为什么要洗牙?
首先,问大家一个问题:我们为啥要刷牙?
为了清新口气?清除食物残渣?都对。但是这些都不要最主要的。其实,我们刷牙主要作用在于去除和干扰牙菌斑的形成。
而这个牙菌斑就是引起蛀牙、牙结石、牙龈炎、牙周炎的罪魁祸首。
牙菌斑就是指粘附在牙齿表面或口腔其他软组织上的微生物群。

它是由口腔内剩余食物残渣与细菌反应形成的,而且,肉眼的看不见的。此外,牙菌斑是粘附在牙面上,所以不能被水冲去或者漱掉,只能由机械方法清除。
然而,敌人太狡猾,即使我们再努力的刷牙。仍然有些顽固分子躲在隐蔽的角落发展壮大。稍不留神,牙菌斑就进一步钙化沉积变成了牙结石。

所以,这个牙结石怎么清除呢?这就回到了我们今天要讨论的话题洗牙。
其实洗牙的专业名词叫做“洁治”。是医生使用专用的医疗器械将牙齿表面堆积的牙菌斑、牙结石以及色素清除干净的一种专业治疗手段。

根据所使用的工具不同,临床上可以分成手工洁治和超声波洁治两种。
手工洁治就是用类似“小钩子”的专业手工器械把牙结石从牙齿表面“撬”下来。主要在下面几种情况下使用:清洁牙龈下方的牙结石(专业名词叫做“龈下刮治”);针对某些特殊患者使用,比如安装了没有屏蔽功能的心脏起搏器的患者,以及患有某些特殊传染病的患者。
超声波洁治是用高频振动的工作头来清除牙结石,清洁效率比较高,目前在临床上广泛使用。洗牙时是超声洁牙机将牙齿的牙结石和色素震下来,不会磨掉宝贵的牙齿,牙齿组织也不会受到损伤。

多长时间洗一次牙?

1、牙面上的牙石,一旦被清除后,又可慢慢的再沉积。这种沉积的快慢与刷牙仔细与否、个人生活习惯,个人生理状况都有关系。如刷牙不周到,只把门面刷得很干净,后面的大牙和牙齿的舌面就刷得马虎,这些地方就会很快又出现牙石。有的嗜好吸烟和饮茶,这样的人,洁牙后不几周,牙面又变污秽发黑了。
2、有的人唾液里磷、钙的含量较高,唾液又较粘稠,洁牙后不几月,就又出现了较多的牙石。因此,为了确保口腔的健康,保持牙齿洁白生辉,最好是每半年到牙科诊所去洁一次牙,吸烟在每三月就应去洁一次牙。

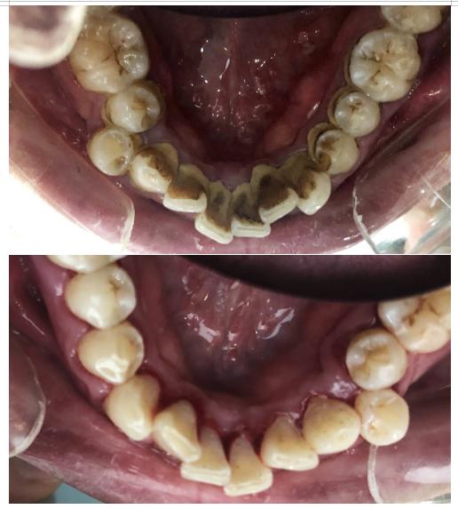
洗牙前后对比照
3、对于有些患者在洗牙后出现牙齿松动的现象,这是因为牙根以前就发生了萎缩,早已出现的牙缝被牙结石塞得满满的,平时不觉得,一旦洗了牙,没有了牙结石,顿时牙缝就露了出来,并非洗了牙导致牙缝变大,似乎觉得稀了,自然也会有牙齿松动的现象,但是牙齿松动的现象短时间内就会消失,患者不必要担心。
4、洗牙的过程通常会有点酸痛,如果发炎情形严重或牙结石很多,很久未洗的人更可能因粘膜碰破而出血。这都是正常的,洗牙后流血情形一般会在一两天后慢慢消失,如能维持良好的口腔卫生,洗牙前刷牙流血的现象多半可在一周左右自动不再出血。
03 洗牙后的禁忌
1、在洗牙后的48小时之内,最好不要喝含色素高是食物,最好少吃过冷过热食物。三天之内不要进食过于辛辣或是过于酸冷的食物,洗牙后的一两个月,部分体质敏感者可能会出现牙齿对冷、热、酸、甜等刺激过敏不适的现象,这属于正常的个体反应,请勿过于忧虑。

2、刚洗过牙的人,应该尽量少吃能“染色”的食品,如酱油、软饮料、葡萄酒和蓝莓等,同时,也要少抽烟。而一些质地较坚硬的水果或蔬菜,如苹果、四季豆、胡萝卜和芹菜等,会在咀嚼的过程中“洗刷”牙齿,促进唾液分泌、中和口腔中的酸性物质,起到清洁牙齿的作用。奶制品,尤其是含钙高的牛奶也能美白牙齿。
3、洗牙后,请不要用力吸吮或者用舌头舔舐,手指触摸牙龈,一周内不要用牙线、牙签,以防止出现意外的出血不止的现象。另外也不能忽略日常清洁,每天要认真刷牙、饭后认真漱口。保持良好的口腔卫生习惯。

洗牙有哪些好处?
1、洗牙可以预防龋齿
定期洗牙还能预防龋齿的发生,牙菌斑和其他沉淀物依附于牙齿表面,日常生活中如果不注重牙齿的清洁,容易形成龋齿,造成美观影响,而洗牙就是清洗这些牙齿污垢,给牙齿带来健康。

2、洗牙可以预防牙周病
洗牙可以很好的预防和治疗牙周病,洗牙可以洗去了牙齿的蒙头垢面,因为长时间的牙齿上的残留物会影响到牙齿健康,通过洗牙可以去除这些。
3、洗牙可以发现口腔问题
在洗牙的时候还可以全面检查口腔,这样便于及时的发现问题进行处理,早发现早治疗,可以让效果更好,还不会造成对牙齿的伤害。
4、洗牙可以防止口臭
研究表明,不洗牙的人中大约有百分之八十五的人患有口臭。良好的口腔卫生是预防口臭必不可少的第一步。而洗牙则是消除口臭的最佳途径。

5、洗牙——最省钱的治疗
为什么说洗牙是最省钱的治疗呢?
我们先来算下洗个牙,大概在100-200元左右~(价格仅供参考) 每年洗个1-2次,最多也就三四百(请去专业的口腔医院/门诊洗,菜市场旁边的小诊所就不要去了。)
但却可以将有害菌扼杀在摇篮里,能预防和治疗牙龈炎、牙周炎。
如果我们不愿意花这一两百块洗牙,你会在这些病菌的长期作用下牙龈、牙周出现问题,牙齿也松动脱落了。
最后,你看,牙周炎得治疗吧?牙齿脱落了得镶牙吧?
这些修复的费用相比于洗牙可是一笔不小的费用呀。
少则几千,多则几万
你说那个更省钱呐?

结语:不论是怎样的牙齿修复,人工的牙齿都无法取代“原配”的地位,不论是功能还是美观都不如您全天然的好。
so......洗牙,就是一种健康投资,能对我们的牙齿健康和全身健康带来好处,所以,一年花一两百块钱洗牙你觉得值不值呢?设想,如果大家都十分注重牙周健康的维护,定期洗牙、刮治,那么牙周炎患者将越来越少。拥有了一口健康的牙齿,那你还担心去口腔科忍受排队的煎熬么?
如果觉得这篇文章不错,就请收藏或分享给好友吧。添加雅悦齿科为好友,学习更多爱牙护齿科学方法。公众号:yyck2001