
在外科疾病当中,骨折和骨裂都是常见的疾病。
生活中人的骨头突然受到猛烈撞击,就可能会出现骨折或者骨裂的问题,但是很多人并不能真正区分骨折和骨裂,难免碰上特殊事件就手忙脚乱。
骨裂和骨折区别在哪,如何护理才好?哪个更严重?都要手术吗?
一、骨裂是骨折的一种情况
一般来说我们认为骨的连续性发生了中断,我们就认为是发生了骨折。
骨折有很多种分类,比方说有像青枝骨折,还有像压缩性骨折,像粉碎性骨折等,所以说骨裂也是一种骨的连续性发生了中断。

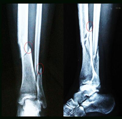
骨裂
骨裂后两个骨头之间的位移,没有产生特别大的变化,所以有的时候从X光或者CT上能看到一个缝,这个一般来说我们就称之为骨裂。
二、表现不同,损伤程度骨折更严重
骨折的患者主要会表现出局限性疼痛、压痛,同时也伴随患处局部肿胀、长出瘀斑等情况。患者肢体部位功能会暂时丧失,严重影响日常活动;

骨裂较骨折而言程度轻,患者则不会有瘀斑等问题出现,但同样也会对你造成一些的疼痛,或者肿胀,或者关节活动受限的一些问题。
三、骨裂恢复时间短
因为骨裂的对位对线相对来说是比较好的,所以大多数骨裂的情况是不需要手术的。
但是仍然需要进行一些像石膏固定,像限制负重或者说限制受力等等这些情况。

骨折损伤较重
所以说骨裂相对来说是好恢复的。当然也看部位,大多数相对来说是容易恢复,时间短,愈后的效果相对也不错。
今天和大家聊的就是关于骨折和骨裂的小知识,也欢迎大家有什么其他的问题,在我下面留言,我为大家一一解答,谢谢!
往期精彩文章:前叉手术打的钢板和钉子必须要取出吗?专家:一个方法判断
上一篇文章:做完关节手术就万事大吉了?很可能粘连!专家:5个原因无法避免