前几天,这样一组图片在网络上疯传——在图片中,大致描述的是某患者在上海九院拔除智齿,两颗智齿花费了约21000元(消息真实性有待确认,毕竟材料费、中药费比较让人费解)



其实,类似的事件之前也有发生,据“北京北一”曾经文章,之前在云南普洱,也发生过类似的事情,医生给出的理由是
拔智齿收费的标准,首先智齿拔牙费用是3000起,然后按距离下颌神经管的距离依次加价,4mm以外属于正常范围,每接近1mm加收2000,当距离下颌神经管距离在1mm范围以内时,每增加0.2mm加收3500,倾斜度也是个问题,首先考虑拔牙的就位道,就位道可以顺畅取出智齿时不加价,当就位道不能顺畅取出时,根据难度加收1000~5000属于正常收费。以上标准不仅是牙医们所应该知道标准,更是患者们更需要知道的标准,试想这么大的风险,万一我们失误了,造成了医疗事故,是否患者们也只让我们退费呢?

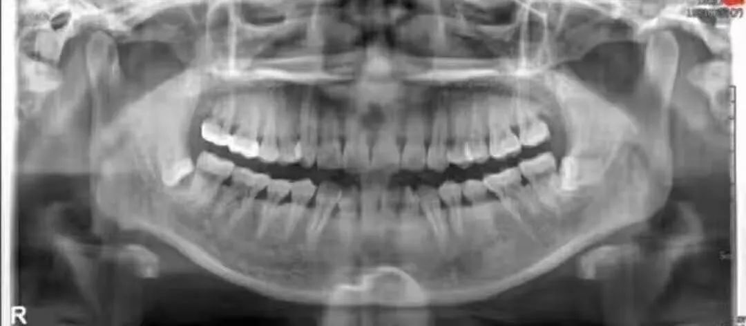
传说中收费14000的牙长这样子——


而同行则认为,这个收费有点太那么不厚道

真真假假,假假真真。智齿是否值上万元的价格,对这样的事情,我们无法做出准确的评估,还有待专业人士的评价。但毋庸置疑的一点是,拔除智齿,尤其是埋得深度较高,倾斜度不同,或者是下颌贴近神经管的智齿,收费程度肯定比普通拔牙要贵,这确实是真的。
为什么有的智齿那么难拔?
其实,茄子口腔在之前的文章《埋得越深,分手费越高——你所不知道的拔智齿收费依据》已经有过介绍。今天,我们结合动图,来演示下拔除智齿的“英雄、地狱和噩梦”模式。
难度一
英雄模式
用高速旋转的涡轮机,把牙齿磨成两半,依次撬出来。

难度二
地狱模式
这种款式的横阻生智齿。一般生长情况也分两种,一种是已经出肉的,一种是还未出肉的,操作都差不多,我们就直接看下图的介绍了。

露出牙槽骨后,先削除一部分骨头,露出躺卧如睡美人的横阻生智齿...如果是已经出肉的智齿,就没这一步了。

请出那令人闻声丧胆的牙科涡轮机,先分割智齿,撬出块头过大的牙冠来...再把牙根磨切两半,依次撬出来。

难度三
噩梦模式
最后介绍一下,牙根弯曲,骑在下颌管上的智齿...由于下颌管内神经丰富,拔除的时候需要极度小心,而且看长相也知道这种模式的拔牙,非常难也非常贵!

也是先切开牙肉,翻开并露出骨头,切下牙冠后取出,再处理下面的牙根。

把牙根分成两半,根据牙根的走向,分别小心地撬出来,这个过程十分考验技术,要谨慎避免损伤到下颌神经...

牙医拔除智齿,需要应对哪些风险
严格地说,拔牙是一个手术,是具有一定风险的。通常医生会根据情况的严重性使用局部或全身麻醉。首先,在牙龈开一个切口,删除影响牙齿生长的骨骼;接着,将切口缝合关闭,或使用纱布将其用空牙套包裹,如果牙齿太大,或者嵌入太复杂,外科医生会将牙钻成小块,选择让病人尽量少受折磨的方式将其取出。这其中任何的一个过程出了差错,都会产生严重的风险,甚至危及生命。
轻则麻醉昏厥
▼

重则术后肿胀、感染甚至出现干槽症
▼


重则死亡
▼



而这,很考验医生的技术
1
术前评估
1.1 正确诊断 正确掌握拔除智齿的适应证,尤其是因为非特异性疼痛考虑拔除智齿时,一定要确定是该牙所致疼痛再予以拔除。
1.2 恰当检查 包括高质量的X线片,它不仅能提供牙齿的清晰图像,牙根的轮廓和解剖以及牙周骨质情况,还能提供牙齿与邻牙和其他结构之间的关系,其中尤其是下颌骨下缘、下颌骨升支以及下牙槽神经束之间的关系。
1.3 询问病史 特别关注可能影响骨和软组织愈合以及术后出血、肿胀、感染的任何危险相关因素,对以演讲、唱歌或演奏乐器为职业的患者,还有厨师、调酒品酒师等职业的患者,如神经损伤引起感觉味觉障碍,都会造成灾难性后果。
1.4 术后反应 在每位患者拔牙前我们都必须仔细把拔牙指征与可能发生的任何并发症放在一起权衡利弊。
1.5 必需性 拔牙水平是术前评估的重要因素,临床医生必须有足够的技巧、经验和能力去安全成功地拔除智齿。
2
信息获取、警告、知情同意
2.1 解释、警告 任何手术都有危险性,医生在拔牙前有责任给患者详细的解释和警告,目的是让病人理解为什么要拔牙,拔牙过程和可能的结果,否则患者拔牙后会争辩说:“如果知道会有这样的结果,我将不会接受手术”。
2.2 术前评价 在有下牙槽神经损伤可能性时,应该通过术前的放射片来评价下牙槽神经损伤的风险是低、中、高或非常高,给患者的警告应能体现这种评价结果。
2.3 知情同意 签署知情同意书,能证明有这类交流,更应该以信息交换和患者对医师所说的话理解为核心,这是避免在拔除智齿时发生医疗纠纷的关键。
3
外科技术
3.1 减少损伤 在神经束与根尖非常接近,易发生下牙槽神经损伤,此时所采用的外科技术(如牙齿劈开)必须尽量减少神经束被切断、牵拉、撕裂或者挤压,以避免神经损伤的危险。
3.2 下颌骨骨折 除了神经损伤,医师还要切记可能有下颌骨骨折的危险。
3.3 其他 损伤可能包括充填物脱落,牙钻和其他器械的医源性损伤等。
3.4 避免纠纷 在各种情况下,医生都应该对可能发生的危险保持警惕,并采取简单措施尽量减少危险,从而避免医疗纠纷。
4、
术后处理
术后产生的肿胀、疼痛、瘀血和不适情况大不相同,关心和悉心的术后处理是避免这些常见并发症成为患者抱怨和索赔理由的关键,术后一旦发生并发症,病历中应有明确的记录,患者主诉是什么,做了哪些检查,鉴别诊断,采取了何种治疗或给予了那些建议,包括处方药和推荐用药,如有专家会诊意见或处理也应在病历中标明。术后医嘱记录,一旦患者未遵医嘱也应记录。
你好,更多内容关注 爱新牙Ishinye 公号 ,将持续为你更新口腔领域知识