2018年漫威压轴巨制
《毒液:致命守护者》
已经于11月9日登陆全国电影院啦!
……
《毒液:致命守护者》
“漫威暗黑英雄也可以拯救世界”

上映首周北美影史十月最佳票房记录。
全球票房累计已经突破5亿美元大关!
而国内上映首天
口碑票房都产生超高话题
酷炫的特效,剧情流畅
有趣的彩蛋、各种漫画致敬
以及对大众文化的引用
足以让毒液燃爆十一月

但是!
看完影片
康康却产生了一个大胆的想法
“真想给毒液矫正牙齿啊!”

毒液变身后牙齿看着也太瘆人了
在电影中毒液总是张着血盆大口
面目可怕狰狞、看起来有些渗人
但是康康的关注点却全在牙齿上
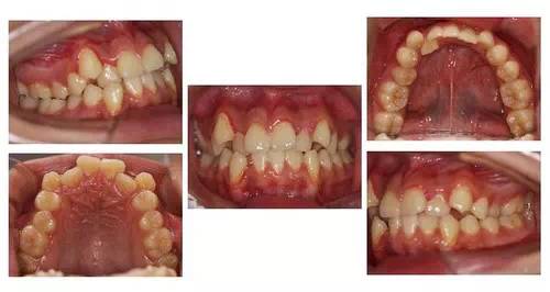
看看这个令人捉急的牙齿吧!


看完电影
职业病严重的康康
忍不住给毒液小盆友做个牙齿矫正

毒液小盆友的牙齿问题
真的很严重啊

奶凶毒萌萌上线
这个笑容
由康康守护

看了电影中的牙齿畸形
再来看看现实中的牙齿畸形
它带来的 危害不仅仅是身体
更是心灵的上的伤害!

牙齿畸形的危害
1、影响心理健康
难看的牙齿会引起美观缺陷,从而让牙患不敢开口、不敢笑,远离人群,容易形成孤寂、自卑的心理。从而对择偶、就业、社交、性格、自信等产生极大影响。
2、影响脸部形象
难看的牙齿会导致面部外观不协调、颌骨及软组织的生长异常。如:牙齿拥挤、龅牙或者地包天,会造成脸部整体失调。
3、影响口腔功能
排列不齐的牙齿会影响局部口腔功能的正常发挥,进而影响咀嚼功能、发音功能、吞咽功能和呼吸功能等。
4、影响牙组织健康
排列不齐的牙齿会造成口腔卫生不易清洁,致使口腔菌斑增多,引起牙龈、牙周炎症,出现牙龈肿胀、牙周发炎、出血、口腔异味等症状,久而久之造成严重后果。


牙齿畸形怎么办?
矫正啊!
牙齿矫正在医学上学名叫做「正畸」。原理简单来讲呢,就是对牙齿施加一个合适的外力(一般通过矫正器来施加),这个力会通过牙齿传递到牙齿周围的牙槽骨上,使得代谢很活跃的牙槽骨发生改建,从而带动牙齿一起缓慢移动。

康贝佳口腔医生指出,牙齿整齐笑容才能更加自信,那么牙齿不整齐该如何是好呢?很多人会选择通过牙齿矫正来解决,下面就让我们来看看牙齿矫正器分为哪几类。
1、普通金属牙套矫正
普通金属牙套矫正就是施力的钢丝和托槽都是金属的,康贝佳口腔进口的3M金属托槽:托槽金属更小,摩擦到嘴唇和口腔内壁的概率大大降低。医生指出,这种的要比一般的金属牙套舒服点,即使孩子戴牙套也能较好的集中精神学习,很多父母都挑选这种的牙套给孩子戴。

2、半透明隐形矫正牙套
半透明隐形矫正牙套是安在每颗牙齿上的,托槽是类似牙齿颜色的,如陶瓷和冰晶(透明)。这种的牙套美观度较好,远看看不出来矫正

3、全隐形矫正牙套
全隐形矫正牙套是所有牙套里面功能较强大的,有两种:舌侧隐形矫正和无托槽透明隐形矫正牙套。舌侧隐形矫正对医生要求高,费用也是较贵,选择的人不多。
无托槽透明隐形矫正牙套被人亲睐主要是因为:牙套透明,别人看不见矫正痕迹;自由摘戴 ,可享受美食(吃货必选)和亲密时刻,方便清洁,避免“黑三角”地带的牙套。

【注】本文部分内容转自网络,如侵权请联系小编删除
康贝佳针对不同年龄段的人群
制定了不同的正畸方案。
一对一制定诊疗方案
轻轻松松地和自己的牙齿
来个即刻”美丽约会“~

为了更美的笑容
康贝佳福利时间
11月牙齿矫正
钜惠来袭
01 一个预约,四项免单
【口腔全景片、正畸方案设计、
专家会诊、取模费用全免!】
02 金属托槽,全年最低价
【金属托槽矫正全程仅需8688元】
03隐形矫正,优惠巨享
【全隐形矫正全包价仅需18888元 】
咨询电话:0512-67873033


康贝佳口腔有专业的团队为您服务
让您安心,让您放心
康贝佳口腔医院咨询电话 0512-67873033
苏州康贝佳口腔
关爱牙齿,更关心你