病因病理
海绵状血管畸形(cavernous malformation)也称海绵状血管瘤,是血管畸形的一种。肉眼观察为深红色境界清楚的团块。镜下主要由缺少肌层和弹力层的薄壁海绵状血窦组成。血管之间无正常神经组织,常伴有钙化,含铁血黄素沉着及胶质增生。常发生在脑实质内也可见于脑膜。单发(75%)>多发(25%)。幕上(额颞叶多见)>幕下。脊髓海绵状血管瘤常伴有脑内海绵状血管瘤。颅内脑外海绵状血管瘤较少见,中年女性多见,多发生于鞍区。

临床表现
常常无任何症状,少数患者可有头痛、癫痫发作等。
影像学表现
1.CT表现:CT表现较复杂,平扫瘤体可以是等密度、稍高密度圆形病灶,也可以是等高混杂密度灶,甚至仅表现为不均质钙化灶。由于本身多因钙化呈高密度,所以少量出血在CT图像上较难与钙化相鉴别。病灶也可以完全钙化形成“脑石”。出血量大破入蛛网膜下腔时CT可以显示。一般无瘤周水肿及占位效应,如果出血量较大,可以有轻度占位效应。增强后可无强化,亦可轻度或明显强化。

2.DSA表现:脑实质内的海绵状血管瘤脑血管造影常常无异常发现。硬脑膜海绵状血管瘤可以表现为富血供结节,延迟可见局部毛细血管染色,偶可见供血动脉和引流静脉。血管造影或血管成像对海绵状血管瘤的显示率较低。
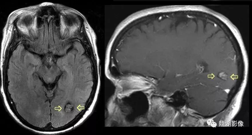
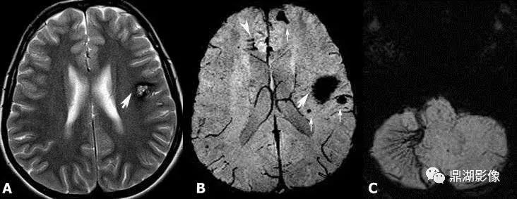
3.MRI表现:T1W呈稍低信号或低信号,有出血时可见不均匀高信号;T2WI可呈高信号,周边可见特征性环状低信号,为含铁血黄素沉着所致。一般不需要强化扫描。MR是最佳的影像检查方法。
补充:其中富含血液的血窦T1WI上呈明显的低信号,T2WI为高信号。病灶中心出血后,含铁血黄素沉积及瘤体钙化及增生的胶质使病灶的T2WI呈混杂信号,病灶周边纤维变性的脑组织形成的假包膜T2WI则显示为环形低信号。磁敏感加权成像技术是以T2*梯度回波序列为基础,利用不同组织间的磁敏感性差异而产生图像对比增强的MR成像方法,可同时获得 磁距 图像和相位图像。由于磁敏感物质可造成局部磁场不均匀性,引起质子失相位,产生顺磁性,在SWI序列上表现为低信号,所以SWI序列对磁敏感物质极为敏感,脑内海绵状血管瘤在SWI像上表现为明显低信号。

鉴别诊断
明显强化的海绵状血管瘤有时需要与动脉瘤、脑膜瘤鉴别。动脉瘤表现为圆形或椭圆形流空影,强化扫描可显示载瘤动脉。脑膜瘤多发生在脑外,海绵状血管瘤脑内外都可发生;脑膜瘤多有邻近骨质的反应,增强扫描常明显强化并可见脑膜尾征;海绵状血管瘤CT和MRI增强扫描可见明确的“团块”,边界清楚且有明显的强化效应。因病灶内的血管样结构缺乏肌层和弹力纤维,因而促进血液流动的动力不足,致病灶内造影剂排空缓慢。根据瘤体内部组成成分的不同,病灶可全部均匀强化、边缘强化而中心部不均匀强化,甚至无明显强化。具有明确的局部“缺损”病变征象,却无明显占位效应和病灶周围水肿是海绵状血管瘤区别于其他占位性病变的重要依据之一。

来源:鼎湖影像
【版权声明】本平台属公益学习平台,转载系出于传递更多学习信息之目的,且已标明作者和出处,如不希望被传播的老师可与我们联系删除