
来自九龙坡区的桂女士五年前在一次检查中被诊断为肝脏占位性病变,怀疑有肝癌可能,但由于当时医生提出患病部位难以手术,于是家人便对其隐瞒了病情,也并未作进一步诊断和任何治疗,导致桂女士一直对自己的病情感到十分恐惧,认为自己和去世的爱人一样都是恶性肿瘤,因此五年以来每日与噩梦做伴。
近日,桂女士突然出现中上腹间歇性隐痛等情况,由于症状较重,遂来到我院就诊,在我院专家细致入微的检查下,隐藏在五年肝癌噩梦下真正的病因才得以显现,原来桂女士得的竟然只是一种良性肿瘤——肝血管瘤。5月26日,桂女士在局麻下由我院肿瘤放疗中心郝萍主任与消化疾病中心肝胆外科主治医师廖东平医师联合成功实施介入栓塞治疗,彻底结束了桂女士的“肝癌”噩梦。

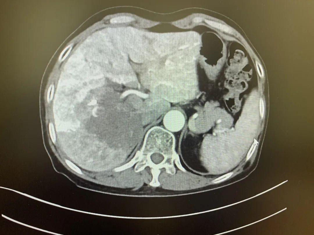
术前CT

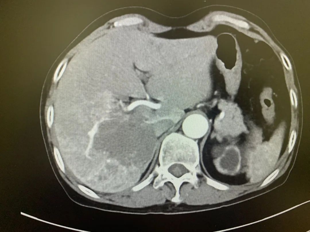
术后CT
患者桂女士,63岁,5月11日出现无明显诱因的中上腹间歇性隐痛,伴恶心呕吐、反酸、腹泻等症状,随即来到我院消化疾病中心门诊就诊,门诊以“腹痛待查”收入消化疾病中心肝胆外科进行进一步辅助检查,检查结果显示,肝右叶101*93mm的占位性病变,考虑肝癌可能。
在一次日常查房中,消化疾病中心梁平主任发现患者临床症状与检查结果不相符,随即对患者进一步穿刺活检确定为海绵体血管瘤,是一种肝脏良性病变,*翻推**了五年“肝癌”的噩梦。告知患者家属后,患者及家属都如释重负,感慨万千,被我院医生精益求精的精神所感动,同时也表达了希望重庆西区医院能够通过专业的医学技术帮助患者解决疾病。
据消化疾病中心梁平主任介绍,临床针对肝血管瘤的治疗中常采用外科手术切除的方式进行治疗,但因其创伤大、住院时间长、并发症多而不为大多数患者所接受。于是,消化疾病中心随即联系到我院肿瘤放疗中心主任郝萍进行多学科MDT会诊,经过联合讨论,决定由肿瘤放疗中心主任郝萍和消化疾病中心廖东平医生为患者行经导管肝动脉栓塞术。

5月26日,在局麻状态下,肿瘤放疗中心主任郝萍在消化疾病中心廖东平医生的协助下成功为患者完成经导管肝动脉栓塞术。

手术过程中,由于患者为局麻状态,肿瘤放疗中心主任郝萍为了缓解患者情绪,一直在不断用轻松的言语与患者对话,经过郝萍主任耐心亲切的讲解,患者情绪逐渐平稳,积极配合医生的穿刺和治疗。
术中,由于瘤体较大,导致肝动脉迂曲、紊乱,导管难以通过,郝萍主任当即决定采用微导管超选(精准灌注药物)药物入肿瘤供血动脉,从而保障肿瘤完全受药以及肿瘤供血动脉准确栓塞,最终手术顺利完成。
手术结束以后,了解到自己的瘤体会不断缩小,患者的脸上也挂上了久违的微笑,同时也向郝萍主任竖起了大拇指,对重庆西区医院的专业治疗表达了感谢和称赞。


郝主任介绍:肝血管瘤介入栓塞术,是通过栓塞供血动脉后瘤体内可形成血栓,血栓机化、纤维化使瘤体形成纤维瘤样结构而达到缩小、硬化血管瘤的目的,具有创伤小、恢复快、费用相对低等特点。手术过程中,由于患者肝动脉迂曲,导致导管难以进入,于是采取了微导管超选的方式进行介入治疗。
微导管超选择,简称“微管超选”,属于精准的介入治疗手段。在对患者实施治疗时,利用微型导管选择到肿瘤的每一条供血动脉,一个肿瘤对应—条动脉,然后将药物精确灌注到肿瘤部位,以此提高肿瘤内部的药物浓度,保证肿瘤完全受药及肿瘤供血动脉准确栓塞。相比传统的介入治疗方法,微管超选具有更精准,更彻底的治疗优势,进一步提高疗效,彻底“饿死”肿瘤。
本次手术的顺利完成,需要的不仅是精湛的医术,更需要一颗共情之心、仁爱之心。消化疾病中心梁平主任和肿瘤放疗中心郝萍主任在多次的查房、问诊下,取得了桂女士的绝对信任,这也体现了我院“生命至尊 服务至上”的服务理念。郝萍主任说道:“修医德、行仁术是我多年行医所遵从的原则,关心关爱患者,让患者尽快康复、恢复行动,不仅是我的职责,也是我的使命。”



通讯员|陈雯卉
编 辑|齐 秦
审 核|郝 萍
主 编|吴世友