
新冠肺炎防控期间,多数医院对于慢性病的诊疗除了规律取药,其他进一步的治疗都暂缓了,但是慢性肾脏病患者的病情进展并没有停止,老纪就是在这段时期慢性肾脏病逐渐发展到终末期,在2019年12月下旬做好了自体动静脉内瘘的通路准备,近2周开始出现胸闷、呼吸困难、夜间睡眠不能平卧、双下肢水肿等心衰症状,需要开始进行维持性血液透析治疗了。但是跑了四五家医院,均因“患者已饱和”无法接收。来到孙河血透室时,我们结合老纪近期化验指标、症状体征、生活状态以及动静脉内瘘情况进行了综合评估,发现老纪目前一般情况尚可,化验指标也尚未达到急诊透析的水平,只是水负荷较重了。但是,老纪的动静脉内瘘刚刚1个多月,并未完全成熟,尽早的穿刺进行血液透析治疗的确可以很快缓解老纪心衰的痛苦,但是却不利于其的“生命线”的长期预后。我们也将老纪的情况向上级医师张凌主任进行了汇报,张主任也赞同暂时药物治疗,待内瘘成熟再开始透析,并将增加的利尿剂等药物剂量详细嘱咐告知老纪及家属。护士姐姐们也热心地向其宣教了动静脉内瘘的锻炼方法。这时,我们发现老纪家属有些闪烁其词……
“是对于治疗方案还有什么不清楚的方面吗?”
老纪家属犹豫了一下,这才说出心中的顾虑:“是这样的大夫,我们明白现在这个时期各个血透室接收病人都很困难,我们来之前已经跑过四五家医院了,都说是患者饱和无法接收,您现在给了我们药物治疗方案,是不是也是没办法接收我们在这里透析呀?”
“放心吧,我们真的是从老纪目前病情考虑给出的治疗方案,先药物保守治疗,再给动静脉内瘘一段修养的时间。您回家监测老纪的体重、血压等变化以及症状改善程度,如果没有缓解随时联系我们,随时可以来透析!”我们的一番话给老纪和家属吃了定心丸,随后也邀请老纪进入了血透室的医患随访微信群,群内24小时都有医护关注,除了可以每天向我们反馈老纪的病情变化,有特殊情况也可以及时向我们咨询。

果然,老纪回家后增加了利尿剂的剂量,体重每天都有下降,胸闷、憋喘等心衰症状也有所改善。但是好景不长,过了两周老纪家属联系我们,老纪水肿、呼吸困难出现了加重,来到血透室时我们发现果然老纪的状态不太好:浮肿、高血压、端坐呼吸、面色苍白,贫血,血红蛋白低至63g/L,不过动静脉内瘘条件较前明显好转。我们向老纪及家属交代了透析的相关事宜后,决定当日开始诱导透析,透析过程中,老纪的呼吸困难症状逐渐减轻,但是刚刚回到家,我们就接到了老纪家属的反馈,老纪又出现了胸闷、憋喘的心衰症状,而且比之前还有所加重,我们嘱咐其半卧位休息、吸氧、加用利尿剂,明日早些再来透析,如再有加重的趋势及时去急诊。
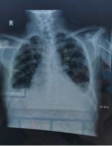
第二日老纪坐着轮椅再次来到我中心,果然状态比前一日更重,查体颜面及双下肢浮肿好转,但听诊双肺满布湿啰音,为什么透析清除了1公斤多的水分,心衰仍加重了呢?我们再次向张凌主任汇报老纪的病情,张主任经验丰富,考虑老纪是容量负荷太重,第一次透析清除了1公斤水属于杯水车薪,反而是下机回水的200ml由于在相对较短时间内回输到体内,竟成了加重老纪心衰的“最后一根稻草”。果然我们为老纪拍了X线胸片:心影增大,大量胸腔积液,保守估计还有3-4kg的水负荷。紧接着按照张主任指示,我们立即为老纪抬高床头、吸氧、上机先单纯超滤1小时脱水0.8kg(透析前查血电解质尚平稳),透析3个小时,总共脱水2.3kg,随着治疗时间的延长,老纪端坐呼吸症状逐渐减轻了,也开始起了困意,在护士的帮助下,摇低床头也可以平稳了睡着了。治疗结束后,老纪状态明显好转,家属紧绷的神经也放松了下来。这时张主任对我们提问:“为什么患者的体重一直在下降,但是水负荷以及心衰仍在加重?”的确,这是需要我们思考的问题,原来,心衰、水肿的患者,体循环负荷大,胃肠道淤血、水肿,导致患者本身食欲差,摄入少,另一方面,肠壁的水肿也减少了营养物质的吸收。而且处于慢性肾脏病终末期,老纪本身就存在贫血、低蛋白血症、营养不良等并发症,所以老纪近期下降的是瘦体重,但是水却仍在悄无声息的增加。针对老纪的情况,我们也为其制定了个体化的营养食谱,低盐、优质蛋白、足够能量摄入,辅助老纪安全度过诱导透析阶段。“太感谢你们了,如此全面的治疗,每一步都是从我们的患者的角度着想,感谢!感恩!……”老纪及家属的话语更加增强了我们的职业责任感与使命感!

孙河血透开业3年的时间以来,在院领导的大力支持下,一直在不断提高专业业务水平,血透室医护每年都会外出进修提高自身素质,以更好的服务透析患者。张凌主任每周都会来血透室进行查房、教学工作,新冠肺炎期间也没有间断,透析室七十余名患者的情况,张主任都清楚了解。另外,除了透析专业方面有张凌主任坐镇,血管通路穿刺方面还有经验丰富的苏默老师为我们把关,极大的提高了孙河血透的业务水平。另外,孙河血透还开展着腹膜透析管理,透析者的营养管理以及心理干预管理。在CDDS超纯透析液的高质量透析的基础上,药物、心理、营养、运动,全方面、多维度地保障透析者的生活质量。

太多的故事,太多的感动,每天都发生在这里。庚子春,花期将至,在这场战役中,我们这支特殊的队伍仍然斗志前行。春暖花开终有时,待到山花烂漫时,愿山河无恙,人间皆安。
供稿单位:北京市朝阳区孙河社区卫生服务中心
