陆博 ,口腔医学博士,副主任医师。热衷于用简单明朗的文字,为家长普及儿童口腔健康知识,在此呼吁:“儿童口腔健康,预防大于治疗”!
现在社会美食诱惑越来越多,甜点、奶茶、糖果,糖分无时不刻充斥着孩子们的世界。
然而据卫计委18年调查结果显示, 我国儿童乳牙龋齿率已高达80%!
显而易见,龋齿已经成为儿童口腔健康的第一杀手。

蛀牙会影响恒牙萌出,危害小朋友的营养吸收、生长发育、影响孩子的容貌与自信;
那怎样才能有效预防蛀牙呢?
下面跟大家介绍一下两种公认最有效、最安全的防龋方法—— 涂氟 和 窝沟封闭 。
一、涂氟和窝沟封闭到底是什么?
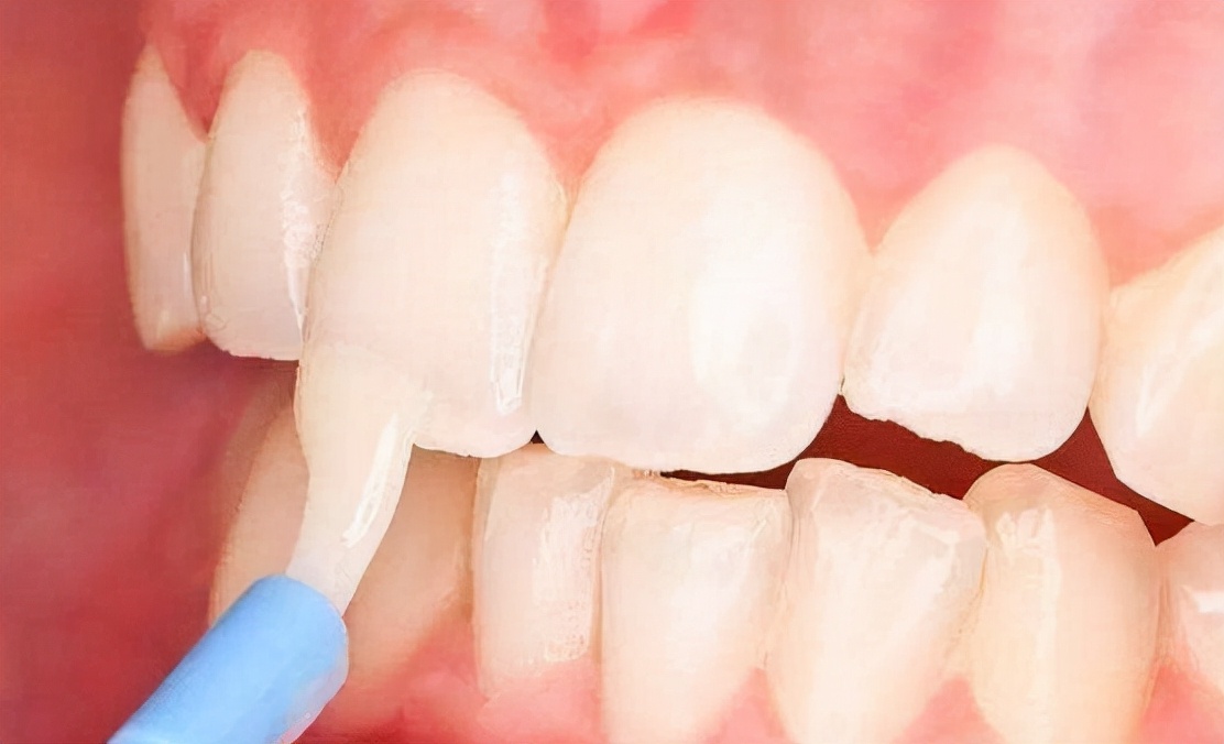
什么是涂氟?
先来说说氟是什么。
氟化物是一种经临床证实的 高效抑菌化学材料。
涂氟,就是将氟化物直接涂于牙齿表面 。
形象地说,涂氟就像是给牙齿穿上一件有力的防龋衣,在短时间内, 为牙齿局部提供较高浓度的氟,增强牙齿的抗龋能力。

如图所示,正在给孩子“涂”氟
什么是窝沟封闭?
我们都知道,牙齿表面存在一些 深的窝沟 ——

如图所示,难以清洁的窝沟
这些部位通常 难以清洁 ,食物残渣和细菌容易堆积, 是蛀牙的好发部位。
窝沟封闭是用专业抗龋材料,将这些 深沟填平,使牙齿更容易清洁 , 从而达到预防蛀牙的作用。

将抗龋材料填入牙齿窝沟内,使牙齿更易清洁,有效防龋
二、涂氟和窝沟封闭的重要性?
涂氟可以抑制细菌生长代谢
据一项 META 分析——
使用氟制剂可以减少 46% 的恒牙龋坏和 33% 的乳牙龋坏的风险。

氟化物可有效增加牙齿抗菌能力
涂氟后,残留于唾液和牙面上的氟可以抑制牙齿组织的溶解(医学上称之为 脱矿 ),并且还
能使其更加坚固( 再矿化 );
因此, 涂氟治疗可以抑制牙齿表面细菌的生长和代谢,增强牙齿硬度,降低患龋风险。
窝沟封闭可有效降低窝沟处龋坏风险
根据卫计委调查结果显示, 我国青少年儿童中70%-80%以上的龋齿都发生在牙齿的窝沟部位。

窝沟是龋齿高发部位
从1955年第一次应用以来,大量的临床资料证实——
未处理的牙患窝沟龋的可能性比窝沟封闭的牙高3~4倍!
由数据可知,窝沟封闭对孩子蛀牙预防是非常有必要的。

窝沟封闭后深窝沟和早期龋坏被停止
在部分发达国家,涂氟和窝沟封闭已经纳入儿童医疗保险的必需项目;
我国也有越来越多幼儿园和小学会组织孩子定期涂氟和窝沟封闭,其必要性也不言而喻。
三、涂氟和窝沟封闭的要求有哪些?
陆博根据家长们后台经常私信收到的问题,这边也对涂氟和窝沟封闭的一些常见问题做了整理——
1、涂氟常见Q&A

(1)几岁的孩子可以涂氟?
一般建议 3 岁以上 的儿童接受口腔专业人士进行局部涂氟防龋。
(2)涂氟安全吗?
涂氟已经是目前世界各地牙医普遍采取的治疗方法,对人体是 非常安全 的。
(3)涂氟多久做一次?
一般来说, 一年至少两次涂氟治疗 。 但个体情况存在差异,涂氟的频率最好由齿科医生检查后,根据孩子自身情况来决定。
(4)涂氟多少钱?
我院全口涂氟一次大概300元左右。
(5)涂氟孩子会疼吗?
不疼。 氟化物通常是孩子们喜欢的水果味道,整个涂氟过程几分钟就可完成,完全不疼。
(6)涂氟后孩子可以吃东西吗?
建议半小时内不要喝水、漱口;四小时内尽量不要进食,当天也不需要刷牙。
2、窝沟封闭常见Q&A
(1)孩子几岁可以做窝沟封闭?

乳牙窝沟封闭 的最佳年龄是3岁左右,
第一恒磨牙 的窝沟封闭最佳年龄是6-8岁,
第二恒磨牙 的窝沟封闭最佳年龄是11-13岁。
(2)窝沟封闭怎么做,安全吗?
首先,能做窝沟封闭的牙齿是没有龋坏的牙齿, 整个过程是无痛的。
窝沟封闭的操作耗时短,在小朋友配合的前提下, 操作一颗牙的平均时间大约 6 分钟 ,过程如下图所示:

同时家长们大可放心,窝沟封闭采用的材料是一种有机高分子树脂材料,是 绝对安全、无毒的,所以不用担心对孩子有不良影响。
(3)窝沟封闭能保持多久?
一般来说窝沟封闭的涂料都是 可以长期保留的 ,第一次做完封闭最好在 3-6个月复查以便及时发现有无封闭剂脱落的情况。
(4)窝沟封闭的价格?
在我院,窝沟封闭大概80元左右一颗牙齿。
(5)做完窝沟封闭就不会得蛀牙了吗?
不一定 。 窝沟封闭材料有一定的脱落率, 因此家长应时常注意材料封闭情况。
如有脱落及时修补 ,好好刷牙,注意饮食,才能将孩子患龋齿的可能性降到最低。
四、做完涂氟和窝沟封闭后注意事项
很多家长都觉得,我涂氟和窝沟封闭都做了,那就算是上了一道双保险了吧,孩子肯定不会得蛀牙了!
陆博想说,光靠涂氟和窝沟封闭就不会得蛀牙, 这是不可能的。
就算做了涂氟和窝沟封闭,如自身不注意防护,该蛀还是得蛀。
研究表明,只要两个小时不刷牙,细菌就会在牙齿上形成牙菌斑,久而久之产生蛀牙。

蛀牙形成四要素:糖、细菌、宿主、时间
涂氟和窝沟封闭只是对抗蛀牙的辅助方式之一,后期牙齿保护还是靠自己。
陆博在这边给大家整理好了这3点,家长可以记下——
1、刷牙、漱口、使用牙线,都是很有必要的保护牙齿的好方法;
2、合理的饮食习惯,比如少吃糖、不吃糖,可以对抗蛀牙;
3、例行的口腔检查,也是对抗蛀牙的不二法宝。
家长朋友还有任何关于涂氟和窝沟封闭想咨询或者分享的话,都可以在评论区留言咨询。
最后,祝愿每一位小朋友牙齿棒棒,拥有灿烂的笑容,健康成长!
还想了解
「拔牙 洗牙 种牙」等
更多口腔健康小知识吗?
关注我的头条号就告诉你!
知识不易,且看且记哈~