在临床多年,做为一名牙医往往很无奈。
每天在门诊都会碰到很多次如下的画面:
检查完患者的牙齿问题后,医生一般都会脱口而出:“别忘了有空去洗洗牙啊!”
(悄悄说一句:咱们绝大多数老百姓的口腔卫生那可是相当的惨不忍睹!!)
基本都和下图里这样(这还算很一般的哪,严重的没敢往这里搁,怕影响大家食欲)


结果绝大多数躺在牙椅上的患者,简直就像听见让男生去怀孕一样,恨不得惊异地一转头,瞪大眼睛,冲着我问一句:
“啊??他们不都说洗牙对牙不好吗?会伤牙釉质吗?”;
另一些常见版本:
“不是都说洗牙伤害牙齿吗?”
“不是都说洗牙会洗大牙缝吗?”
。。。。。。
我一般遇见这样,都不厌其烦,巴拉巴拉……
且解释哪,直到他明白正确的做法。
殊不知——“他们”都说,
这个厉害的“他们”害了亿万国人的牙齿过早脱落
其实,如果把“洗牙”这件事看成一个孩子,那么这孩子无疑是比窦娥还冤,背了太多的黑锅,有关洗牙的系列谣言绝对稳当当坐健康界谣言头把交椅。
“洗牙”,究竟是个大忽悠?还是忠告?
【分析】
掉牙的最主要原因是什么?——牙周病
为什么如此多的国人得牙周病?——主要就因为大家普遍不接受洗牙、不愿去洗牙。
拿我自己举个例子,我也曾经有过胃痛不适,结合我的年纪,我确实应该去做个胃镜检查,明确下胃疼的原因究竟在哪儿、目前有没有胃部的器质性病变?但是我懒哪,所以几年来也没有实施。可是至少我知道做胃镜检查这件事是对我的健康有益的!
但是,几乎绝大多数的老百姓不仅不去洗牙,还以讹传讹、流传甚广,都执着地认为:“洗牙”是不应该做的、会伤害牙齿、会把牙缝洗大、说话漏风、牙越洗越松。
总之,“他们”认为“洗牙”是有害于牙齿的!
都说谣言止于智者,可是有关“洗牙”的谣言盛久不衰于各个年龄层、教育层,还有逾传逾广的趋势。
爱牙日从1989年至今即将30年,尤其是近十几年来,有关牙周病的科普是整个口腔医学界针对大众科普的重中之重,这其中,“定期洗牙”是核心内容。
想想我自己身边的不是牙医的朋友也是这样的:无非认为看牙就三件事“补洞、拔牙、镶假牙”,蛀牙大洞也是疼得受不了再去看,坏的厉害只得拔,有时候还不愿意镶,就那样豁着。熬了数年、死扛了数年不看,一旦看了就开始抱怨看牙太麻烦,害我一趟趟跑牙科!有谁觉得刷牙出血、吃苹果烙饼牙龈出血是问题吗?
牙周病讨厌就讨厌在这里,它往往从你的青春期开始,从偶尔的一丢丢的牙龈出血开始,逐渐出血会变得明显一些,而且嘴里会有味道。可是有时候又可以不出血好几年。让你太觉得这很正常!更何况周围人几乎都刷牙出血。
这时候来看病的只有极少一部分患者。(模式图如下)

牙龈轻度炎症

牙龈轻度退缩
一般参加工作几年后,接近三十,很多人才发现牙缝怎么大了?过去不塞牙怎么开始塞了?当然牙龈依然出血着!(见下图)

炎症加重、出现牙缝
再过几年,忙着孩子入托、上学,根本没空关心牙。
35岁以后,发现牙根怎么都露出来了?咬东西费劲了!遇冷热酸都发软了!到这时候,有一部分人才开始来牙周门诊。(见下图)

牙齿扇形移位

牙齿移位、松动加重、牙龈进一步退缩
更多的人是继续死扛,任凭嘴里天天流血哗哗,异味越来越大,直到中年过后,一堆牙松的不能吃饭了!!有的牙松的自己会掉嘴里。才来看病。而且直到这个阶段往往才有个别坏的厉害的牙开始疼滴!!!(见下图)

牙齿脱落
如果你不认为牙龈出血是个问题,那么恭喜你很可能会进入我刚刚描述的牙周病、长达十几年甚至几十年的发展套路里。这个悄无声息的敌人存在于绝大部分人身上。
你中招了吗??
【答疑、总结】
“洗牙”——简单来说,是医生用专业的医用器械去除掉牙面上、牙缝等处的牙石。
为啥医生老和这牙结石较劲?非去掉它不行呢?
牙石其实也是以细菌为主体的成分在牙面上发生了钙化,类似水壶里长水垢一样,而且牙石疏松的结构让它表面很容易堆积大量的细菌。
细菌才是引起牙周病的元凶!
牙石一般都沉积在牙龈边缘附近,这个位置极其关键,它好比是一个敌我交锋的前沿战场,牙石是“敌人”,牙龈、牙槽骨是“我方”。
如果牙石、细菌的量很少,机体会维持一个稳定的平衡状态,牙龈和牙槽骨都不会吸收、退缩。
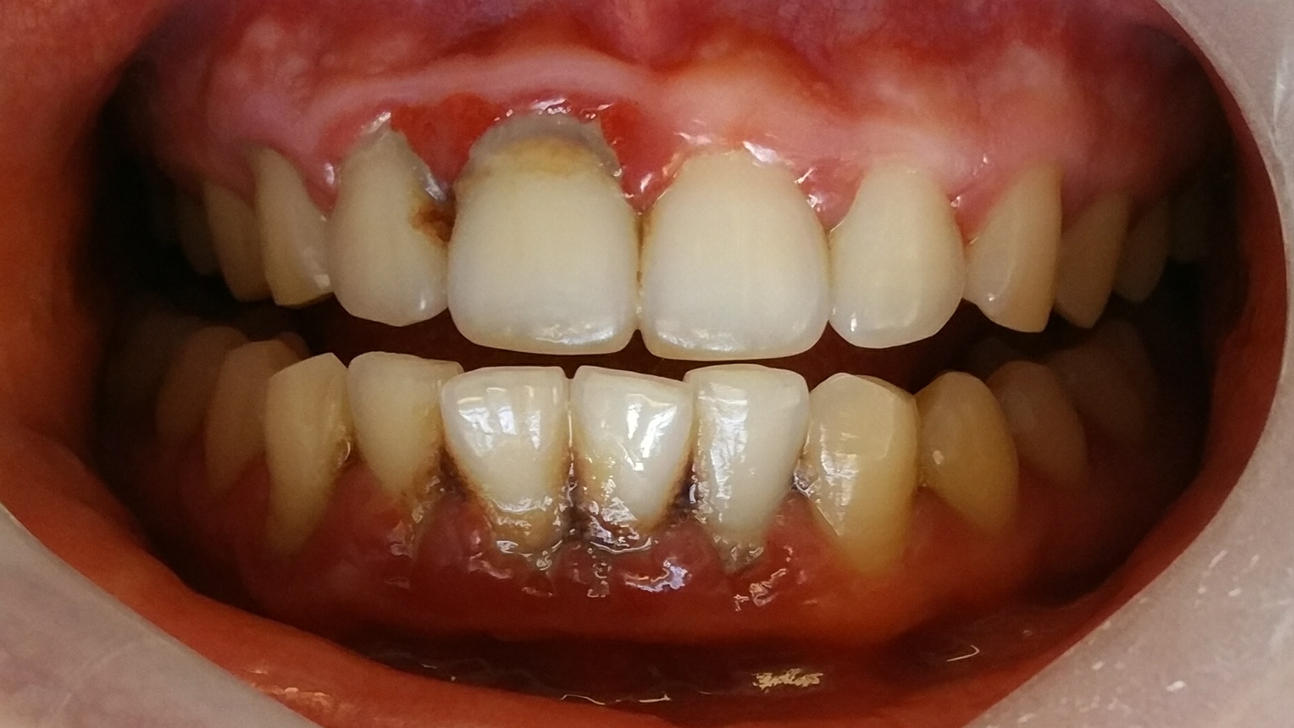
如果牙石越来越多没有及时清除,像下图这样(这位也只是20出头的年轻人)。敌我稳定的平衡就会打破,在牙石表面堆积的大量细菌引起的感染过程中,“敌”进“我”退,造成牙龈退缩、牙槽骨吸收。

牙龈严重出血的20岁出头的年轻患者

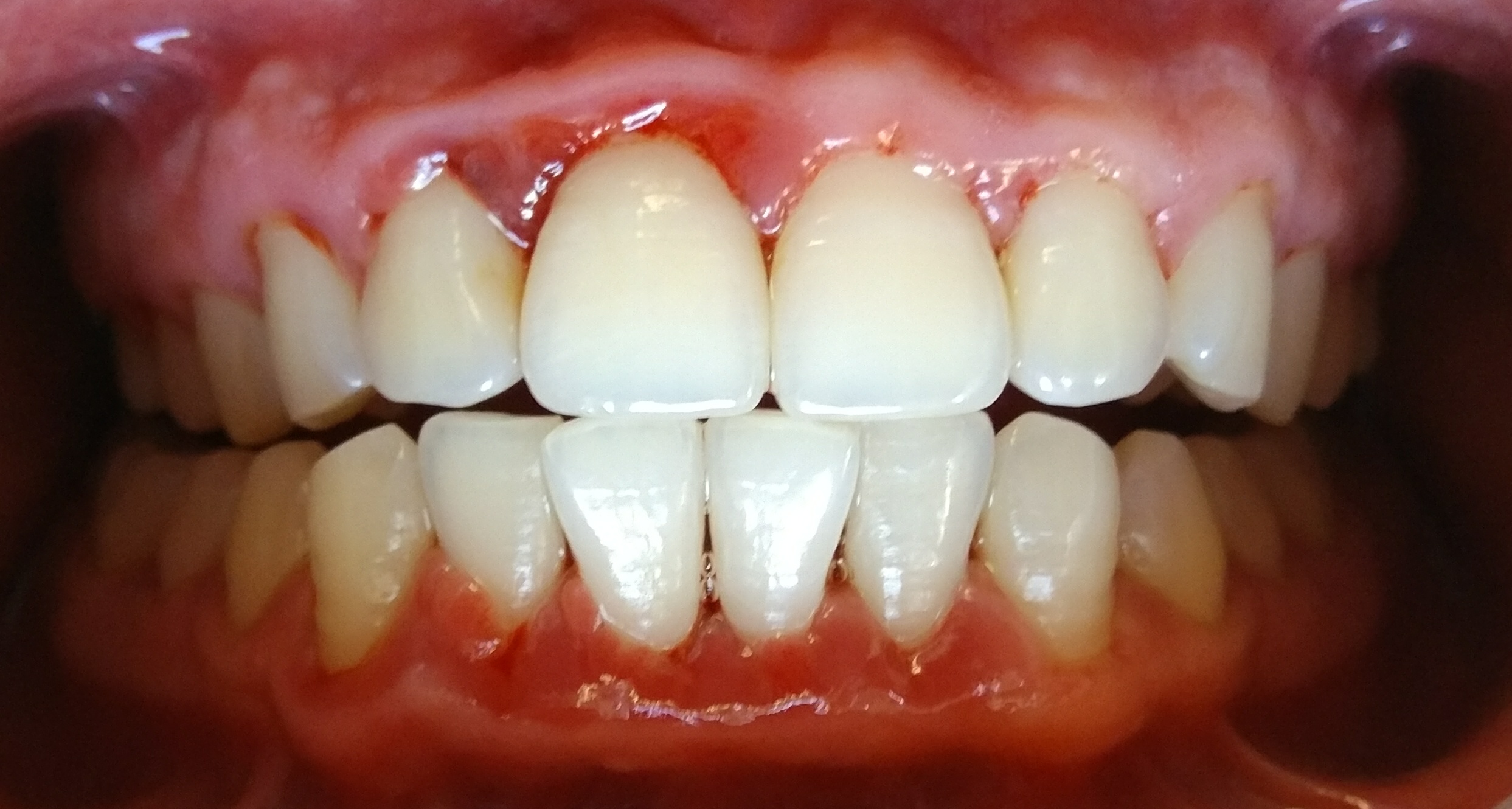
洁治(洗牙)后即刻
所以,我常对我的患者椅旁科普:“如果你曾经洗牙后觉得牙缝变得很大、甚至漏风,觉得牙被洗松,那恰恰说明你的牙周病情可不轻哪!”
看到这里,你是否已经有点明白有关“洗牙”的谣言错在何处了?
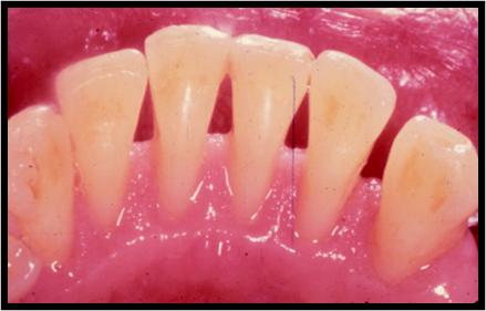
看下图,洗牙后的牙缝显现出来,难道这缝是医生人为制造出来的?当然不是。

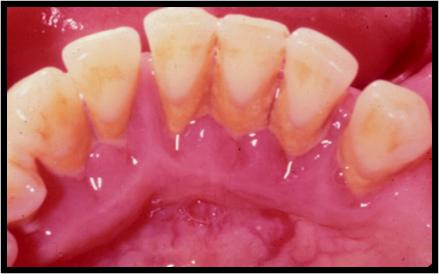
洗牙前的牙石

洗牙后,牙缝被暴露
医生帮你去除了大量的牙石,这些牙石原有占据的空间变得空荡荡,所有治疗只是还原了你目前牙齿、牙龈的真面貌啊!
对于“洗牙把牙洗松了”的谣传,也就不攻自破了。造成有这样的印象的患者,其实都是牙周病情比较严重的,由于他们对牙周病发展的不理解、对治疗必要性的不接受,以及数年来“他们”讹传的根深蒂固的影响,这些重度牙周病患者在第一次来治疗时病情就已经很严重了,比如刚刚上面那张图。大量堆积的像“夹板”样的牙石有些类似于固定松动牙的作用,通过治疗突然被去掉后,早已松动的牙齿被还原了本相,反而让人接受不了。
这时候那些反对洗牙的人会说了:你看,还不如不洗吧,松了!
但我就想反问他们一句:难道不洗牙把牙石保留着,你的牙龈会更好吗?其实只会让牙掉的更快!
【总结】
2018爱牙日的主题依然是“口腔健康、全身健康”,其实这句话包涵的重要意义就在于牙龈的健康和全身健康息息相关。
牙周病是一个极其影响我们生活质量和全身健康的疾病,它不仅让我们牙齿松动、大量掉牙,目前的研究还发现牙周病和内分泌、心脑血管、呼吸系统、妇产科、免疫科、内科等等诸多的重大疾病相关,比如老百姓最为重视的心梗、脑梗、糖尿病、慢阻肺、阿尔兹海默症等等。
“定期洗牙”是预防牙周病的最重要措施。
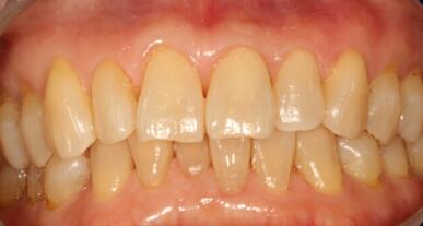
下面这位叔叔坚持了多年洗牙。

75岁的患者,定期洗牙多年
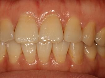
下面这位30岁的女生从高中时*开代**始定期洗牙

30岁,定期洗牙十余年
来看我们n多年定期洗牙的牙医同事们,
牙龈都杠杠滴哪!

70岁的牙医,牙龈粉红健康、无明显退缩

40岁出头的牙医,牙龈粉红健康、无明显退缩
而下面这是今天门诊的30出头的男士的牙龈,已经有明显牙齿松动现象。

请您彻底转变过去的陈旧观念!
请相信医生的建议与忠告!
请从现在开始定期洗牙吧!!