肝胆精英荟
近日,南京市第二医院副院长 杨永峰教授作客“肝胆精英荟”,为大家分享“肝脏炎症性损伤的临床及病理鉴别诊断”!直播期间留言不断,互动热烈,2700多人次点击,取得圆满成功。

“肝胆精英荟”由中华医学会肝病学分会青年委员会、肝胆相照-肝胆病在线公共服务平台、国际肝病、《肝脏》杂志、《临床肝胆病杂志》、《中国病毒病杂志》、华夏肝脏病联盟七大平台共同发起,旨在帮助医生和科室群体打造医生IP,提升基础医生业务技能,探索并打造肝胆病领域继续教育新模式。
为方便医生学习,现将本期精华整理如下:
炎症的概念
炎症是具有血管系统的活体组织对各种损伤因子的刺激所发生的以防御反应为主的基本病理过程。机体许多成分参与炎症反应过程,包括白细胞、血浆蛋白、血管壁细胞、成纤维细胞、细胞外基质和炎症介质。炎症的基本病理变化包括:变质、渗出、增生。
炎症的分类--
累及器官:肝炎、肾炎、心肌炎等
病变程度:轻度、中度、重度
基本病变性质:变质性炎、渗出性炎、增生性炎
持续时间:急性、慢性
肝脏炎症主要包括:
①肝细胞变性:细胞水肿、嗜酸变性;②肝细胞坏死:1.溶解性坏死:点状坏死、碎片状坏死、桥接坏死、大片坏死;2.凋亡:嗜酸小体;③炎细胞浸润:淋巴细胞、浆细胞、中性粒细胞、嗜酸性粒细胞等;④再生:肝细胞再生、间质反应性增生(枯否细胞、成纤维细胞)、小胆管增生;⑥纤维化
主要累及肝细胞的炎症:病毒性肝炎、药物性肝炎、非酒精性脂肪肝炎、酒精性肝炎、自身免疫性肝炎。累及胆管的炎症主要包括原发性胆汁性胆管炎、原发性硬化性胆管炎…
肝细胞型炎性肝病在临床最为常见,临床特征主要表现:以ALT和AST增高为主(AIH:常常大于5倍;NASH:通常<3倍;DILI:多样);重症病例可合并黄疸、ALP和GGT增高等淤胆表现、肝脏合成功能降低(PTA、INR、胆碱酯酶、白蛋白)。

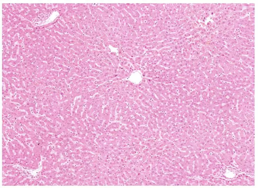
正常界面

正常肝小叶

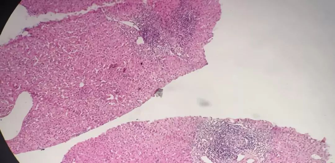
急性肝炎和慢性肝炎病理鉴别
急性肝炎以小叶炎症为主,常见病因:DILI、急性病毒性肝炎、急性发病AIH、Wilson病。

慢性肝炎以汇管区炎为主,常见病因:慢性病毒性肝炎、AIH、Wilson病、AIH样DILI。

急性肝炎的病理类型和鉴别诊断

脂肪性肝炎
脂肪肝炎可分别三种不同病变阶段:NAFL(肝细胞脂肪变性(>5%)、NASH(肝细胞脂肪变性、肝细胞气球样变性(必要条件)、小叶炎症)、肝硬化(脂肪变性不明显)。
HBV感染合并NAFLD出现ALT升高,谁是主谋?

自身免疫性肝炎诊断
IgG和自身抗体都不是AIH特异指标
①建议所有不明原因肝损伤的病人进行肝组织病理学检查;②结合临床、实验室和病理特征,可作出AIH的诊断;③只有对免疫*制剂抑**的应答才能确立AIH诊断和挽救病人。
血清学阴性不能排除AIH,血清学阳性不能诊断AIH。组织学检查对AIH诊断必不可缺。AIH诊断要借助评分但不唯评分。AIH诊断的三个必须条件:①临床特征符合、②病理特征符合③免疫抑制治疗有效。
最后杨永峰教授总结到:对不明原因肝损伤病因诊断,肝穿必不可缺,可缩小鉴别诊断范围,指明方向。病理和临床结合,方能发挥最大价值,最终确定病因。希望大家多读书、多看片、多学习、多交流、勤思考,做一个懂病理的临床医生。
专家简介

杨永峰
南京市第二医院副院长 主任医师、医学博士、硕士生导师。
中华医学会肝病分会青年委员会副主任委员 、江苏省中西医结合学术肝病分会主任委员、江苏省医学会感染病学分会副主任委员,江苏省重点人才,第十届中国医师奖获得者。精通肝脏疾病的临床、病理和影像诊断,擅长疑难重症肝病诊治。