又一个不眠之夜。
早晨醒来,由于睡眠严重不足,小蕊(化名)的精神状态萎靡不振。刚刚停止的抽搐又开始发作起来。陪着她一夜未眠的爸爸妈妈看到女儿这样,既心痛又无可奈何。
这样的情况已经发生了很多次。四肢不对称强直抽搐,头偏向右侧,人事不省,呼之不应。虽然持续时间短,但发作异常频繁,一天约数十次。仅3岁的小蕊时常是“冷不丁”地发作,严重影响了她的生活,用她妈妈的话说,“折磨得都快没有人样了”。

自小蕊1岁高烧第一次发作以来,跑遍全省大大小小的医院,服用了多种抗癫痫药物,但病情都未能得到很好的控制。在一段无奈的日子里,家人给小蕊寻来了“草根”,按“土办法”给她服用,却也是徒劳无益。发作甚至比先前更为频繁、严重。
近乎绝望放弃之时,小蕊家人听在辽宁省沈阳六一儿童医院工作的友人提起擅长小儿神经外科治疗的周焕斌教授,打听到我在沈阳六一儿童医院工作,全家人就像看到了希望的曙光!天一亮,小蕊爸妈便启程赶往沈阳。
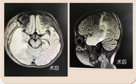
周焕斌教授细细询问病史,查看检查结果后,告知小蕊家人,考虑是:巨脑回畸形、灰质异位导致难治性癫痫。

什么是巨脑回畸形、灰质异位?是先天性的吗?手术治疗后能痊愈吗?癫痫会不会再发作吗?会影响孩子的发育吗?.......孩子的妈妈一连串问出了好多的疑惑和担忧。周焕斌教授耐心细致的一一回答了家属的问题。他表示:巨脑回畸形、灰质异位属于小儿先天性脑发育缺陷,经常伴有癫痫。术后去除病症可痊愈,不影响孩子的发育。
通过与北京首都儿研所团队进行多学科讨论后决定行“右侧颞叶切除,颞顶叶离断术”。手术顺利结束后,目前小蕊已转回普通病房,一天数十次的发作神奇般的消失了。
小儿癫痫科普
癫痫是儿童常见的神经系统疾病,我国癫痫的年发病率为35/10万人口,患病率在4‰~7‰,约60%在儿童时期起病。随着临床与脑电图、影像学、分子遗传学及抗癫痫药物的不断发展,以及诊治水平不断提高,70%~80% 的癫痫患儿可获得完全控制,其中大部分能正常生活和学习。

儿童癫痫病因?
导致癫痫疾病发生的原因多种多样,除部分患儿有家族遗传因素之外,小儿常见病因有脑发育不良、细菌或病毒引起的颅内感染、脑外伤、先天代谢性疾病等。还有一些不良因素可以诱发癫痫发作,例如发热、腹泻、接种疫苗、过度疲劳等。这些因素对正常人群不会构成威胁,但对那些具有容易发生惊厥潜在素质的患儿则可促进癫痫发作。
癫痫能够根治吗?
这是所有患儿家长们非常关心的问题。目前癫痫的治疗仍以口服药物为首选,少数能够找到脑部病灶并且适合手术切除的患者,可以考虑外科治疗,但是术前一定要做细致的病灶定位和神经功能评估。
根据国内外多年的科学研究和临床经验,患者在神经专科医生的正确指导下接受正规、合理的抗癫痫药物治疗,绝大多数患者能够达到临床治愈,撤药后不再发作,可以保持正常的学习与生活。