一、气管内插管(ETT)
气管内插管通常使用右不透射线标志条的无侧孔大口径导管(约1cm),管头通常为斜角形。患者头部位于正中位置(即下颌骨的底部,位于C5-6水平),此时气管插管管头距离气管隆突3-5cm。理想的ETT直径是气管宽度的1/2-1/3,如有充气气囊,应充满但不应扩张气管腔,最常见的位置异常是位于右主支气管或右肺下叶支气管,若管头位于颈部,有可能损伤声带。

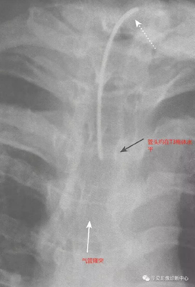
二、气管切开插管
管头应位于气管切开处和隆突之间的中间位置,相当于T3椎体水平,与ETT不同,气管切开插管管头的位置不受颈部前屈和后仰的影响,气管切开插管管径应约为气管宽度的2/3,若有气囊,通常充气后不应大于气管腔,短期并发症为可能发生气管穿孔(纵隔气肿、气胸、皮下气肿等),气管狭窄是最常见的长期并发症,常发生在切口处。

三、中心静脉导管(CVC)
中心静脉导管为无标志条的均匀不透光细导管(直径约3mm),通常由锁骨下静脉或颈内静脉插入,颈内静脉汇入锁骨下静脉形成头臂静脉,再汇入上腔静脉,锁骨下静脉和头臂静脉交汇处通常位于锁骨内侧端后方。CVC下行前应到达锁骨内侧端,管头应位于第一肋前端内侧,导管应沿胸椎右缘向下走行,管头应位于上腔静脉内,导管的弯曲应该是平滑的,而不是锐利弯折;最常见的位置异常发生在右心房或颈内静脉内,插入后,不论成功与否,都要检查是否发生气胸。

四、经外周静脉中心静脉导管(PICC)
PICC管管头应位于上腔静脉内,也可位于腋静脉内,PICC管很细,图像上可能很难观察到;置入时间过长,管头可能发生位置异常,由于PICC导管管腔较小,可能发生导管内血栓形成。

五、双腔导管,血液透析血管
双腔导管是典型的具有中心标志条的较大孔径导管,不同品牌设计略有不同,但每根导管都有2个同轴的腔,目的都是使两出口间的再循环量最小,“动脉端”(血液由此离开体内)较“静脉端”(血液由此回到体内)为近端,这样可以减少再循环血量,一些导管设计为2个分离的腔,其中一个管头位于上腔静脉,另一个管头位于右心房内。经右侧颈内静脉路径是最常用的路径,临时使用(2-3周)的导管管头通常位于上腔静脉内,较长期的导管管头多位于右心房内。
双腔导管异位会即刻引起的并发症包括气胸、管头异位和穿孔;长期并发症包括感染、静脉血栓形成或导管闭塞等。

六、胸腔引流管
胸腔引流管是大口径导管,有一个在侧孔处中断的不透射线标志条,气胸引流的最佳位置是前上部,胸腔积液引流的最佳位置是后下部,胸腔引流管侧孔不应位于胸壁外,位置异常可导致引流不充分,当快速引流大量胸腔积液或气胸时,可引起复张性肺水肿。如果侧孔位于胸壁外,可导致引流不充分和胸壁皮下气肿。

来源:华夏影像诊断中心
【版权声明】本平台属公益学习平台,转载系出于传递更多学习信息之目的,且已标明作者和出处,如不希望被传播的老师可与我们联系删除