来源: 医学影像俱乐部
多囊肾是肾脏的皮质和髓质出现多个囊肿的一种遗传性肾脏囊性疾病,按遗传方式分为常染色体显性遗传型多囊肾病(ADPKD)及常染色体隐性遗传型多囊肾病(ARPKD)两种类型。
常染色体显性遗传型多囊肾病(ADPKD)是最常见的单基因遗传病之一,按照常染色体显性遗传方式遗传,病理表现为肾单位各个节段的囊性扩张。 ADPKD为一系统性疾病,可累及肾脏及除肾脏以外的多个器官和组织,有时肾外表现可成为 ADPKD病人的惟一临床表现。大多于成人期出现临床症状,少数也可于儿童期甚至胎儿期即发病。肾脏表现包括肾囊肿的进行性形成、增大和肾功能损害。增大的肾脏和囊肿牵拉肾包膜肾蒂、压迫邻近器官可引起肾区和腰背部的持续性隐痛,若囊肿破裂出血可导致突发或加剧的绞痛。42%患者一生中至少有一次肉眼血尿,镜下血尿更为常见,一般血尿发作具有自限性。55%患者有微量蛋白尿,大约1/3病人有明显的蛋白尿(≥200mg/dl),大量蛋白尿(>3.5g/d)不常见。高血压为 ADPKD常见的临床表现之一,在丧失肾功能以前,对肾功能有极大的影响,可加速肾功能衰竭。一般在20-60岁之间出现肾功能损害症状,到60岁时约50%患者发展至终末期肾衰。早期表现为浓缩功能障碍,以后逐渐影响稀释功能和尿酸化功能。ADPKD引起的肾衰较其他原因的肾衰预后相对较好。
[典型病例一]:60岁,女性患者,肾功能损害。



双侧肾脏体积增大,皮质及髓质内能够看到多发大小不等的囊肿,大部分囊肿T1WI呈低信号,T2WI像上呈高信号,有少部分囊肿在T1WI呈高信号的复杂囊肿表现,可能由于里面含有不同时期的出血及高蛋白有关,肝脏内也可见较多数量的囊肿。
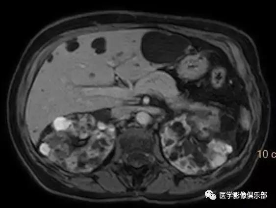
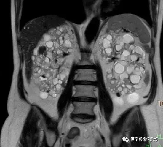
[典型病例二]:45岁,女性患者,腹部不适。家族史是动脉瘤性蛛网膜下腔出血和肾损害。

CTMPR冠状位重建显示双侧肾脏体积明显增大,肾脏皮质及髓质分界不清,弥漫大小不等的囊肿,边界光滑锐利,肝脏实质内亦可见多发大小不等的囊肿。
肝囊肿是 ADPKD最常见的肾外表现,约1/3患者可有肝囊肿,其数目随年龄增长而增多,肝功能正常。临床表现为肝区疼痛、不适及饱胀感等。此外,囊肿还可发生于胰、脾、食管、甲状腺、子宫、精囊、附睾和卵巢等。ADPKD病人还可出现心脏异常、憩室、胃肠综合征和动脉瘤等肾外表现。目前认为 ADPKD存在遗传异质性,即已发现至少三个基因突变可引起 ADPKD,按发现先后分别为PKD1、PKD2和PKD3基因,其中PKD1和PKD2基因分别定位于第16号染色体短臂1区3带3亚带(16p13.3)和第4号染色体长臂2区2带(4p22)。
ARPKD是一种肾和胆道的遗传性畸形综合征,病理改变为肾集合管梭形扩张和伴随门静脉系统纤维化的胆道发育不全。遗传方式遵循常染色体隐性遗传规律。大部分于婴儿期发病,不同时期的 ARPKD各有其特点。胎儿期的典型表现为超声示肾脏回声增强和羊水过少,胎儿可发展为 Potter 2表型。新生儿通常于出生后数小时内即死于呼吸衰竭,存活者往往肾功能受损。婴儿期主要特征为高血压和肾小管功能异常,高血压是此期发病和死亡的主要原因。尿检异常也较常见,脓尿最常见,它的存在并不意味着感染。青春期和成人期最显著特征为先天性肝纤维化和相对较轻的髓质扩张,表现为突前性门脉高压症。一般情况下,肝脏合成功能正常。ARPKD未发现遗传异质性,基因定位于6号染色体。
[病例举例]:常规产科超声显示胎龄26周胎儿畸形。



胎儿超声显示双肾明显增大,回声增强,羊水量较少。
肾多发囊肿一般是指在肾脏中发现多个囊肿,广义地说,包括多囊肾在内,很多疾病均可引起肾多发囊肿,如多囊性发育不良、获得性肾囊肿病、髓质海绵肾、 Boumeville病和Lindau综合征等;最常见的是多发的单纯性肾囊肿,其肾功能无损害,也无肾外表现,无家族史,预后良好,一般无需治疗。由此可见,多囊肾和肾多发囊肿是两个不同的概念,不可混为一谈。
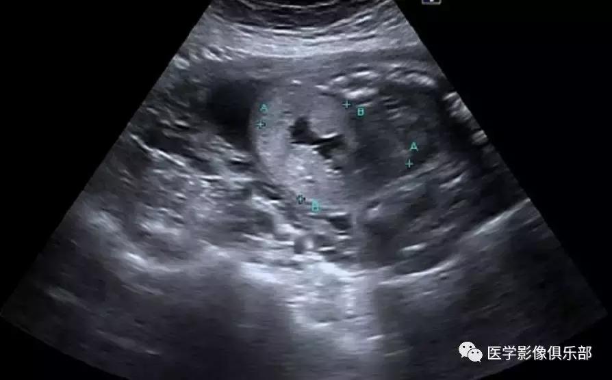
[病例举例]:25岁女性,双肾多发囊肿。

双侧肾脏皮质内数枚类圆形囊肿。
【版权声明】本平台属公益学习平台,转载系出于传递更多学习信息之目的,且已标明作者和出处,如不希望被传播的老师可与我们联系删除