深夜1点大家都陷入了梦乡,这时120的鸣叫声惊破了夜的宁静,刚刚躺下没几分钟的方医生被护士的电话又惊醒了
“快,来了个病人,考虑脑卒中。”
脑中风是急诊科常见的急诊,可耽误不得,于是方医生立即起床前去查看。
“患者,冯某某,男,45岁,因‘头昏乏力5天,行走不稳伴言语含糊3天’,今天晚上被其家属发现人意识模糊前来就诊。”急救中心的医生汇报道。
“家属呢?来介绍一下病情。”方医生问道。
“这是我老公,5天前的晚上他在进食海鲜与米酒后先后出现头昏、乏力纳差伴腹胀,但他没当回事情,想想可能是劳累休息几天就会好。可是3天前起拉肚子4次都是稀水便,此后出现说话含糊,行走不稳,伴咳嗽咳痰;我以为他受凉导致的也没重视。昨天他情况日益加重,反应也很差,和他对话反应有些迟钝,今天就赶紧把他送到当地医院,做了一些检查医生告诉我们什么‘脑病、横纹肌溶解’,要我们转到上级医院来看病,我们没敢耽误立马决定送到你们医院来了。”
“你老公从事什么职业?发病前去过哪里?”
“我老公是厨师,干了20年了,平时身体还好,生病前去钓过鱼,也没离开过杭州。平时吃饭也都是自己做的饭菜,不知这是怎么了?”
方医生边听边对患者进行检查,体温34.9℃,脉搏63次/分,血压134/99mmHg,呼吸20次/分,嗜睡,精神软,言语含糊,对答切题,双侧瞳孔0.25cm,对光反射灵敏,双侧鼻唇沟对称,伸舌不偏,颈软,四肢肌力5级,肌张力正常,腱反射等称(++),病理征阴性,肢体痛觉无减退,指鼻试验正常,跟膝胫试验正常。心率63次/分,心律齐,无杂音;肺部叩诊左下肺浊音,听诊左下肺呼吸音减弱,未及明显干湿罗音。腹膨隆,无压痛及反跳痛,肝脾肋下未及,双下肢无浮肿。
“看来患者应该不是脑卒中,但患者毕竟有行走不稳的情况,会不会其他神经系统疾病呢?”方医生还是有些忐忑不安,于是安排患者做了头颅磁共振,发现胼胝体压部小片状异常信号。同时急诊做的一些化验也回来了:血白细胞 4.3*10^9/L,中性粒细胞87.6%,血红蛋白 138g/L,血小板 84*10^9/L,C-反应蛋白 213mg/L;凝血功能(2019-02-19),凝血酶原时间 11.9sec,部分凝血活酶时间 29.9sec,纤维蛋白原 7.75g/L,D-二聚体 4240.0μg/L;尿常规中隐血(干化学) +++,蛋白+,酮体+;生化示丙氨酸氨基转移酶 75U/L,门冬氨酸氨基转移酶 162U/L,白蛋白 31.7g/L,尿素 5.15mmol/L,肌酐 122μmol/L,β-*丁酸羟** 682μmol/L,肌酸激酶 11480U/L,肌酸激酶同工酶MB 145U/L。乳酸脱氢酶 928U/L,血淀粉酶 136U/L,钠 126mmol/L,钾 2.83mmol/L,氯 94mmol/L;肌钙蛋白I定量 0.02ug/L,降钙素原 0.51ng/ml;快速流感病毒抗原检测阴性。
忙了半夜,天渐亮起,同事们陆续前来上班,方医生向吴主任介绍了患者的情况。
“哇!这么多异常的结果,血CRP和心肌酶都这么高!似乎还从没见过这样的感染。那感染的部位在哪里呢?”吴主任看着化验单陷入沉思。“给患者进行胸部CT和脑脊液检查吧!”
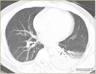
于是众人在吴主任的指挥下忙碌起来,胸部CT回报左下肺大片实变影。脑脊液生化示蛋白(脑脊液) 42.2mg/dl,葡萄糖(脑脊液) 6.75mmol/L,氯化物(脑脊液) 125mmol/L;脑脊液常规潘氏试验 阴性,脑脊液红细胞 5/μl,脑脊液有核细胞 1/μl。
“看来,至少脑膜炎可以排除,而肺炎成立。我们感染性疾病的诊治的第一关---感染部位解决了。”吴主任稍微松了口气。
“那接下来是要分析感染的病原体了吧?”方医生问道。
“是的,这是很有挑战性的工作,来,我们完善一下血培养、痰培养,以及呼吸道病原学抗体的检测。同时将病人送入院,行24小时心电监护密切关注患者的生命体征。先予头孢哌酮舒巴坦针2g Q8H抗感染,覆盖常见呼吸道病原菌;患者低体温,不排除皮质功能不全、甲减等内分泌疾病,先予以氢化可的松50mg每12小时一次,连续三天;最后立即请医务科组织全院大讨论。”

大家于是有条不紊地工作起来,下午医务科马科长组织各科专家一起讨论。吴主任在介绍病情后问道:“患者入院是以精神症状为主,头颅磁共振也显示胼胝体压部小片状异常信号, 不知放射科丁主任有何高见?”
丁主任答道:“患者胼胝体病变考虑脑白质病可能,但该部位病变多为继发性,可见于脑炎、内环境紊乱等。而患者入院时存在明显的低钠低钾血症,因此只要电解质纠正了,这些病变会自行缓解的。”
内分泌风湿科张主任继续说道:“患者起病5天,乏力进行加重,生化肌酸激酶升高,尿隐血、蛋白阳性,呈现所谓‘横纹肌溶解综合征’,同时MRI提示胼胝体异常信号,对于我们科而言需考虑皮肌炎,但皮肌炎的肺部病变通常是弥漫的间质性病变,局限在一叶的大片实变非常少见,还是应首先考虑感染性疾病,我建议完善自身抗体、血管炎抗体、皮肌炎抗体检测项目。此外患者现在低体温,怕热、多汗,心率不快,建议完善甲状腺、皮质功能检查。”吴主任对神经内科牛主任问道:“患者精神症状明显,但目前检查并没有特异性,不知牛主任对此有什么看法?”
牛主任说道:“患者目前存在神经功能异常、左下肺炎、横纹肌溶解、电解质紊乱、肝功能异常,神经查体暂无典型体征可提示脑病原发部位,腰穿无颅内感染表现,结合入院前发热、血象升高等情况不排除重症感染继发神经功能改变。当然患者在发病前曾有大量食用海鲜,饮自酿米酒病史,因此会不会有中毒性脑病的可能;至于横纹肌溶解表现不排除患者长期服用“保健品”导致中毒可能(如他汀类药物等)。”
吴主任对感染科朱主任询问道:“病人虽然没有明显发热,但CRP很高,肺部大片实变影,肺炎诊断可以明确,但病原学会是什么呢?”
朱主任也满是困惑地说:“通常大叶性肺炎的病原体是肺炎链球菌,但患者没有的畏寒高热,以及咯铁锈色痰的表现,加上白细胞总数不高,因此肺炎链球菌肺炎我不考虑。患者突出的化验结果是肌酸激酶和乳酸脱氟酶增高明显,且伴有明显的低钠血症,一些少见的病原体如军团菌肺炎要引起重视。但是这个菌很难通过血培养或者痰培养发现,因此现在有一项新技术就是高通量二代测序技术可以帮助检测,我们可以建议患者做一下。”
吴主任:“谢谢各位主任的宝贵意见,鉴于患者起病急,进行加重,病情复杂危重,诊断不明确,除对症治疗、抗感染治疗,需严格控制钠摄入,可予以小剂量、短疗程激素补充,完善自身免疫抗体、血管炎抗体、皮肌炎抗体、甲状腺功能、皮质功能、二代测序感染病原学等检验检查。待结果回报后,还要请各位主任再出谋划策噢。”
入院后的第三天,患者出现寒战、高热,伴有腹胀、谵妄等状态,肌酸激酶有所下降,但CRP和乳酸脱氢酶仍持续高水平,血白细胞总数出现下降,巨大的挑战又摆在吴主任面前。抗感染治疗已经用到了顶级的美罗培南联合左氧氟沙星,临床上常见的细菌都被覆盖到了,可为什么还如此发热呢?
带着满脑子的迷团,吴主任想要再亲自问一问患者的病史,看看还有没有遗漏的地方。吴主任看着患者的体温单,突然觉得有点不对劲,她叫来方医生:“小方,你看这体温单,今天患者体温到了39.1度,但是脉搏却只有100次/分。你说说看我们正常情况下每升高一度体温,脉搏会增快多少?”
小方说道:“通常情况下,每增高一度体温,脉搏应该会增快16-20次/分,39度体温脉搏通常要到110次/分以上。这个病人难道是相对缓脉?”
吴主任若有所思:“相对缓脉是一个很重要的体征,以往我们上学那会儿说伤寒会有相对缓脉,但是伤寒很少会引起肺炎。而一些非典型病原体如军团菌、衣原体感染也会出现相对缓脉的体征。对了,你说患者是位厨师,是吗?”
“是的,你难道怀疑他的职业和这个病有关吗?”小方顺着吴主任的思路说道,而吴主任已起身走到患者的床前。
“你平时做厨师有接触活的家禽吗?”
“平时不接触,我就负责烧炒做饭菜。但最近几周原来负责杀鸡杀鸭的小工不做了,只好我亲手来宰这些鸡鸭了。”
吴主任突然有些不祥之感,难道是禽流感吗?甲流感毒抗原检测阴性,不过抗原检测可能存在假阴性,再做一个核酸检测有助于提高阳性率。会不会禽类带来的其他病原体呢?军团菌可能性不大,因为军团菌多是在夏天出现,与空调污水的产生相关。还会是什么呢?
下午下班前,吴主任接到小方打来的电话:“吴主任,患者血二代测序结果出来了,病原体找到了!是鹦鹉热衣原体!我们终于打到罪犯了!”小方激动的话语让吴主任松了一口气:“快,我们赶快换药,用多西霉素。”
改药后第三天,患者体温恢复正常,各项指标均明显下降。又过了一周,肺部CT复查病灶明显吸收,各项指标也恢复正常了,患者终于开心地出院了。

方医生在办完出院后感慨到:“真是惊心动魄的二周,这鹦鹉热怎么这么厉害呀?而且我有几个困惑想请教你一下。”
“别说你有困惑,我自己这几天也在想些问题,查找相关资料,就当作我们共同学习吧。”吴主任谦虚地说。
“你说这患者发病时,CRP这么高,肺里还满大片的实变影,为什么没有发热,甚至来的时候体温还是低的?”
“这个鹦鹉热其实准确地说说又叫饲鸟热,是鹦鹉衣原体感染所致,和密切接触禽类有关。这位患者是厨师,近期有与禽类接触的经历。临床表现非常多样,而且极容易误诊。就说这临床表现,发热的比例各家报道从50%到100%不等;虽然说是肺炎,但是咳嗽发生的比例差异也很大,据报道也是50%到了%不等,更坑人的是这咳嗽发生在疾病后期而初期不出现。一些非特异性的疾病如头痛、肌痛和寒战比例不低,约30%-70%,会给临床医生带偏思路,而去考虑其他疾病如脑中风。更为有趣的是,这个病的肺外表现非常多包括了畏光、耳聋、恶心呕吐、腹痛、腹泻、便秘等,更容易导致误诊。”吴主作侃侃而谈道。
方医生若有所思:“我们通常的肺炎很少有明显的肺外表现,那是不是反过来说,如果患者肺外表现多且复杂,要多考虑一些少见的病原体感染,如衣原体和支原体感染。”
“是的,根据临床表现的反向思维也是有助于我们的诊断的。”