自2023年8月18日南昌市第一医院九龙湖院区心血管内科开科以来,首批心血管危重症患者已顺利出院。他们对九龙湖院区心内科的诊疗服务真实感受如何呢?让我们一起来听听他们的心声。
这位患者是位90后,因突发胸闷持续20余小时才来医院治疗,考虑到小伙子胸痛反复,无法缓解,病情危急,九龙湖院区心内科团队立即查找原因,原来小伙子最重要的一支心脏血管:“前降支”急性闭塞且血栓负荷重。于是,球囊扩张、血管内溶栓、支架植入......紧张又有序地手术操作结束后,小伙子闭塞的血管终于打通,胸痛症状也得到了明显缓解。


经过术后的康复治疗,小伙子已康复出院,出院前,他的母亲有些心里话,我们一起来听听:
视频加载中...
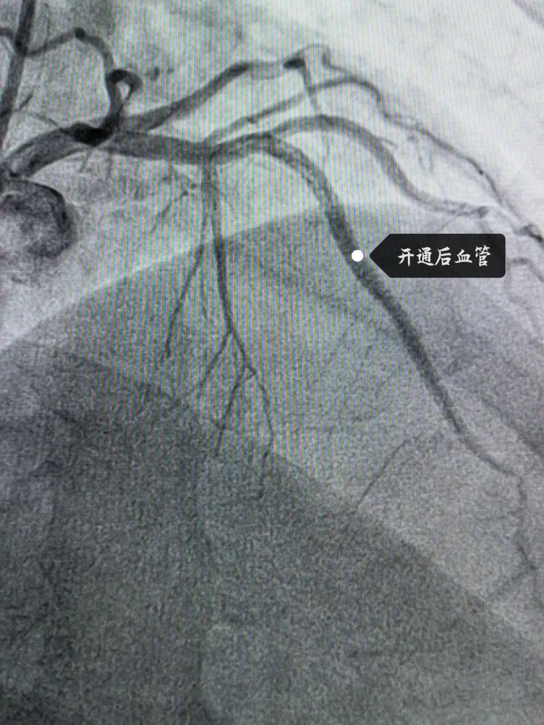
这位患者是位50多岁的中年男性张叔叔,因咳嗽5天,胸闷气促3天到我院就诊,刚到医院,张叔叔已经极度呼吸困难,急诊科及心内科团队迅速明确诊断:张叔叔为感染诱发急性左心衰发作。

可是,张叔叔明明年纪不大,为什么一个呼吸道感染就会导致心衰这么危险的疾病呢?原来,张叔叔的心脏血管“前降支”出现了慢性闭塞。于是,心内科手术团队在血管内超声指导下精准植入2枚支架,使张叔叔的前降支血流恢复畅通。手术后,张叔叔的胸闷症状明显缓解,运动耐力也明显恢复,射血分数也由术前的42%显著回升到50%。


出院前,张叔叔的儿子对我们说,现在能恢复的如此迅速和理想,真是内心充满感激,真心感谢南昌市第一医院九龙湖院区心内科全体医护人员的专业治疗及贴心照护。
每一个患者的转危为安
都能带给我们最大的成就感
每一位患者的满意
也是我们前进的最大动力!
南昌市第一医院九龙湖院区心内科团队
将持续竭尽全力
为广大人民群众的心血管健康
保驾护航!

科室介绍

南昌市第一医院心血管内科成立于上世纪八十年代初,历经几代医务工作者的艰苦努力,不断发展壮大,目前已成为江西省省级临床重点专科、南昌市名科、中国胸痛中心、中国高血压达标中心、江西省及南昌市科普教育基地。能对心血管常见病、多发病以及急危重症进行规范诊疗,在南昌市老百姓中有良好的口碑及群众基础。
现有医生20名,其中主任医师3名,副主任医师4名,主治医师5名,住院医师6名,具有博士学位者1名,在职博士2名,硕士学位者12名,学士学位者5名。其中含硕士研究生导师1名,全国优秀带教老师2名,省级优秀带教老师1名。
科室自1989年率先在江西省内开展冠状动脉造影及右心导管术以来,所开展的手术多次填补了市级空白,同时,复杂冠脉病变的介入治疗、各种心律失常的射频消融治疗、永久心脏起搏器植入术(包括单腔起搏器、双腔起搏器、CRTD、ICD等)、复杂先天性心脏病介入封堵术、外周大血管支架植入术以及经皮主动脉瓣置换术等介入手术方面已达到国内先进水平。
作为中国胸痛中心及中国高血压达标中心,心血管内科将所有胸痛病人严格按胸痛流程,高血压病人按中国高血压达标中心的要求进行精准化治疗及精细化管理,并定期开展大型高血压患者健康教育活动,建立高血压患者微信群,采用线上+线下的方式,对高血压、心衰等慢病患者进行健康宣教管理。
近三年来,心血管内科共承担国家级及省级科研课题10余项,获国家实用新型专利3项,南昌市科技进步三等奖2项,发表文章50余篇,其中SCI收录3篇,核心期刊40余篇。在教学工作方面,科主任担任内科教研室主任,科室现有全国优秀带教老师2名,江西省优秀带教老师1名,多名教师在教学大赛中获奖,内科教研室被评为优秀教研室。
专家介绍

郑春华
医学博士
主任医师、硕士研究生导师
内科教研室主任、心内科GCP中心主任
心内二科主任
专家简介:
全市卫生系统先进工作者、南昌市第一医院十大优秀医生、入选《天下赣医》。个人完成各种心血管介入手术5000余台。发表SCI论文5篇,在国家级核心期刊及统计源期刊上发表论文50余篇,参与国家自然科学基金课题研究一项,省自然科学基金课题研究一项,中标江西省教育厅课题一项,江西省卫计委课题一项,白求恩基金会课题一项,南昌市科技局课题5项。获南昌市科技进步奖两项,国家实用新型专利2项。
学术及社会任职:
江西省介入心脏病学会心电生理专业委员会 副主任委员
江西省介入心脏病学会冠心病诊疗专业委员会 常务委员
江西省医学会高血压分会第一届委员会 常务委员
江西省医学会第九届心血管病分会 委员
江西省医学会心脏瓣膜分会第一届委员会 常务委员
江西省医师协会心血管内科医师分会第一届委员会 常务委员
江西省中医药学会络病专业委员会第三届 常务委员
中国心脏联盟心血管疾病预防与康复专业委员会江西联盟第一届 常务委员
南昌市医学会心血管病分会候任 主任委员
南昌市康复医学会心脏康复专业委员会 常务委员
南昌市脑心同治专业委员会 常务委员
专业特长:
擅长高血压、冠心病、先天性心脏病、心律失常等各种心血管疾病的诊疗。熟练掌握了复杂冠状动脉病变、疑难先天性心脏病、外周血管疾病的介入诊疗以及各类心律失常起搏及射频消融治疗。

涂颉洪
副主任医师
学术及社会任职:
江西省介入心脏病理事会 理事
江西省介入心脏病学会冠心病介入治疗委员会 委员
江西省研究型医院学会胸痛分会 委员
南昌市脑心同治专业委员会 委员
南昌市第一医院住院医师规范化培训 导师
专业特长:
擅长冠心病,高血压,心律失常,心肌病,先天性心脏病,心力衰竭等疾病的诊治,心血管急危重症的抢救,熟练掌握冠心病和结构性心脏病介入治疗,已独立完成心血管介入手术3000余例,以第一作者身份发表SCI论文1篇,北大核心期刊论文3篇,国家级期刊论文5篇,主持并完成省卫生厅课题3项。

饶堃睿
医学硕士
副主任医师
专家简介:
中国医师协会:全国“住院医师心中好老师”;
白求恩精神研究会:“全国首届白求恩精神践行者-心内科优秀医生”;
湖北省人民政府:“新时代最美逆行者”;
南昌市卫健委:“南昌市优秀医师”
学术及社会任职:
白求恩精神研究会心血管分会 理事
江西保健学会高血压病分会 委员
南昌市医学会心血管病专业委员会 委员
南昌市康复医学会心脏康复专业委员会 委员
专业特长:
高血压、冠心病、心力衰竭、心律失常等疾病诊治及相关慢性病管理;擅长血管内超声、FFR指导下冠心病精准介入治疗及心脏起搏器植入治疗。

肖冬平
医学硕士
主治医师
南昌大学医学院讲师
专家简介:
2020年在杭州邵逸夫医院进修心律失常导管技术,熟练掌握了室上性心动过速、心房颤动等各种心律失常的介入治疗。
专业特长:
复杂心律失常射频消融和起搏器植入等介入手术操作。
作者:南昌市第一医院心内科 副主任医师 饶堃睿 王 瑾
通讯员:刘峥
编辑:黄萌楣
审校:谢涛
核发:戴利红
图片:本文部分图片来源于网络,版权归原作者所有,如有侵权请联系我们删除。