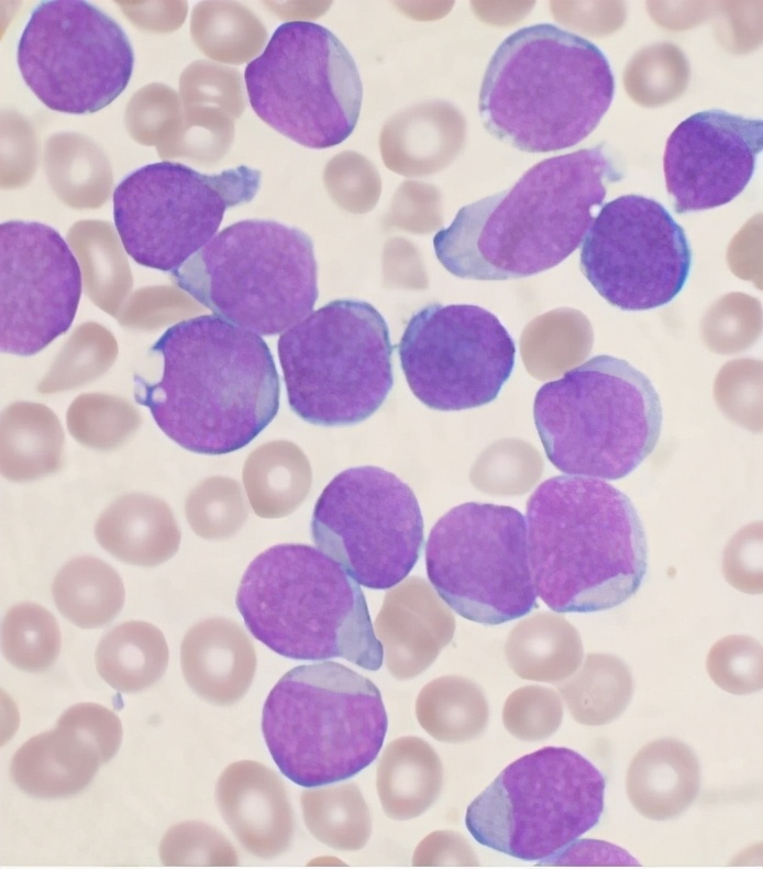
我们都知道人体血液是红色的,白血病是血液变“白”了吗?白血病的血液确实是变“白”了,但不是颜色上变成了肉眼可见的白色,而是血液出现不正常的白血球大量增生,因此称之为白血病。这些异常增加的白血球通常都尚未发育完成,因此被称为芽细胞或白血病细胞。下图为显微镜下观察到的白血病芽细胞。

这些异常芽细胞从何而来?
白血病也称血癌,通常发生于骨髓,是因为血液中的血球细胞源自骨髓,由骨髓里的造血干细胞分化而来。我们从下图的血细胞分化图可以看出,白血病则是在骨髓干细胞在分化为骨髓芽细胞继而分化为各类白血球这一环节出了问题。因此大量异常骨髓芽细胞堆积在病人骨髓,进而蔓延至患者血液内,产生疾病信号。

白血病的症状都有哪些?
白血病患者由于骨髓内异常细胞的堆积,骨髓内造血功能遭到破坏,病人会出现骨髓造血功能遭到破坏引起的症状。由于白血球会穿渗至组织,病人也有可能会出现白血球穿渗组织引起的症状。骨髓造血功能破坏引起的症状,一般有贫血、持续发烧、易感染、身体容易发生点状出血。这些症状都是由于骨髓造血功能被破坏后,导致血小板、红血球缺乏,免疫力下降,易感染。白血球穿渗组织引起的症状则有,淋巴结肿大、骨痛或关节痛、牙龈肿胀、牙龈出血、肝脾肿大、心包膜积水等。当然这些症状是确诊为白血病后患者可能会出现的临床症状,并不代表出现这些症状,就是白血病患病前兆。大家一旦察觉到身体出现异常,务必做临床检查,让医生判断,而不是根据相关疾病的文字描述,自行做判断,自己吓自己,搞不好还会闹出一些乌龙事件。

白血病的致病因素有哪些?
比较遗憾的是,对于白血病病因的精确原因至今仍未知。目前认为环境致病和遗传致病为主要病变原因。环境致病是病人因为接触了环境中可能导致骨髓干细胞内的DNA变异的致病因子,而导致白血病。这些致病因子一般有放射线(例如辐射、接受化疗等)、致癌物质(例如吸烟、化学物质苯等)等。遗传致病则是病人家族可能有白血病患病史、唐氏综合征等。
成人和儿童确诊白血病的种类相同吗?
白血病是一类疾病的统称,有多种类型,根据血液内异常白血球的类型分为淋巴细胞性和骨髓性,又可根据病程分为急性和慢性,具体分类如下表所示。其中,成年人临床确诊最常见的是AML和CML,儿童中较常见的是ALL。
|
细胞类型 |
急性 |
慢性 |
|
淋巴细胞性白血病 |
急性淋巴性白血病(ALL) |
慢性淋巴性白血病(CLL) |
|
骨髓性白血病 |
急性骨髓性白血病(AML) |
慢性骨髓性白血病(CML) |

如何治疗白血病?
白血病虽然被称为“血癌”,但是其并非绝症,用对治疗方法,白血病的临床治愈率可高达70%。
白血病的治疗手段包括化学疗法、放射线疗法、标靶治疗、骨髓移植等。化学疗法是使用药物杀死白血病细胞或者减缓白血病细胞的生长和分裂;放射线治疗是使用X光或者伽马射线削减或杀死白血病细胞;标靶治疗则是通过生物药物特定攻击白血病细胞,抑制其生长;骨髓移植是先用抗癌药物将患者体内的白血病细胞完全杀死,再将获捐赠的健康骨髓注入病人体内,让正常健康的骨髓细胞开始在体内分化正常的血球细胞。白血病的治愈率和患者的确诊类型、年龄及自身情况等多种因素有关。化疗治疗急性淋巴性白血病(ALL)的治愈率为60-70%,20岁以下的青少年儿童患者5年生存率可达到89%,而20岁及以上的成年患者5年生存率约35%。急性骨髓性白血病(AML)患者接受治疗后,20岁以下的青少年儿童患者5年生存率可达到67%,而20岁及以上的成年患者5年生存率约24%。骨髓移植治疗可提高AML患者的治愈率。慢性淋巴性白血病(CLL)常见于西方国家,慢性骨髓性白血病(CML)常见于亚洲国家。相对于急性白血病而言,慢性白血病的病情发展缓慢,在没有骨髓移植的情况下,慢性白血病患者仍可多生存3-5年。

白血病是否会遗传?
理论上来说,白血病一般不会遗传,临床上大部分确诊病例都是发生在没有任何白血病家族病史的患者身上。当然,也有部分病例显示家族中有确诊的*亲近**有可能会患上同一类型的白血病。但是由于白血病的发病成因至今尚未查明,因此不能明确下定论,白血病确诊后会遗传给后代。同样,*亲近**确诊同一类型白血病,也不排除生活环境类似导致确诊的可能性。

如何照顾身边的白血病患者?
一般接受化疗的白血病患者很容易出现口腔问题,例如口腔粘膜溃疡,因血小板下降出现的口腔、胃肠道、皮肤出血等。因此照顾者需要注意用生理盐水或者有止痛功能的漱口水帮助患者漱口。同时,由于白血病患者接受治疗后的身体免疫力下降,照顾者需要特别注意患者周围环境卫生,尽量避免患者出入公共场所,出门时提醒患者需佩戴口罩。最后,照顾者要时刻注意患者是否定时服药及定期检查。
参考资料:
[1]艾辉胜,罗荣城,乐晓峰. 现代白血病学[M]. 北京:人民军医出版社,1997:41-58.
[2]马迎春,董晓静,唐菊英等. 社会支持与白血病患者生活质量的相关性研究[J]. 中华现代护理杂志, 2009, 04, 313-315.
[3]Bowtie.【白血病】了解不同种类血癌、初期症状及治愈率![EB/OL]. [2020-12-15]. https://www.bowtie.com.hk/blog/zh/白血病-血癌/.
[4]香港癌症基金会. 急性白血病的治疗[EB/OL]. [2017-04]. https://www.cancer-fund.org/wp-content/uploads/2017/04/Leukaemia-Pdf-2015C.pdf