这几天在追剧《急诊科医生》,作为一名医生,想起里面的一个情节,有一批车祸的病人,其中有一个开始的时候被车祸撞晕了,醒来以后看起来特别清醒,还忙前忙后,我的男神(张嘉译)叫患者去检查,患者还不愿意,说我没事,好的很,谁知话还没说完,患者就晕倒了。当时作为代教老师,男神叮嘱他的下级医师,以后遇到车祸,越是这种病人,看起来很兴奋的,越是要小心。果然,后来这位患者是这批车祸里最严重的。

杨大夫回想自己多年从业生涯中,碰到这种类似的病人还真不少。有一个印象最深的,是一位农村来的老大爷,从田埂上摔了下来,当时就昏迷在田里,被人发现后送到医院。当时急诊CT并未发现什么异常,但于是在CT报告单上注明注意复查,孩子出于慎重,当时就问医生,这是什么意思,值班医师说,复查是为了预防迟发性出血。听了医师的话,孩子原本想住院的,可是无奈老人家死活不同意,一会说家里的鸡鸭还没喂,一会说在医院睡不习惯。最后干脆说是医师想要挣钱,才这么说的,是吓唬人的,不能信。(家有老人的一般都会出现这种情况,叫他们去医院,哪怕是体检都得说下半天口舌。)把当时值班医师气的呀,血压瞬间飙升到200。于是孩子们只好作罢。结果,过了几天,老人家因昏迷再次入院,急诊CT,发现大片的硬膜外出血,已经出现了脑疝,这时医师也是回天乏力。

那么,为什么会出现这种现象呢?遇到这种情况,广大读者需要注意些什么呢?
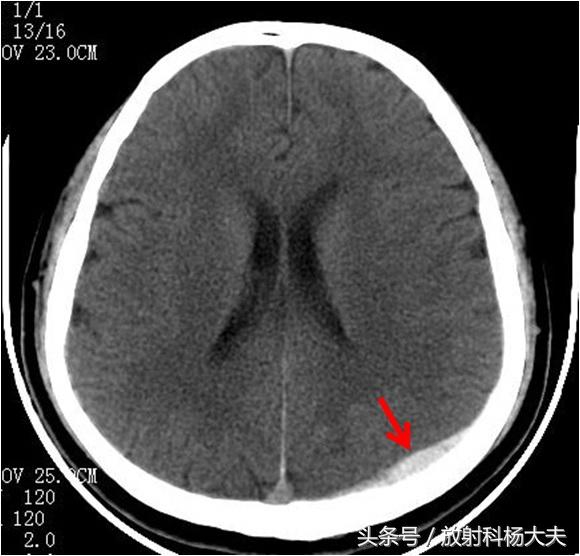
依据血肿形成时间, 将颅内血肿分为急性颅内血肿和迟发性外伤性颅内血肿。迟发性外伤性颅内血肿是指颅脑损伤后首次头颅CT检查未发现颅内血肿,复查头颅CT检查发现出现颅内血肿;或首次头颅CT检查发现颅内血肿, 复查头颅CT检查发现颅内其他部位又出现颅内血肿,或在清除颅内血肿后又于颅内其他部位出现血肿,或原有出血部位出血较前增多,是颅脑损伤常见继发性损害。迟发性血肿以硬膜外血肿较常见,其次为硬膜下。其中男性较为常见。多数患者有意识障碍或清醒后再次转入昏迷。迟发性血肿以额颞部较为常见。迟发性血肿的三个重要症状是入院时一般症状较轻、意识障碍进行性加重、逐渐出现局限性神经症状。

那么他们是怎么发生的呢?迟发性外伤性颅内血肿发生机制与下列因素有关:原发性血管损伤、继发血管损伤、填塞效应减低或解除、继发性纤溶亢进导致迟发性外伤性颅内血肿的发生、血管内外压力差的改变、颅骨骨折引起板障出血导致迟发性外伤性颅内血肿。
CT扫描是诊断外伤性血肿的主要手段。对于易发生迟发性颅内血肿的脑挫裂伤和外伤性蛛网膜下腔出血的高危患者最好能在重症监护病房进行生命体征的监测,并常规于住院后内行头颅复查以便及早发现并治疗迟发性血肿。对于那些外伤后活蹦乱跳的患者,特别是特别兴奋的患者,尤其要提高警惕,预防迟发性外伤性出血的可能。记住,有一种爱叫迟来的爱,有一种出血叫迟发性出血。
(文 林燕)
(“放射科杨大夫”为*今条头日**签约作者,本文首发*今条头日**。同时欢迎在悟空问答里关注 “放射科杨大夫”,那里有杨大夫对各种健康问题的精彩回答。)