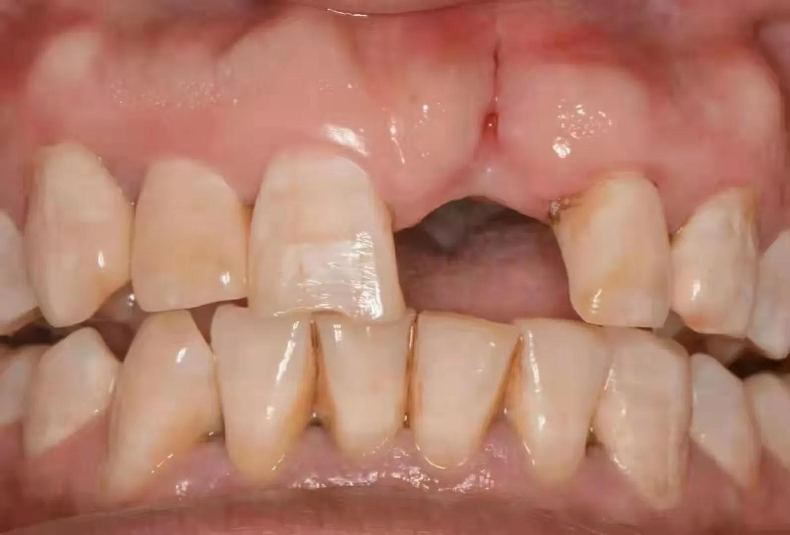
我门牙缺了一颗,一直想去做种植,去了我们小区的牙科诊所,说明我的想法,医生给我做了一系列的检查,医生检查后发现我的骨量不足,需要植骨,但有失败的风险,可我还是想试试,很遗憾,先后2次植骨都失败了。种植是不能做了。
这倒没啥,因为医生术前交代,植骨存在失败的可能性。我很烦心,想做固定义齿还不想磨自己的牙,活动义齿还不喜欢摘戴,我给发信息医生说“不磨牙,能不能镶固定的?”医生回复的建议是粘接桥。什么是粘接桥的,我也不知道,带着好奇心,按照约定的时间去看医生。
到了诊所,我好奇地问道:“粘接桥为什么适合我?”医生用了几句话就简单解释了一下:“不磨牙,少磨牙,无痛苦,固定修复。而且可以做全瓷修复,操作简单。听起来真不错!

图片来源网络,如需要联系删除

图片来源网络,如需要联系删除

图片来源网络,如需要联系删除
回到家我又查询了资料,原来粘接桥假牙优点是适合小范围的牙齿缺失,一到二颗牙的缺失都可以通过粘接桥来进行一个修复,是牙科临床上的一个重要应用。
我还是选择了粘接桥,要是你们,该怎么选呢?