每年新发儿童癫痫病例约3万多人,大约25%的病例为药物治疗效果不佳,给患童的父母造成巨大的压力。对于难治性癫痫,神经影像学对于准确定位可能的手术切除癫痫灶,以治愈病人非常关键。但不是所有的儿童癫痫的基础性病变在常规磁共振成像上均可以显示。神经影像学新进展,例如扩散张量成像,PET-MR融合图像,磁源成像大大提高了病变的检出和定位诊断。
本文回顾了儿童癫痫的最新影像学检查方法及其在显示不同病变方面的限度,包括局部皮质发育不良,结节硬化,一侧巨脑、内侧颞叶硬化,肿瘤,脑炎,围生期脑梗死和sturge-weber综合征。
影像学检查方法——
儿童癫痫病人的影像学检查遇到一个特殊情况是,小孩不能长时间配合。运动伪影大大降低了儿童癫痫病人细微异常的检出效果。理想情况下,可以通过影音文件,儿童喜欢的环境分散注意力,有时候需要制动,但是,也有不少病例需要药物。
常规磁共振检查包括横断反转恢复T1WI、T2WI和FLAIR图像,冠状快速梯度回波图像和T2WI、FLAIR图像,以及矢状T1WI图像,出了冠状快速梯度回波序列图像采用层厚1.8mm外,所有图像均建议采用3mm层厚,如果常规磁共振不能发现癫痫灶的时候,进行扩散张量成像、MR-PET融合图像,磁源成像进行进一步检查。
扩散张量成像是一种利用水分子扩散各向异性来反映微观结构的成像技术。白质的水分子在神经纤维束平行方向扩散程度大,而在其它方向上扩散程度小,根据该特点可以显示神经纤维束信息。在扩散张量图像上,每一个体素给予不同的颜色,反映水分子在横断、矢状和冠状方向上主要的弥散方向。常规情况下,蓝色代表着上下扩散方向,绿色代表的是前后扩散方向,红色代表的是左右扩散方向。另外,扩散张量图像可以显示为三维图像,一般称为纤维示踪图。也可以根据扩散张量成像中各向异性的差异来鉴别正常的组织和病变组织。
MR-PET融合图像通过软件配合MR图像和PET图像来实现。两组数据独立采集,但是病人摆位上需要类似,以便于图像配准。该技术可以直接关联MR发现的结构上的异常与PET发现的代谢异常。在发作间期,代谢异常的区域表现为低代谢,而在发作期,病变表现为高代谢。很多在常规磁共振上容易忽略的轻微异常,在融合图像上表现更加突出。
磁源成像是包含空间信息的脑磁图与磁共振图像进行空间配准后获得的图像。它所能提供的癫痫灶定位信息比常规脑磁图精确。和脑电图不同,脑磁图有助于监测神经活动时细胞内电流引起的磁场效应,而不是细胞外电流的信息。根据获得的磁场信息,在适当的假设下,计算出具有神经活动的脑区是可能的。借助磁共振成像提供的解剖图像,实现脑磁图的配准,就获得了磁源成像。磁源成像和MR-PET融合图像一样,能够检出很多轻微的异常,这些异常在常规磁共振上很容易被忽略。
局部皮质发育不良
局部皮质发育不良是皮质发育异常的一种亚型。和pachygyria,多微脑回畸形、半侧巨脑畸形等皮质发育异常不同,局部皮质发育不良没有弥漫性的脑回异常,而是轻微的局部改变,有时候仅仅存在显微结构的异常。与其它皮质发育异常相似,局部皮质发育不良也是皮质发育期间的遗传性因素,缺血性病变,毒性损伤,或者感染引起的继发性改变。局部皮质发育不良性癫痫常常高度抗药,与此类病变固有的知癫痫性有关。局部皮质发育不良是儿童难治性癫痫最常见的病因,约占3岁以下儿童手术治疗病例的80%。
皮质发育不良的Palmini分类系统
类型 描述
轻度皮质发育不良
Ⅰ型 发生于皮层1层的或者邻近的异位神经元
Ⅱ型 皮层1层以外的镜下神经元异位
局部皮质发育不良
Ⅰ型 皮层层次扭曲,但是没有异形的神经元
ⅠA 皮层单层的结构异常
ⅠB 皮层结构异常,可见巨型或者不成熟(但是没有异形性)的神经元
Ⅱ型
ⅡA 皮层结构紊乱,可见异形神经元,但是没有气球样细胞
ⅡB 皮层结构紊乱,可见异形细胞和气球样细胞
皮质发育不良的病理学分型由Palmini提出,(如上)
局部皮质发育不良主要分为两种类型。在Ⅰ型中,与正常皮层相比,可见皮层分层紊乱(图1c)。在Ⅱ型中,出了皮层分层紊乱,尚可见异形神经元。如果发现气球样细胞和皮层层次紊乱、异形神经元,则属于ⅡB类型,与Taylor首次报道的局部皮质发育不良非常像(图2c)。有趣的是,ⅡB型局部皮质发育不良的气球样细胞同时具有神经元和星形细胞的形态学和免疫组化特征,提示为神经胶质分化异常。该类细胞也类似于结节硬化时发现的细胞,提示局部皮质发育不良可能是顿挫型的结节硬化。
(图1 3岁男孩的Ⅰ型局部皮质发育不良。)

图1a冠状T2WI显示左侧颞极白质非常轻微的T2高信号区(箭)。

图1b 冠状MR-PET融合图像显示左侧颞叶前部的局部低代谢区。

图1c 具有类似影像学表现的Ⅰ型局部皮质发育不良病人。显微镜下(神经纤维染色)可见箭所示为灰白质交界区的异常神经元,符合Ⅰ型局部皮质发育不良表现
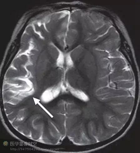
图2 a b 3岁男孩Ⅱ型局部皮质发育不良。

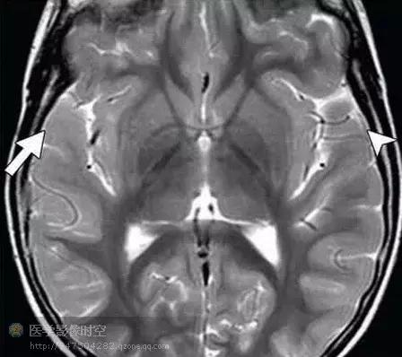
图2a横断T2WI显示局部灰白质交界区模糊(箭头所示)及右侧额下回异常T2高信号影(箭)。

图2b横断MR-PET融合图像显示局部低代谢(箭)。病理学检查显示ⅡB型局部皮质发育不良。

图2c另一例Ⅱ型局部皮质发育不良病人。显微镜下(HE染色)显示皮层的异形神经元(黑箭)和气球样细胞(白箭),符合ⅡB型局部皮质发育不良。
临床检查中,轻度皮质发育不良,或者Ⅰ型局部皮质发育不良可以具有,也可以不具癫痫症状。有时候这些病人可以完全没有症状,或者学习功能异常。但是由于该诊断往往是回顾性诊断,病人的临床资料和癫痫病史不全。大多数Ⅱ型局部皮质发育不良病人具有难治性癫痫。不论基础病变是什么,那些术前磁共振能够观察到病变的病人术后的预后要偏好,好于那些磁共振成像不能显示病变的病人。
目前的影像学检查方法,包括磁共振成像,磁源成像,或者PET尚不能可靠的鉴别轻度皮质发育不良,局部皮质发育不良Ⅰ型和Ⅱ型(图1-6)。但是,如果发现皮层下T2高信号,尤其是延伸到侧脑室,常常是ⅡB型(图2)。目前认为T2高信号是髓鞘化程度低造成的,而非气球样细胞所致。其它的局部皮质发育不良的典型磁共振成像表现包括局部皮质增厚,灰白质界限模糊,灰质高信号(图6)。
局部皮质发育不良的影像学表现可以非常轻微,仅靠磁共振成像容易漏诊。MR-PET融合图像和磁源成像有助于定位磁共振成像所见的轻微结构异常和异常信号。发作间期PET检查可以显示局部皮质发育不良累及皮层区显示为低代谢(图1,3-5)。发作间期磁源成像显示局部皮质发育不良的脑皮层癫痫样放电灶(图3a,4b)
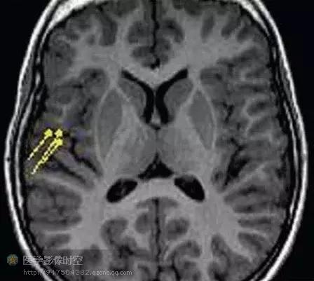
图3 8岁男孩Ⅰ型局部皮质发育不良

图3a横断磁源成像显示右侧颞前极癫痫样活动

图3b发作间期MR-PET融合图像显示右侧颞叶前部低代谢区。

图3c 回顾性分析发现,T2WI图像上,受累部位与对侧相比,显示轻微的白质T2高信号(箭)。病理学检查显示为ⅠB型局部皮质发育不良。
图4儿童难治性癫痫,为Ⅰ型局部皮质发育不良。

图4a横断T2WI没有显示明显的异常。

图4b 横断T1WI磁源成像显示右侧额叶后部中线旁癫痫灶。

图4c HE染色病理学切片显示灰白质交界区异位的神经元(箭),没有异形神经元的证据,符合Ⅰ型局部皮质发育不良的影像学表现。
图5 10月男孩,先天性癫痫,Ⅱ型局部皮质发育不良。

图5a 横断T2WI显示右顶叶灰质局部皮层增厚(箭)

图5b横断T1WI显示灰白质交界区模糊(箭)

图5c横断扩散张量成像显示胼胝体膝部窄小(箭),提示髓鞘化程度低。

图5d发作间期MR-PET融合图像显示大片低代谢区(箭)。病理学检查显示ⅡA型局部皮质发育不良。
图6 局部皮质发育不良

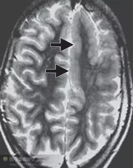
图6a横断T2WI显示灰质增厚(箭)

图6b冠状T2WI显示灰白质交界区模糊(箭).


图6c d横断T2WI显示灰质高信号(图c)和白质高信号(图d)
结节硬化
结节硬化是常染色体显性遗传病,具有多器官错构瘤。发生率为1/6000-12000。临床检查中,结节硬化的特征是面部血管瘤,智力低下,癫痫三联症。90%的结节硬化病人具有癫痫。相对部分病人具有抗药性。结节硬化累及中枢神经系统的典型表现是皮层结节,室管膜下结节和室管膜下巨细胞性星形细胞瘤。一般癫痫灶与结节和结节邻近的脑皮层有关。磁共振成像上容易识别皮层结节,根据髓鞘化程度显示为不同程度的的T1WI和T2WI信号异常。在新生儿,结节显示为皮层下T1WI高信号和T2WI低信号,6月龄以后,表现则正好反过来。
结节硬化病人伴发难治性癫痫的病人常常具有多发结节。因此准确识别引起癫痫活动的结节非常重要。单靠磁共振成像成像难以完成该工作。联合应用磁共振成像和脑电图数据,进行相关分析,有时候可以找到病变位置。最近,MR-PET融合图像和磁源成像能够提供结节硬化相关性癫痫灶的定位。发作间期MR-PET融合图像上具有癫痫活动的结节硬化病变显示为低代谢区,范围大于相关的磁共振成像信号异常区(例如年龄大于6月儿童的T2WI高信号区)(图7)
图7 继发于左侧颞叶前极的结节硬化结节的难治性癫痫

图7a横断FLAIR图像图像显示多发的皮层和皮层下结节(箭头)

图7b横断发作间期MR-PET融合图像显示左侧颞极大的低代谢区(箭)。术中脑皮层电图显示弥漫性代谢减低区,提示癫痫灶。 发作间期磁源成像可以通过配准癫痫样放电与磁共振成像解剖图像方法显示癫痫性结节。
图8 继发于右顶叶后内面的结节硬化结节的难治性癫痫。

图8a横断FLAIR图像图像显示多发的皮层和皮层下结节(箭)

图8b横断发作间期MR-PET图像显示多发的低代谢区,与结节硬化结节吻合。没有发现与FLAIR图像上局部结节不成比例的低代谢区。

图8c横断发作间期磁源成像显示继发于右后顶叶结节的癫痫样活动。
一侧巨脑症
一侧巨脑症是一种严重的罕见皮层发育不良,Sims于1835年首次报道。可以单独发生,也可以伴发于多种综合症,包括神经纤维瘤病Ⅰ型,结节硬化,表皮痣综合征,黑色素过少症。病理学特征是一侧大脑半球部分或者全部错构瘤样过度生长,目前认为是不明原因引起的增殖和分化异常。临床上主要表现为严重的抗药性癫痫。其它的常见表现包括巨颅、智力低下、一侧运动功能不全、一侧偏盲,提示受累皮层无功能。建议早期一侧大脑切除,或者一侧大脑切除。
一侧巨脑症具有典型的磁共振成像特征。最显著的特征是单侧皮层增厚,累及部分或者全部大脑半球。受累大脑半球也显示继发于髓鞘化过度的单侧白质改变,这取决于具体的髓鞘化程度。也可以单侧基底节和嗅束的错构瘤样受累。另外,也常见单侧侧脑室增大。神经影像学新技术例如扩散张量成像和MR-PET融合图像也可以提供更多的认识。扩散张量成像和纤维示踪图提示异常的大脑半球过度髓鞘化,表现为局部的水分子扩散的各向异性不对称性升高(图9b,c)。发作期MR-PET融合图像可以清晰显示受累大脑半球的不对称性高代谢区。
图9 难治性癫痫病人的右侧的一侧性巨脑症。

图9a横断T2WI显示巨脑回和右侧皮层增厚(箭头)以及异常的邻近白质低信号(箭)

图9b横断扩散张量成像显示右侧前额叶髓鞘化程度过高(箭),与异常的T2WI高信号相对应。

图9c纤维示踪图显示右侧大脑半球较多侧神经纤维束更多。

图9d横断发作期MR-PET融合图像显示右侧额叶在癫痫发作期间为高代谢区(箭)
颞叶内侧硬化
颞叶内侧硬化是一种最常见的青少年癫痫病因。病理学上,特征是海马神经元丢失,胶质增生,也可以累及单侧穹窿和乳头体。临床上,病人常常具有皮质病变病史,例如颅内感染,外伤,或者5岁以前发生复杂性高热癫痫。初次治疗足以控制症状,部分病人实际上不需要治疗就可以痊愈。当癫痫复发的时候,常常为难治性。颞叶内侧硬化病人准确诊断受益最大,手术治疗具有90%的治愈率。
颞叶内侧硬化的诊断基于临床、脑电图和影像学检查。典型的磁共振成像特征包括T1WI上海马萎缩,T2WI上颞叶内侧高信号。然而,PET进行功能成像对海马硬化的敏感性更高,通常显示为高代谢区,大于海马范围。尤其是采用MR-PET融合图像时观察的效果更好。
图10 右侧海马硬化,颞肌呈现ⅠA型改变的15岁难治性癫痫男孩。图像质量受病人躁动影响欠佳。

图10a冠状T2WI显示右侧海马为T2高信号(箭)

图10b a稍后一点的冠状T2WI,右侧颞极白质(箭)与左侧正常脑白质(箭头)信号相比,呈现T2高信号。

图10c 冠状MR-PET融合图像显示右侧颞极低代谢活性。
肿瘤
儿童中枢神经系统肿瘤临床表现常常是癫痫。虽然任何类型的肿瘤都可以方式儿童癫痫,但是一些肿瘤与这一临床表现的联系具有特征性。此类肿瘤具有一些相似的临床病理学特征,称为癫痫相关发育性肿瘤,包括神经节神经胶质瘤,神经节细胞瘤,促结缔组织增生性婴儿期神经节神经胶质瘤,胚胎发育不良性神经上皮组织肿瘤和多形性黄色瘤样星形细胞瘤。癫痫相关发育性肿瘤均包含不同数量的胶质成分和神经元成分,生物学行为一般为良性,增生指数低,生长缓慢,正常组织与异常组织之间分界清楚,水肿很轻或者没有。少部分肿瘤可以发生恶性变。临床上更常见于儿童和青年人可以伴发局部皮质发育不良。一些研究者提出局部皮质发育不良与此类肿瘤来自于相同的细胞,实际上肿瘤可能是起自与发育不良的组织。
另外,这些发育性肿瘤的致癫痫性可能与局部皮质发育不良类似,与异形性神经元有关。这些肿瘤的影像学特征比较像。在磁共振成像上,病变位于皮质,T1WI表现为低或者低信号,T2WI表现为高信号。T2高信号高信号不一定代表囊性变。典型情况下,很少或者没有水肿。增强检查常见强化,但也不一定均出现(图11)。治疗方法为手术治疗。
图11 左颞叶神经节神经胶质瘤和局部皮质发育不良。

图11a冠状增强T1WI显示皮层病变,位于左侧颞前极,可见不强化的实性成分(箭)及囊性成分(箭头)。

图11b冠状T2WI显示局部T2高信号(箭头)包绕病变(箭)病理学证实为局部皮质发育不良并神经节神经胶质瘤。神经节神经胶质瘤周围水肿罕见。
下丘脑错构瘤
下丘脑错构瘤是另一种儿童肿瘤。与痴笑性癫痫具有特征性联系。向第三脑室延伸的下丘脑内错构瘤与早期癫痫具有相关关系,而不累及第三脑室延伸的下丘脑旁错构瘤,与性早熟的关系更密切。磁共振成像上,这些病变表现为轻度T1低信号和轻度T2高信号。典型情况下,增强检查没有强化。致癫痫性错构瘤均累及乳头体,90%的病例也累及灰结节。首选治疗方法为抗癫痫药物和激素抑制治疗。但是不少病例演变成难治性癫痫,需要手术或者放疗治疗。(图12)
图12 7岁女孩痴笑性癫痫,下丘脑错构瘤

图12a横断T2WI显示下丘脑轻度高信号肿块(箭)

图12b矢状增强T1WI显示下丘脑肿块没有强化,与灰结节难以区分。
Rasmussen脑炎
Rasmussen脑炎是罕见的儿童期综合症,特征是药物难治性局部性癫痫,局限性多灶性神经症状,包括半身不遂和认知功能损害。病理学证实为不明原因的慢性进行性单侧脑炎,引起进行性皮质萎缩。因此,出现临床症状的时候,建议早期进行功能性或者解剖性半侧大脑切除术,控制癫痫,预防进一步的认知功能损害,或者预防炎性病变范围扩展到对侧大脑半球。
对于诊断Rasmussen脑炎,临床病史和典型的影像学表现都是必需的。最常见的影像学表现为一侧大脑皮质进行性萎缩。在病变的早期,萎缩表现为FLAIR图像上进行性的一侧T2高信号。发作间期MR-PET融合图像有助于定位癫痫灶,显示为低代谢区显示磁共振成像未能显示的异常区域。(图13)
图13 7岁男孩Rasmussen脑炎,癫痫。

图13a横断T2WI显示右侧颞叶和岛叶随时间变化进行性萎缩(箭)

图13b冠状发作间期MR-PET融合图像显示右侧颞叶弥漫性低代谢区。
围产期脑梗死
围产期缺血性脑梗死是指出生前后发生的脑血管病,有局部动脉性脑梗死的病理学或者影像学证据。随着临床医师的认识提供,神经影像学新进展,该病的诊断越来越多。据目前估计,其发生率接近成人大血管缺血性脑梗死发生率。临床表现常常是没有其它脑病体征的癫痫发作。轻瘫和发育障碍是其它临床体征,但是出生后数月才能进行临床评价,因此往往不能及时诊断。围生期脑梗死的影像学特征与成年型脑中风相同,演变特征也类似,取决于脑中风发作与影像学检查之间的时间间隔。(图14)
图14 5岁男孩,癫痫,围生期左侧大脑中动脉脑梗死。

图14a 横断T2WI显示左侧大脑中动脉供血区脑软化灶(箭)

图14b发作间期横断MR-PET融合图像显示相应大脑中动脉供血区和左侧丘脑继发于失传导性低代谢区
Sturge-Weber综合症
Sturge-Weber综合症,也称为颅面部血管瘤病,是一种罕见的神经皮肤病。临床表现为癫痫,进行性智力低下,沿三叉神经分支分布的面部毛细血管扩张性痣。目前认为病生理学上与继发于广泛的大脑皮层、脑膜血管瘤样畸形有关的窃血效应有关。大约75~90%的颅面部血管瘤病病人具有癫痫症状。大约40%的病人可以通过药物控制癫痫。颅面部血管瘤病难治性癫痫的手术治疗方案可以是局部皮层切除,也可以是解剖性或者是功能性一侧大脑半球切除术,具体情况取决于血管畸形的范围。
颅面部血管瘤病的CT表现包括
a,颅内致密的脑回状钙化,常常累及顶枕叶皮层或者脉络丛
b,浅部或者深部白质的弥漫性高密度,可能是微钙化造成
c,静脉注射对比剂后脑回状强化,提示柔脑膜血管瘤病,
d,继发于柔脑膜血管瘤对邻近脑回的窃血效应而发生的脑萎缩
e,颅盖骨增厚,是脑内容物减少的间接征象。
磁共振成像是颅面部血管瘤病诊断金标准。最重要的征象是钆对比剂增强检查时柔脑膜强化(图15)。T1WI上,也可以见到单侧脉络丛的增大和异常强化。T2WI可以显示与慢性缺血相关的胶质增生和脑萎缩。GRE序列对于钙化更加敏感。
图15颅面部血管瘤病

图15a平扫CT显示左侧顶叶皮层下白质和灰质钙化(箭头)

图15b横断增强T1WI图像显示左侧颞枕叶柔脑膜强化(箭)
虽然神经影像学新进展不断提高难治性儿童癫痫病人的诊断和治疗水平,但是在临床上仍然是非常具有挑战性的难题。联合应用多种神经影像学新技术,包括常规磁共振成像、扩散张量成像、MR-PET融合图像和磁源成像在无创性定位癫痫灶,指导手术切除方面非常重要。
来源:医学影像服务中心
【版权声明】本平台属公益学习平台,转载系出于传递更多学习信息之目的,且已标明作者和出处,如不希望被传播的老师可与我们联系删除