
医脉通编译整理,未经授权请勿转载。
导读
结肠镜检查引起的胰腺炎是一种非常少见的情况,有时容易漏诊,延误诊治。本文患者于门诊行结肠镜检查后出现腹痛,经检查发现脂肪酶升高,CT扫描也提示胰腺炎。具体什么情况?咱们一起去看看吧!
病例简介
患者女,53岁,为随访监测息肉,常规行结肠镜检查。患者有胃食管反流、血脂异常和髋关节滑囊炎病史,2年前因胆结石行腹腔镜胆囊切除术。患者不吸烟,很少饮酒,也没有药物过敏史,3年前开始常规服用埃索美拉唑和阿托伐他汀。
在进行结肠镜检查前,患者接受了咪达唑仑、异丙酚和阿芬太尼的预处理。医生未进行腹部深部触诊,术中操作并不困难。在先前横结肠息肉切除部位发现疤痕,无息肉残留。采用冷圈套器切除直径2 mm的升结肠息肉,没有使用电凝止血。
急性胰腺炎发作
术后2小时,患者出现急性腹痛,并伴有广泛性绞痛。第2天,患者疼痛持续,在出现恶心、呕吐症状后被送往我院急诊科。体检发现患者基本生命体征正常,上腹部柔软,无腹膜炎征象,胃肠胀气很轻微,但无法排便。
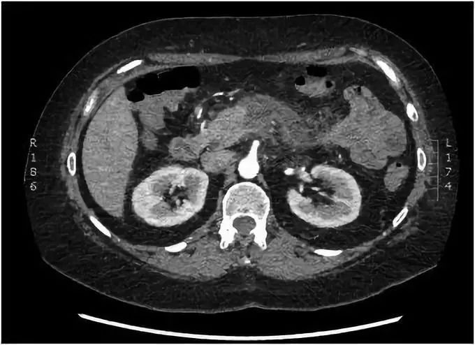
实验室检查显示,白细胞计数为13.65×109 /L(正常4-11×109 /L),C反应蛋白为67 mg/L(正常<5 mg/L),脂肪酶为809 U/L(正常20-210 U/L)。血红蛋白、肝功、钙和血脂均在正常范围。腹部CT扫描显示胰腺体炎症,胰周绞合,周围少量液体积聚,符合急性胰腺炎表现(图1)。同时,没有发现胆总管结石以及扩张,也没有气腹迹象。胰腺未见任何解剖结构上的异常。

图1 腹部CT提示胰腺周围有明显的炎性绞合,与胰腺炎表现一致
治疗方法
采取肠道休息疗法,开通静脉通道,给予止吐、镇痛和预防性抗生素用药。患者在住院期间,出现发烧和肠梗阻,C反应蛋白一度增加到270 mg/L。根据最新意见,以上症状符合“重症胰腺炎”的严重程度评分。
随后患者行CT复查,未发现任何胰腺坏死、假性囊肿、假性动脉瘤或积液的征象。在接下来的1周,患者临床和生化表现改善,饮食逐渐恢复正常,情况稳定,遂出院。
发病机制
结肠镜检查是一种非常常见的结肠疾病诊疗方法,大家公认的并发症包括穿孔、出血、息肉切除后综合征以及与镇静和镇痛相关的副作用。不过,继发于结肠镜检查后的胰腺炎比较少见。文献记载的大多都是既往有胰腺炎病史、重大危险因素或结肠镜检查困难的患者。
这种情况下胰腺炎的发病机制尚不清楚,但有内镜移动引起胰腺体尾机械性损伤的假说。此外,由于气体注入引起的肠道膨胀也可能对胰腺造成压力。同样,外部压力作用于腹部也可能造成局部创伤和炎症反应。另外一种可能的解释是,息肉切除过程中的电凝操作可以导致结肠烧伤,从而刺激胰腺。
总结
结肠镜检查后腹痛是一种比较常见的症状。在鉴别诊断排除常见的并发症后,应考虑到胰腺炎。意识到这种并发症的可能性,有助于我们早期诊断和治疗。
医脉通编译整理自:M Masood Sidiqi, BillGong. Acute pancreatitis as a complication of routine colonoscopy—A rare case report. International Journal of Surgery Case Reports. Volume 57, 2019, Pages 81-83