
推荐语
青年男性近一年来间断咳嗽咳痰,细菌?真菌?支原体?还是曾患过的结核复发了?患者从事污水处理工作,难道是过敏性肺炎?
调整抗生素、转院、完善辅助检查等一系列措施后,患者的左肺炎症有所好转,但肺部弥漫性病变较前变化不大……双肺弥漫性病变是因何出现的?左肺炎症与肺部弥漫性病变又有何关系?是否还需进一步完善检查及治疗方向?
刘某某,男,29岁,汉族,未婚,职员,河北省邢台市人。间断咳嗽、咳痰1年,加重伴气短2天于2018-01-19 10:00入院。
现病史
患者缘于1年前无明显诱因出现咳嗽、咳痰,多为白痰,量不多,不易咳出,无发热、胸闷等不适,曾就诊于我院,查胸部CT示:两肺弥漫性病变,建议患者住院治疗,患者未住院,且未予特殊治疗。此后上述症状间断发作,自服对症止咳化痰药物治疗(具体不详)可稍好转。2天前患者无明显诱因出现咳嗽、咳痰加重,痰量不多,为黄白色,伴气短,无发热、胸痛、胸闷等不适,就诊于当地医院,查胸部CT示:左肺肺炎及双肺弥漫性病变,现为求进一步治疗入院。
既往史
既往肺结核病史2年余,自诉已治愈;否认高血压、冠心病、糖尿病及高脂血症病史;否认肝炎等传染病史;否认消化性溃疡病史;否认手术、外伤及输血史;否认食物及药物过敏史。
个人史
生于原籍,久居当地,未到过疫区、牧区,无禽类接触史,无烟酒不良嗜好,无性病冶游史。污水处理工作。
婚育史
未婚。
家族史
父母体健。家族中无其他遗传病、传染病及类似疾病。
查体
T 36.6℃,P 80次/分,R 20次/分,BP 118/72mmHg。
神清语利,全身皮肤黏膜无黄染、出血点,浅表淋巴结未触及肿大,咽无充血,扁桃体无肿大,双肺呼吸音粗,两肺未闻及干、湿性啰音,心率80次/分,律齐,各瓣膜听诊区未闻及杂音,腹软,无压痛、反跳痛及肌紧张,肝脾肋下未触及,双下肢无水肿。
辅助检查
胸部CT (2018-1-16,当地医院):左肺肺炎及两肺弥漫性病变(未见报告单)。
血常规(2018-1-19 我院门诊):WBC 8.8*10^9/L,N% 65.75%。
血气分析(2018-1-19,入院):PH 7.43,PCO2 35mmHg,PO2 72mmHg,Na+ 138mmol/L,K+ 3.8mmol/L(未吸氧)。
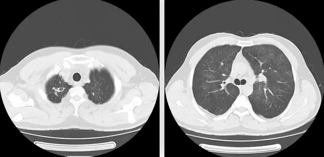
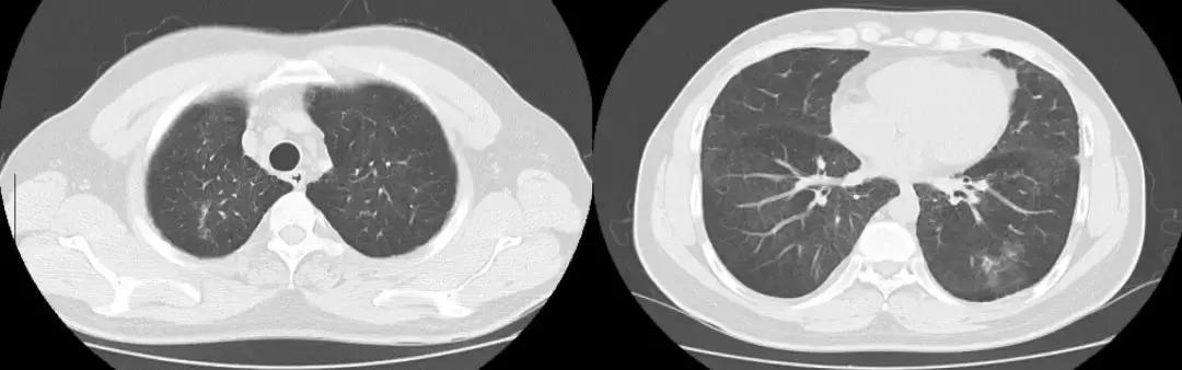
胸部CT(2017-7-31 我院门诊):两肺野弥漫磨玻璃影,性质待定;两肺上叶陈旧性病变。(如下图)




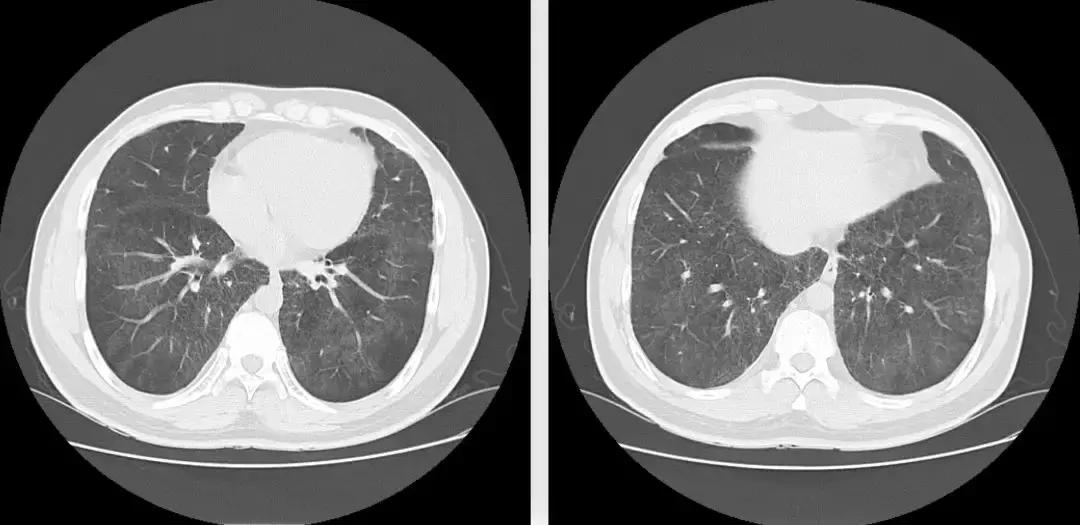
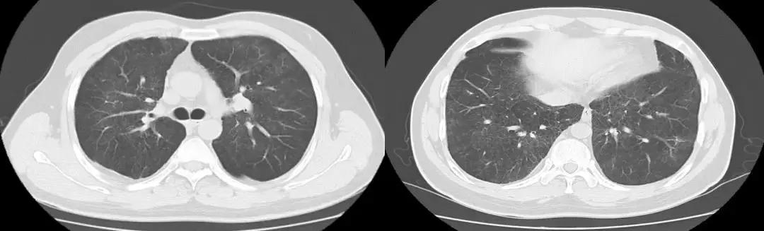
胸部CT(2018-1-18 我院门诊):两肺野弥漫磨玻璃影,较前变化不明显;新增左肺下叶基底段片状密度增高影,建议治疗后复查;两肺上叶陈旧性病变:

初步诊断:
1、左肺肺炎
2、双肺弥漫性病变
3、陈旧性肺结核
讨论
1、病原菌:细菌?真菌?支原体?结核?
2、双肺弥漫性病变原因:过敏?间质?
3、追问患者病史及工作、生活环境
治疗:注射用头孢孟多酯钠抗感染;溴己新化痰;脾多肽调节免疫力;吸入用乙酰半胱氨酸溶液雾化。
入院后
血常规:WBC 9.1×10^9/L,N 69.66%,HGB 176g/L,PLT 243×10^9/L;
尿常规、便常规、凝血常规、术前四项、生化全项、结核分枝杆菌抗体、呼吸道病原体抗体、过敏原:均未见异常;
PCT<0.1ng/mL,CRP 46.8mg/L,血沉 44mm/h;
自身抗体、ANCA、风湿四项:抗环瓜氨酸肽抗体(抗CCP抗体):弱阳性,余阴性;
G试验、GM试验:均阴性;
痰细菌、真菌、结核菌涂片(2018-1-20、2018-1-21):均阴性;
2018-01-22行支气管镜检查:示两侧支气管粘膜充血明显,可见少量白色分泌物,充分吸引;于左下叶生理盐水20ml灌洗2次,回吸收均约10余ml;左上叶、左下叶刷检,刷片共6张。(气管镜报告如下图)。
细菌、结核菌、真菌涂片:均阴性。
灌洗液培养:无真菌、细菌生长(2018-01-24)。

隆突 右上叶

右中叶 右下叶

左上叶 左下叶
支气管镜病理检查如下



目前病原菌:铜绿假单胞菌???
2018-1-23,调整为左氧氟沙星联合头孢曲松钠他唑巴坦钠抗感染治疗。
请免疫风湿科会诊(2018-1-22):建议送检临检免疫自身抗体、抗CCP、AKA等检查。
上述结果回报:均阴性。
复查血常规(HGB 178g/L)、CRP、PCT、ESR等均无异常,较前无明显变化。
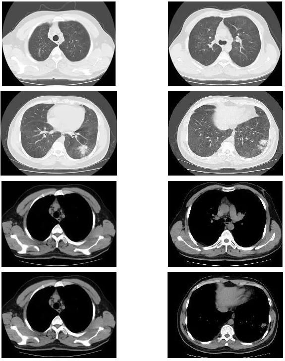
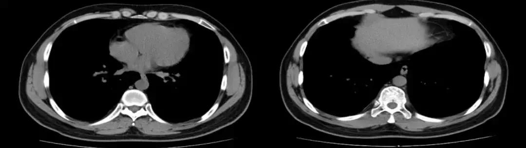
复查胸部CT(2018-1-29),对比原片如下图:
1、两肺野弥漫病变较前未见明显变化,两肺上叶陈旧病变同前
2、左肺下叶片状密度增高影较前范围增大,密度增高
3、纵膈内多发淋巴结,大者位于气管隆突下,短径约1.1cm,较前未见明显变化;余基本同前。


胸外科会诊:考虑患者双肺弥漫性病变,可行胸腔镜下肺活检术或就诊于上级医院。
向患者及家属交待病情,建议患者穿刺活检明确诊断。
患者及家属考虑后决定自动出院,择期于北京进一步就诊。
于北京协和医院查相关检查,如下图:








后给予强的松50mg 3月余。
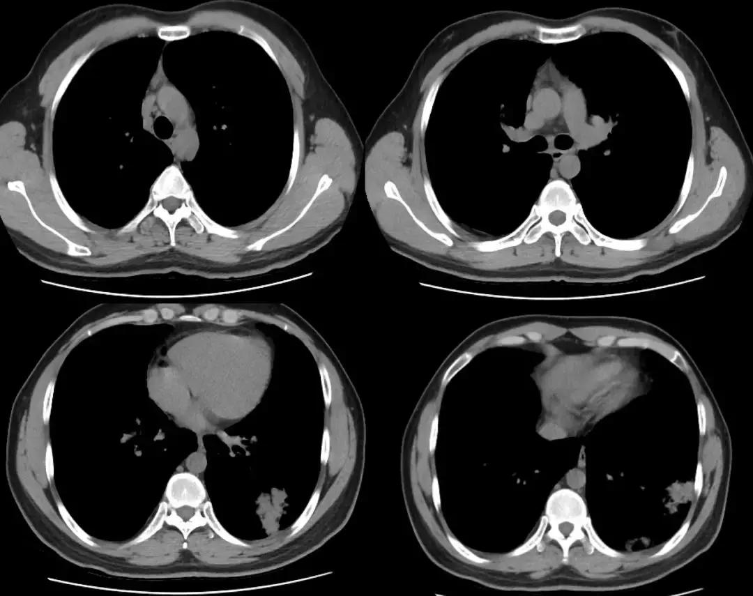
复查胸部CT(2018-07-12):




左肺炎症较前好转,但肺部弥漫性病变较前变化不大。
病例特点
1、青年男性;慢性病程,急性加重;
2、间断咳嗽、咳痰、气短为主要症状;
3、既往肺结核病史2年余,自诉已治愈;从事污水处理工作;
4、查体未见明显异常;
5、辅助检查:血常规白细胞不高、血红蛋白多次查均为170多g/L;血气分析(多次未吸氧状态):PO2 70多mmHg;血沉最高44mm/h,经治疗后可降至正常;PCT、CRP等感染相关指标均不高;病毒系列、术前四项等均阴性;于我院查自身抗体、ANCA均阴性,抗CCP抗体曾出现阳性,后复查为阴性,就诊于北京协和医院后查ANCA-IgG型 1:10为阳性、抗CCP抗体强阳性、自身抗体阴性;胸部CT提示两肺弥漫磨玻璃病变,左肺肺炎;于北京协和医院行CT引导下经皮肺穿刺术活检病理结果示:肺组织慢性炎,间质纤维组织显著增生,伴较多炎细胞浸润,可见上皮样肉芽肿伴多核巨细胞反应,未见明确坏死,PAS、抗酸、弱抗酸、六胺银染色均阴性,免疫组化CD34(血管+)、Bcl-2(散在+)、SMA(灶+)、CD68(+)、Desmin(-)。经激素治疗3月余后,左肺炎症较前好转,但肺部弥漫性病变较前变化不大。
思考
1、患者左肺炎症与肺部弥漫性病变关系?
2、患者肺部弥漫性病变原因?
3、诊断:过敏性肺炎能否成立?免疫风湿色彩的间质性肺疾病?还需进一步完善检查及治疗方向?
