随着生活水平的不断提高
我们的口腔卫生状况也呈现出下降的趋势
一口好牙的人越来越少
人们总说“老掉牙”

现在不止是老年人
就连风华正茂的年轻人,也有缺牙的
小编身边的朋友就有好几个缺牙的

嘴里缺牙
谁缺谁知道苦!
上帝给我的嘴开了一扇窗
说话都漏风
吃东西都只能用一边的牙齿咀嚼
专业术语叫偏侧咀嚼
容易导致大小脸
比如这样的

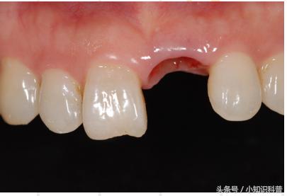
牙齿缺失
目前常见的修复方式有假牙、烤瓷牙、种植牙
一般来说
假牙最便宜,种植牙最贵
但是
贵的就一定好吗?
对此,小编的建议是
选贵的,不如选合适的
下面就来分析一下三种牙齿的优劣势
1、假牙
方便的不一定是最好的
假牙的制作相对简单,价格低廉
但是假牙的咀嚼效率低,吃东西使不上劲
安装需要磨除健康的牙齿
舒适度和美观度都差
每天需要摘戴,定期要更换
而且活动假牙它是会“动”的
存在容易误吞咽的风险
你想在吃东西的时候“一不小心”把牙齿咽下去了吗?

2、烤瓷牙
让真牙很受伤
咀嚼效率高,也比较舒适美观,
但是会磨损较多健康的牙齿
且会在桥体下方形成缝隙
容易造成食物滞留,增加邻牙的蛀牙风险
因为烤瓷牙是这么装的

另外,烤瓷牙对于单颗牙齿缺失比较好
如果是半口或者全口缺失的话,烤瓷牙就派不上用场了
3、种植牙
不伤邻牙、耐用、媲美真牙、咀嚼率高
美观、避免缺牙区牙骨萎缩影响面容
无异物感舒适度高、咀嚼功能高接近于天然牙、耐用
维护得当使用寿命接近天然牙。
种植牙的流程一般是这样滴

牙齿缺失应尽早就诊
把握最佳修复时机
从功能恢复来看,种植牙最好
在条件许可的情况下,建议做种植牙
牙齿缺失后其他牙齿的状态如下

种植牙一般费用比较高
不过也有便宜的
具体咨询当地的医院和口腔门诊
比价后挑选合适的
当然
种植牙对医生技术及设备的要求都很高
应选择设备、技术、医师力量完备优秀的医院或者诊所就诊

种植前

种植三个月后
看起来跟真牙没什么区别对吧?
最后
愿大家都能有一口健康的牙齿
吃嘛嘛香