骨折定义:骨或软骨结构发生断裂,骨的连续性中断。
影像学检查目的
有无骨折或肌腱韧带损伤
骨折错位情况
摄片复查复位情况
观察愈合情况及有无并发症
是否为病理性骨折
怀疑肌腱、韧带、半月板或脊髓损伤应做MRI检查
骨折的X线表现
骨折线:系骨皮质和骨小梁断裂的直接反映,也是骨折的直接X线征象;为密度减低、边缘清楚、走行不规则的线形阴影

骨小梁纹理扭曲或紊乱,骨皮质限局性凸出或凹陷,多见于松骨骨折及青枝骨折

外形改变:由于错位、成角、旋转、分离和重叠等可使外形发生改变。

关节附近韧带撕脱性骨折及椎体压缩骨折部分碎裂脱落。

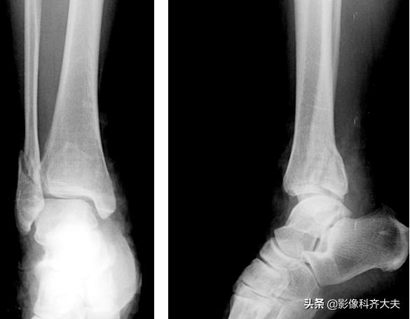
胫腓骨远端骨折
晚发性骨折线出现及骨痂生成:外伤当时未能显示明确骨折线,在外伤1~2周之后,由于骨折处骨质吸收,骨折线可清楚显示。骨折后4~6周,骨折处可见骨痂形成。
软组织改变:骨折周围软组织因出血、水肿和渗出而发生肿胀及层次不清,肿胀部位对寻找骨折线及鉴别诊断有重要价值。
看不见骨折线的骨折
青枝骨折:儿童多发,看不见骨折线;骨小梁扭曲、紊乱、模糊;骨皮质皱褶、凹陷或隆突;局部软组织肿胀。

骺离骨折:儿童多见;外力经骺板达干骺端;骺线增宽;骨骺与干骺端对位异常;骨骺与干骺端一并撕脱

椎体压缩骨折:
病史:高处坠落;重物冲击
X线表现:椎体楔形变,前缘凹陷;前后左右径增大,间隙正常;椎体中部密度增高,小梁紊乱;椎体、椎弓常见骨折碎片;脊椎后突、成角、移位。

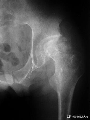
股骨颈嵌插骨折:老年人多见,断端常有错位或嵌入;可发生于股骨头下、中部或基底部;股骨颈短,肢体短缩,歪戴帽征;头下骨折引起关节囊损伤,影响血供,使愈合缓慢,甚至发生缺血性坏死。

股骨颈骨折伴有嵌入
常见部位的骨折
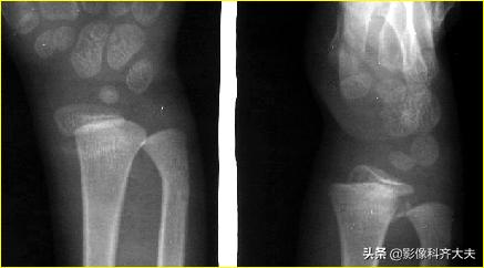
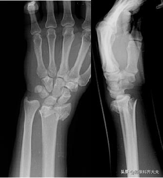
Colles骨折:伸展型桡骨远端骨折,在桡骨远端2-3cm以内的横行或粉碎骨折,远侧向桡或背侧移位,常合并尺骨茎突骨折。


疲劳骨折
定义:连续、多次轻微损伤如长期负重、跳跃、行走及运动起步过猛等可造成疲劳骨折,跖、趾骨,胫腓骨为好发部位。
X线表现:骨折线横行、光滑,常发生于皮质一侧;骨折线周边可出现骨膜增生及骨痂形成;骨折线相应骨皮质可增厚,髓腔硬化;短时间内骨痂可逐渐变大,又在短时间内逐渐变小好转。

病理骨折
指骨内病变破坏了骨的正常结构或全身性骨疾患造成骨失去正常支持能力,发生轻微外伤也可产生骨折,如良恶性肿瘤,肿瘤样病变(骨囊肿)、骨髓炎、成骨不全等。

骨囊肿致病理性骨折
C T检查
不作为常规检查方法
应用于解剖复杂部位
骨盆、髋、肩、膝、面骨、脊柱
了解有无骨折、骨折片的数目和位置
三位重建可立体显示骨折的详情

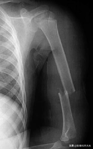
肱骨骨折
M R I检查
显示骨折线方面不如CT
可清晰显示骨折断端、周围出血、水肿和软组织损伤
可清晰显示临近组织和脏器损伤
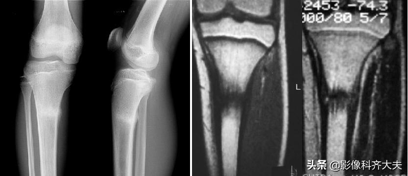
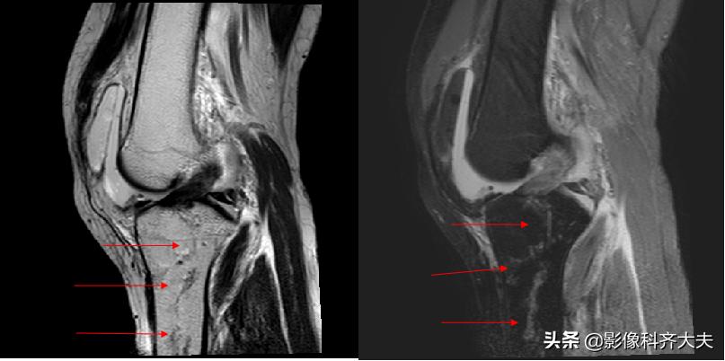
骨挫伤(bone bruise):外力作用引起的骨小梁断裂和骨髓水肿、出血,T1WI低信号,T2WI高信号,压脂序列显示清晰。平片和CT 上常无异常发现。
例:右胫骨骨挫伤

右胫骨骨挫伤-平片正常

右胫骨骨挫伤-CT正常

右胫骨骨挫伤-MRI清晰显示病灶位置
胫腓骨骨挫伤

胫腓骨对应性骨挫伤
脊柱骨折
多数发生在青壮年,绝大多数都是间接外力所致,直接*力暴**多见于战伤、地震伤,另外肌肉的强力收缩(如破伤风或癫痫)亦可引起。
一般X线平片即可诊断
为了判定有无附件骨折及骨折片进入椎管内的位置需做CT检查,对骨折后脊髓改变的观察需做MRI检查。
X线平片:
可单个发生或多个椎体同时发生。
受累椎体可出现压缩骨折、楔形压缩骨折并椎体前缘游离骨块、前上缘与上位椎体下缘套叠骨折、纵行骨折等形态。
除形态改变外椎体松质小梁骨折嵌入,密度相对较高,表现为椎体面下0.1~1cm或在椎体中部的致密带状影,边缘较模糊。

胸12及腰2楔状变形,胸12椎体前缘可见碎骨片
椎体压缩骨折常合并上下关节突、横突、椎弓根及棘突骨折,一般X线平片正侧位可观察清楚。
上下关节突间的椎板,称为椎弓峡部,此处骨折常发生在腰4或腰5,因身体重力向前分力作用,可使椎体向前滑脱。椎弓峡部骨折,以脊柱斜位X线片显示清楚。

腰3左侧横突中段可见纵行骨折线,骨折远端向下成角移位

腰椎正位示腰4上下关节突间斜行骨折线,腰椎侧位片示腰4前滑脱(Ⅱ度)

双斜位显示椎弓峡部骨折线影
CT检查:
可见骨折椎体内出现横行、纵行、斜行、丫形等形态的骨折线
严重椎体骨折可出现“崩裂”状,表现为多数长短不等骨折线,酷似用力打碎的石板,使椎体分裂成大小不等骨块
椎体后缘骨折,可见游离在椎管内的骨折块大小、形态及位置
当附件骨折X线片显示不清时,CT检查可明确诊断

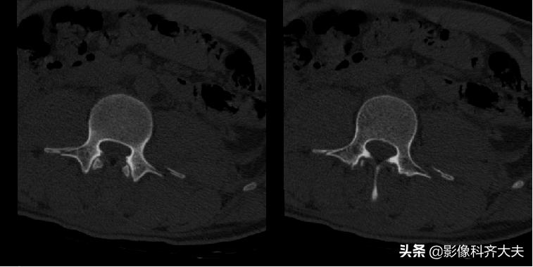
腰二横突骨折

VR重建

冠状面重建

矢状面重建

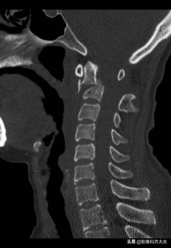
枢椎骨折

枢椎骨折矢状面重建
MRI检查
椎体楔状变形
急性期椎体压缩骨折,由于水肿T1WI呈低信号,T2WI信号增高
骨折的椎体压迫脊髓、脊髓水肿、脊髓出血、脊髓断裂及脊髓软化均可显示清楚
椎体压缩骨折可合并前后纵、棘间韧带断裂,可见其连续性中断及信号异常
椎间盘碎裂,表现为形态不规则及T2WI 异常高信号,并可突出压迫脊髓

MRI矢状面枢椎骨折压迫脊髓

颈椎滑脱骨折脊髓挫伤
骨 折 愈 合
炎症消退期:2-3周,骨折线模糊
骨痂出现阶段:3-4周,骨痂“托”
骨痂连接阶段:4-6周,骨痂连接成桥
骨痂成熟阶段: 6-8周,看不到骨缝
骨痂塑形阶段:骨变形逐渐矫正

骨折愈合的证据:大量骨痂和骨小梁穿越骨折处。

肱骨远端骨折后大量骨痂形成,骨小梁穿越骨折处
骨折的并发症
骨折不愈合或愈合不良:
一般闭合骨折,半年以上骨折局部肿胀不消,压疼持续存在,骨折断端有异常活动,为临床骨折不愈合指标。
一般因复位和固定不良、局部供血较差、全身营养代谢障碍、软组织嵌入骨折端以及合并感染等因素均可引起。
X线表现为骨折线增宽,两断端无骨痂,被薄层骨质封闭,硬化形成假关节 。

锁骨两断端骨髓腔闭合,明显错位,形成假关节。
骨折畸形愈:
骨折断端对合不良,可造成肢体缩短和成角畸形等

右锁骨骨折后畸形愈合,对线不良,右锁骨明显变短
骨缺血性坏死:
骨折可使骨的一端血液供应障碍而发生缺血坏死。多见于股骨颈、腕舟骨及距骨骨折等。

左股骨颈骨折后股骨头缺血坏死 ,左股骨颈陈旧骨折,左股骨头变扁,碎裂,其内可见大小不等的囊状透光区
骨化性肌炎:
肌腱韧带损伤时,骨膜撕脱或剥离,形成骨膜下血肿。一个月左右血肿钙化或骨化。
X线表现为骨旁软组织内出现不规则的片条状或团块状钙化或骨化影,一年后可完全吸收,或遗留一小骨块影。
因有外伤史可与骨旁骨瘤、骨软骨瘤、皮质旁软骨瘤等鉴别。
