转自网络
纤维桩的优点、适应症及选用原则
纤维桩大家现在都在用,在临床上得到了广泛的普及,与传统的金属铸造桩、铸瓷桩、氧化锆桩相比有不可取代的优势,而且价钱适中,多数患者都能接受。

1
今天与大家聊一下以下几个问题:
1、该不该用纤维桩?
2、该用什么样的纤维桩?
3、怎样用好纤维桩?
2
纤维桩的优势:
1、桩道预备后一次完成,避免根管再次感染。
2、美观,适合全瓷修复。
3、不影响核磁共振。
4、生物相容性好,无电流反应。
5、必要时可以拆除,可再次治疗。
6、材料弹性模量适中。
3
几种常见根管桩的性能特点:
镍钛铸造桩核:镍钛合金、钛合金的弹性模量高,用其制作的铸造桩核在修复体受力时易引起牙根部的应力集中,造成根折裂。
金合金铸造桩核: 金合金桩核的弹性模量比其它金属桩核低,相对不容易造成牙根折裂。对于通透性好、美学性能好的全瓷冠材料,可能在修复后渗出金属颜色影响美观效果。
氧化锆桩核:整体的美学性能很好,但由于氧化锆存在弹性模量非常大的问题,容易造成牙根折裂等问题。
纤维桩核:具有足够的强度,弹性模量接近牙本质,透光性能好,是前牙美学修复时桩核材料的首选。
4
如何来把握纤维桩的适应症呢?
首先为大家复习一下打桩的标准:
1.保证有3—5mm的根尖封闭区。
2.桩长要大于冠长。
3.桩长大于2/3根长。
4.骨内桩长大于1/2骨内根长。
5.桩的直径不小于根的1/3,尽可能保存牙本质领。
如果一个牙能满足以上所有条件,除了美观要求外,可以选择任何系统的桩核,但大多数情况下患牙的情况都是不良的,限制打桩长度的因素主要有以下几点:
1、牙根表面的切迹、缩窄。
2、牙根弯曲。
3、根尖孔位于根侧。
遇到以上这些情况如果强行保持理想的桩长就会出现一些临床症状。有的牙打完桩,患者在回去使用时会觉得不敢咬硬物,有发酸发胀的感觉,这就是由于打桩引起的局部根管壁薄弱造成的。
尤其在上颌双尖牙区,颊腭根之间往往存在切迹,如果打桩时向两根中间位置扩展过多就会形成根管薄弱部位,甚至穿孔。
这个时候如果还没有进行永久修复,一定要调颌观察,等待症状消失后再修复。如果已经永久修复了,只能等待患者的症状自行消失,没有什么更好的办法了。
所以在打桩前一定要拍片,对根管形态进行全面的了解后,再进一步操作。
纤维桩的一大优势就是在不能保证桩长的情况下也可以应用,也可以说将传统的桩核适应症放宽了很多,只要保证冠根比是1:1即可。
纤维桩与金属桩的不同之处在于受力方式不同。

金属铸造桩由于十分坚硬,在受力的过程中会对根尖区施加很大的侧向力,容易造成根折,而根中部的折断是很难愈合的,往往只有拔掉了。
纤维桩的弹性与牙本质相当,在受力时与正常牙体组织相似,应力集中区在牙颈部位置,即使折断也可以进行二次修复。
在长期的临床研究中,纤维桩的成功率是很可观的,10年成功率高达97%,可以说是比较成功的一种材料。
所以,在牙体条件不允许进行铸造桩核修复的情况,也可以使用纤维桩来修复。但也不是所有的牙都能使用纤维桩。
5
纤维桩的禁忌症包括以下几点:
1、需要很大程度上改变牙体长轴方向。
2、粘接区无法充分隔湿。
3、咬颌空间小,预备体过薄。
在以上情况下需要选择金属铸造桩或者不能选择打桩来修复了。

6
如何选择合适的纤维桩?
市场上的纤维桩种类多的可怕,我们该如何选择呢?
首先要考虑的问题是纤维类型。
1、玻璃纤维桩:是非结晶态的二氧化硅混合物。
2、石英纤维桩:是结晶态的纯二氧化硅。
两者的主要成份都是二氧化硅,但相比较石英纤维桩要更好一些。
再要考虑纤维含量。
纤维含量越高,纤维桩的成本就越高,有的纤维桩纤维量含只有30%左右,强度肯定是值得怀疑的。
而有的含量高达75%,含量过高也不好,里面的纤维丝在受力后容易散开,尤其在切割的时候。
一般选择55%—60%纤维含量的比较合适。


锥度
有的纤维桩是上下是平行的,有的是有锥度的,这时要选择适合根管形态的相应锥度。如果你是使用大锥度的根管预备就应该使用有明显锥度的纤维桩。
透光性
纤维桩的透光性很重要,因为粘接时使用的是光固化树脂,光源必须能够透过纤维桩照到周围的粘接剂。
请看几个不同透光性能对比。
纤维桩还是需要有很好的X线阻射性的,方便以后的X线检查。
颜色
碳纤维

白色玻璃纤维桩

半透明玻璃纤维桩

半透明石英纤维桩

表面形态
不同的表面形态有助于纤维桩在根管内的固位和树脂核的固位,以下图片展示各种形态的纤维桩,大家可以根据自己的习惯加以选择。




修复科医生在临床工作中经常遇到需要修复的缺损牙体。无论是外伤崩折了2/3牙冠还是龋齿根管治疗后缺失三个壁的残缺牙体,在修复科医生的手中往往都能够焕发新生。
对于大面积缺损的牙齿,修复科医生会选择将修复体的一部分插入根管内获得固位,这部分称为修复体的桩结构。后期发展中,若桩为金属铸造,和冠内部的固位形结构一体,则称铸造桩核;若为预成的半成品桩,则称为预成桩。
桩的制作材料
金属(金合金、镍铬合金、钛合金等),它有良好的机械性能但不太美观,尤其应用在全瓷冠修复中会带来较大的美学阻碍;
瓷桩(主要为氧化锆)的美学性能强大,但硬度也大,容易在应力的作用下崩折;
纤维增强树脂桩(碳纤维桩、玻璃纤维桩、石英纤维桩等)的美观性能最好,弹性模量和牙体最为接近,不容易崩折、也减少了牙体根折的风险,是目前预成桩的主流选择。
那么,预成纤维桩里面比较理想的选择又是哪一个呢?
预成纤维桩
早期使用的碳纤维桩内部含有很多黑色的碳纤维,美学性并不是非常优秀;
现代的碳纤维桩的主体一般都是白色,乳白色的,但还会有一个比较细的黑色轴心,故美学效果仍然不够理想;
现阶段应用比较广泛为玻璃纤维桩,颜色为白色,乳白色或透明,不含有黑色的纤维;

(图片来自 www.pinterest.com)
最能抗疲劳强度的石英纤维桩具有非常优秀的光传导作用,有利于桩核置入根管后树脂的固化。
核的制作材料
目前,制作核的材料主要有金属、银汞合金、玻璃离子水门汀和复合树脂等。
大部分金属核一般与桩同体,一起铸造制作,强度较好,不会发生分离;而预成桩则需要在其上堆塑处一定的固位核,材料不等,但大部分医生选择使用复合树脂进行堆塑,因其强度高、颜色美观并且容易操作,可以通过牙本质粘接剂获得强大的粘接力,从而和剩余牙体形成良好的结合、增强固位。
综上而言,修复科医生倾向选择预成纤维桩和复合树脂成核的方式修复牙体并制作美观、强度都符合要求的冠。
预成纤维桩的优点
然而,许多经过了根管治疗后的冠都残缺不全,在这种情况下预成纤维桩是否能够保证其强度要求呢?
事实上,和常见观念不同,研究者认为桩的主要目的是为了提高核和冠的固位力、均匀分布应力为主。而其直接的强度低于金属并不会对其抗力造成太大影响。尤其在固位力足够的前提下,甚至可以不使用桩也能修复缺损巨大的牙体。
但一旦牙体缺损两个壁或以上,单纯修复容易使应力在冠根连接处或根部集中,发生根折或修复体折断。使用和牙体弹性模量近似的桩在根管内均匀分布咬合等压力,可以使得桩核一体均匀承受力量,减少根折的几率。故预成纤维桩有广阔的应用空间,其优点不言而明。
由于前述优点,预成纤维桩不仅能够在前牙美学修复中发挥作用,在后牙多壁缺失的根管治疗后牙体中也能够通过打入多颗纤维桩增强固位以完成修复。它能用在于牙冠大面积缺损的牙体中,也能用在固定义齿的固位体、畸形牙、错位牙、扭转牙等案例。
预成纤维桩的禁忌症
但预成纤维桩的禁忌症也已明确,分别有:
1、根管感染未能有效控制;
2、患广泛的根面广泛龋,去尽腐质后剩余牙体组织(尤其颈部)较薄弱;
3、牙根长度不够,牙槽骨吸收过多,无法达到跟唱的2/3-3/4;
4、牙折至牙槽嵴顶以下;
5、咬合空间不足,过紧;
6、需要改变过大的牙体方向。
医生操作注意事项
为了提高预成纤维桩使用的成功率,必须把握好其严格的临床适应症。但目前关于这方面的系统评价等大数据研究较少。故医生应该在临床工作中,根据实际的牙体剩余量、冠根倾斜程度、根管形态和厚度、咬合关系等方面判断并决定使用。

同时,要注意不同粘接系统和不同预成纤维桩系统的匹配程度,最好遵循说明书严格进行规范化操作。
国内外修复科医生均以光固化粘接系统为主,这种方式可以弥补预成纤维桩和根管不够贴合的弱点,更均匀分布应力。我们推荐使用自凝粘接系统或双重固化粘接系统进行粘接。
与其他的口腔技术一样,预成纤维桩修复也有可能失败或发生各种并发症,比如纤维桩脱落及纤维桩折断等。修复科医生需要做好完善系统的医患沟通,以期从各个方面最好地保证修复效果和后续治疗质量。
纤维桩临床操作步骤(视频)
1、初步牙体预备
纤维桩牙体预备的第一步,是进行初步牙体预备,而不是直接进行桩道预备。
要尽可能的保存牙本质肩领,宽度应达到1.5mm—2.0mm以上。
如果剩余牙体组织很少,不要为了预备出牙本质肩领,而向龈下预备太多,破坏生物学宽度。

尽可能的多保存牙体组织,纤维桩预备也是同样如此。
但过于薄弱的牙体组织是应该去除的,书中给出的标准是牙体组织的厚度要超过1.0mm才能保留,否则决不姑息,一律磨掉。
如下图剩余的组织就过于薄弱,以后也是一个安全隐患。

2、去除暂封物
去除暂封物和根管口处牙胶尖,暴露根管口。
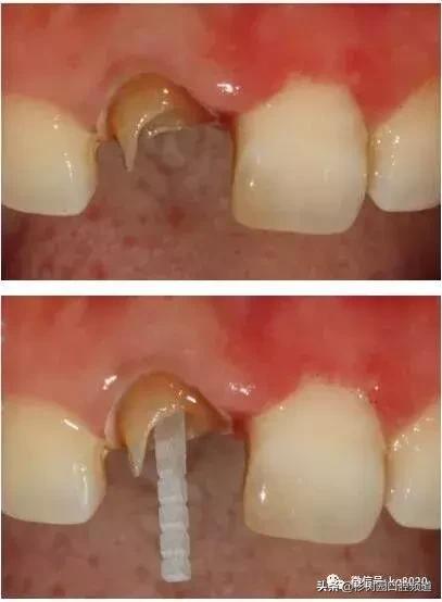
3、桩道预备
用P钻从1号到4号逐级扩大根管,如果根管是大锥度预备,可以省略1号。
在预备之前要测量长度,将最终预备的长度用皮圈标记在钻针上。

纤维桩预备时不用去除根管内壁上的倒凹,只要保证足够的长度和直径即可。
将根管内壁上完全清理干净,做好这些细节,粘接效果才会更好。
如果后牙需要打多个纤维桩时要检查是否互相妨碍以及就位顺序等。
纤维桩使用数目要根据根管的粗细和牙体缺损范围来设计,可以在主尖周围放置辅尖。后牙一般按照牙体缺损范围来设计,一般2到4个足够了。
4、垂直加压牙胶尖
在桩道预备后可以使用携热器将底部牙胶压平整,以免影响纤维桩就位,同时也使根管充填更加紧密。
5、酒精消毒根管
纤维桩完全是依靠粘接固位的,根管内壁任何杂物(EDTA、次氯酸钠等)都会影响粘接效果,如果治疗后要做纤维桩,在根充时就应该注意不要使用含有丁香油的糊剂。

6、用蒸馏水冲洗根管
酒精消毒过后,用蒸馏水将根管内杂物和酒精全部冲出。

7、根管干燥
用纸尖反复将根管内的水分全部吸干。

8、纤维桩的粘接
纤维桩最重要的步骤就是粘接。

是否需要酸蚀?
酸蚀没有坏处,条件好的牙齿可酸可不酸,条件不好的建议酸蚀。
酸蚀的方法主要有三种:全酸蚀、自酸蚀和自粘接。
全酸蚀当然效果是最好的,但酸蚀剂不容易完全冲洗出来,残留的酸蚀剂同样会影响粘接效果。

自酸蚀是现在使用最多的,效果有保证,操作方便。
9、粘接剂的选择
根管内光固化粘接剂是无法完全固化的。
所以,纤维桩的粘接要选择自固化或双固化的树脂类粘接剂。
在操作的过程中要注意无菌操作,保证纤维桩的无菌状态。
推荐将树脂核堆好之后再截断纤维桩,而不是截断后再粘接。如下图:

