力致高科 康华益民
日前, 贵阳东方骨科医院脊柱关节外科于天彦主任完成了一例“双膝”单髁置换术 ,令人震惊的是,术后患者竟可以自己走出手术室,走回病房,虽然步伐缓慢,但可以看出步态稳定,双膝伸屈自如,吸引了很多住院家属及病人的围观。


患者感慨:“太奇迹了”。
患者自述5年前工作时突然腿软,然后膝关节开始疼痛,当时以为是劳累所致并未在意,谁想疼痛竟不断加剧,上下楼、爬坡以及步行稍久便尤为疼痛。曾行针灸、药物治疗均效果欠佳。一年前双膝疼痛情况越来越严重,尤其是右腿,蹲起困难,为求进一步治疗,经患者和家属多方咨询,和对阶梯化保膝治疗的深入了解,最终选择了贵阳东方骨科医院。
入院后,于天彦主任展开了详细的查体,并结合影像学检查,初步诊断为双膝骨性关节炎。经过于天彦主任团队周密的手术方案讨论和制定,考虑患者年龄和身体状况及工作情况,最终决定拟行“双膝单髁置换术”。
贵阳东方骨科医院在单髁置换方面有着丰富的临床经验,于天彦主任手术技术精湛,团队协作实力卓越,已成功开展了五十余例固定平台单髁置换术,并接诊过多例双膝关节单髁置换术, 不仅为膝关节炎患者解决了疼痛问题,更极大程度地保留了患者膝关节原有的功能状态。
医院优质的服务与态度,令患者及家属十分感动,满怀感激之情表示: “观望了这么多家医院,最终没有选错”!
病情描述
患者,女,57岁。
主诉: 双膝关节反复疼痛约5年,加重约1年。
专科查体: 双膝未见肿胀,皮温不高、皮色不红,双膝内侧压痛为甚,右膝疼痛明显,左膝活动度(伸0°,屈120°),右膝活动度(伸0°,屈115°),膝关节活动时有摩擦感,双膝试验麦氏试验(+),双膝髌骨研磨实验(-),双膝侧方应力试验(-),双膝抽屉试验(-),回旋挤压试验(-),足趾屈伸活动及感觉可,足背动脉可触及。
辅助检查: 双膝关节正侧位示:双膝关节退行性关节炎。
临床诊断:
1、双膝关节退行性关节炎;
2、高血脂症。
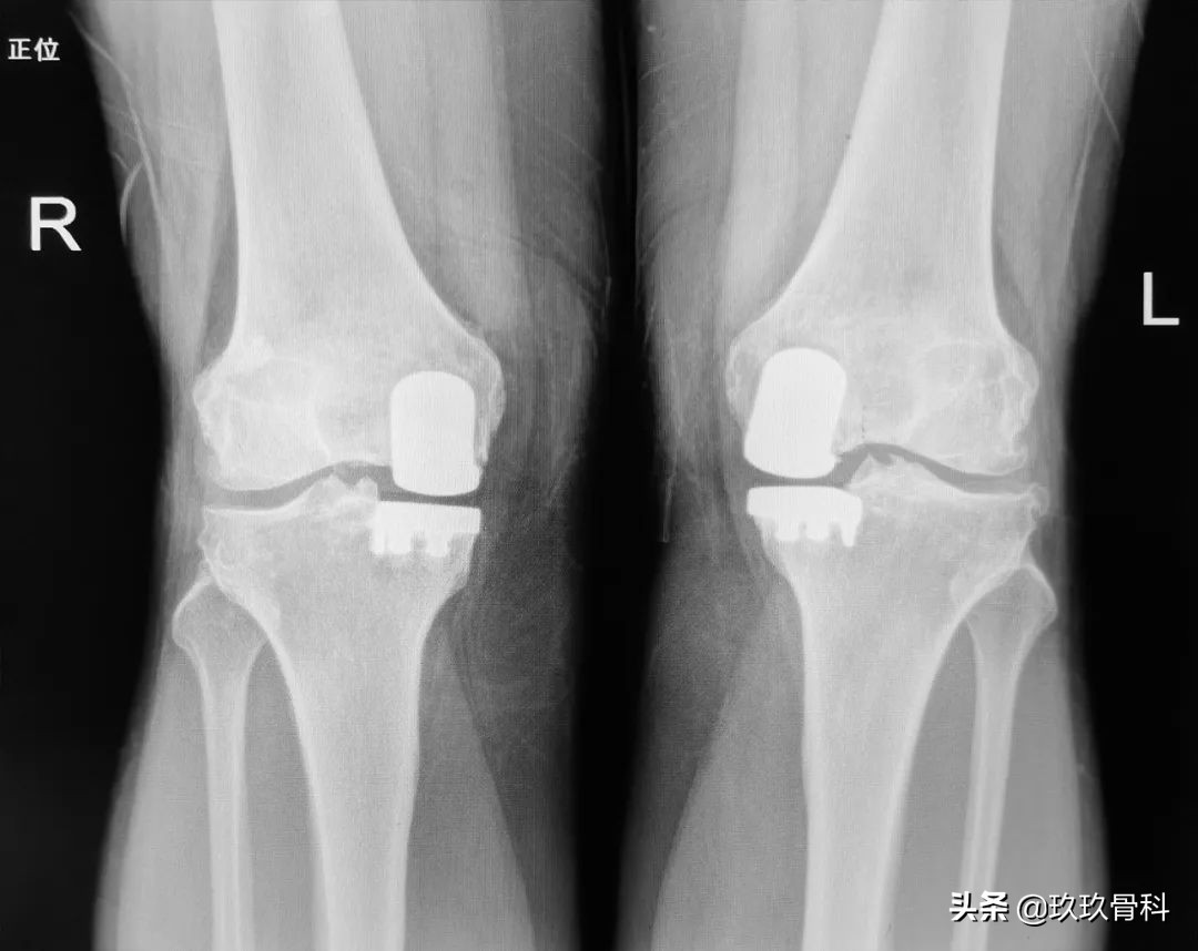
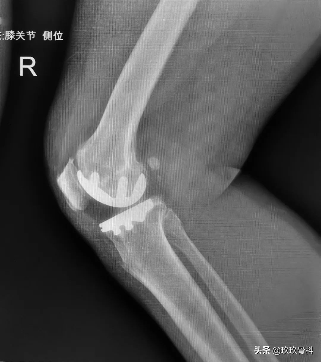
术前影像

术后影像




术后第二天伸屈功能恢复良好

经过三天的术后康复训练,患者恢复情况良好,为了早日出院,患者积极配合康复师进行锻炼。
术者简介

于天彦主任
副主任医师
贵州省骨科医院专科联盟专家,贵阳东方骨科医院脊柱关节外科主任。毕业于哈尔滨医科大学,从事骨科临床工作近三十年。先后两次去第二军医大学第一附属医院上海长海医院骨科进修,一次去天津医院进修,任骨科主任二十余年。现可开展脊柱、骨盆、四肢各种常规及复杂手术;开放手术及微创手术;髋关节置换术,后外侧入路、前外侧入路(DAA)及翻修手术,膝关节置换术、单髁置换手术及翻修手术等;另外对各种骨病诊断和治疗也有一定研究。发表专利三项,获科技成果两项,论文数篇。
贵阳东方骨科医院

贵阳东方骨科医院脊柱关节外科年手术量200台左右,科室一直秉承“四早”原则,不仅开展术后优质护理服务,更是为关节置换患者量身打造术前康复指导、术中采用超声引导下收肌管阻滞用于术后镇痛、术后康复训练三大体系,手术方式也不仅仅是单一的全膝人工关节表面置换术。还包括单髁置换技术和美容创面切口等多种方法相结合,全方位为病人考虑,满足广大患者需求。同时大大降低了患者术后疼痛及训练不到位等问题,让患者轻轻松松享受重新行走的快乐。
脊柱关节外科诊疗范围:膝关节镜探查治疗、股骨头缺血性坏死髓芯减压、植骨术、人工膝关节置换术、人工髋关节置换术、脊柱、骨盆、四肢各种常规及复杂手术、后外侧入路、前外侧入路(DAA)及翻修手术、单髁置换手术及翻修手术。
北京力达康科技有限公司
北京力达康科技有限公司成立于1998年,公司本着“力致高科、康华益民“的宗旨,经过23年的创新发展,成为一家集研发、生产、销售、服务于一体,以外科植入物为主业的国家级医疗器械高新技术企业,国产医疗人工关节领域的龙头骨干企业,和优秀的民族品牌企业。公司先后获得国家火炬计划、国家创新基金等奖项,入选国家十三五重点科研规划目录。
公司现阶段生产销售人工关节五万余套,未来三年营收将超过10亿元,并努力成为人工关节A股上市公司。公司未来将在顺义空港C区打造中国骨科医疗器械领域“产、学、研、医”一体化的科技创新联合体,为中国骨科医疗器械的发展做出新的更大的贡献。


