上周普普心中的白月光之一,佘诗曼小姐姐发了一张雀斑妆自拍,想必大家在舔屏的同时,肯定会有疑惑:为什么别人的斑小小的很可爱,我的斑就超大个显得脏兮兮,有时候还连成片?你们可能不是一种斑哦。今天就来把“各种斑”一网打尽吧。
- 都讲什么:不同斑的特点和区别,能预防吗,能去掉吗?

佘诗曼小姐姐的雀斑妆,超美有木有。(图源:新浪微博@佘诗曼Charmaine)
一眼就看懂的区别
- *褐斑黄**
*褐斑黄**的名字来源于斑的颜色:黄褐色或浅褐色。它有个“美丽”的别名“蝴蝶斑”,不仅因为它经常 对称出现在两侧颧部和颊部(如图),还因为它可以斑斑点点融合成片,甚至越过鼻梁连到对面,就像展翅的蝴蝶。除了常见分布,也有在上唇、额头和腮帮子。

*褐斑黄**对称分布,越过鼻梁相连。图源:wikidoc
斑斑点点一般直径在0.5厘米以上,融合成片后可达10厘米。由于*褐斑黄**不会凸起,所以患处皮肤摸起来和周围没什么差别。

正在融合的*褐斑黄**。图源:wikimedia
*褐斑黄**“纠缠”的主要是25岁以上的育龄女性,长期吃避孕药、怀孕都可能引发*褐斑黄**,所以又叫“妊娠斑”。而因为*褐斑黄**的另一诱发因素是一些肝脏疾病,它还称为“肝斑”。此外酒精中毒、月经不规则、内分泌等问题都可能引发*褐斑黄**。
小雀斑也是多出现在鼻子和两颊,针尖到芝麻大小星罗棋布,圆或椭圆形,普普觉得看起来十分俏皮。颜色上也是浅褐色到深褐色的雀斑都很常见。

雀斑
雀斑的产生遗传因素占了大部分,幼儿园的娃娃期就可以看见雀斑出现了。
常见的老年斑有两种成因。为了方便讲述普普把他们称为“日晒型”和“脂溢性”。
日晒型一般长在平时阳光能晒到的地方:脸、脖子、前臂、小腿。颜色浅褐色到深黄褐色,小米粒到黄豆大小比较常见。

“日晒型”老年斑
这种老年斑在50岁以上的人身上比较多见,年龄大了斑会变多变深,而且年轻人晒多了也逃不掉。
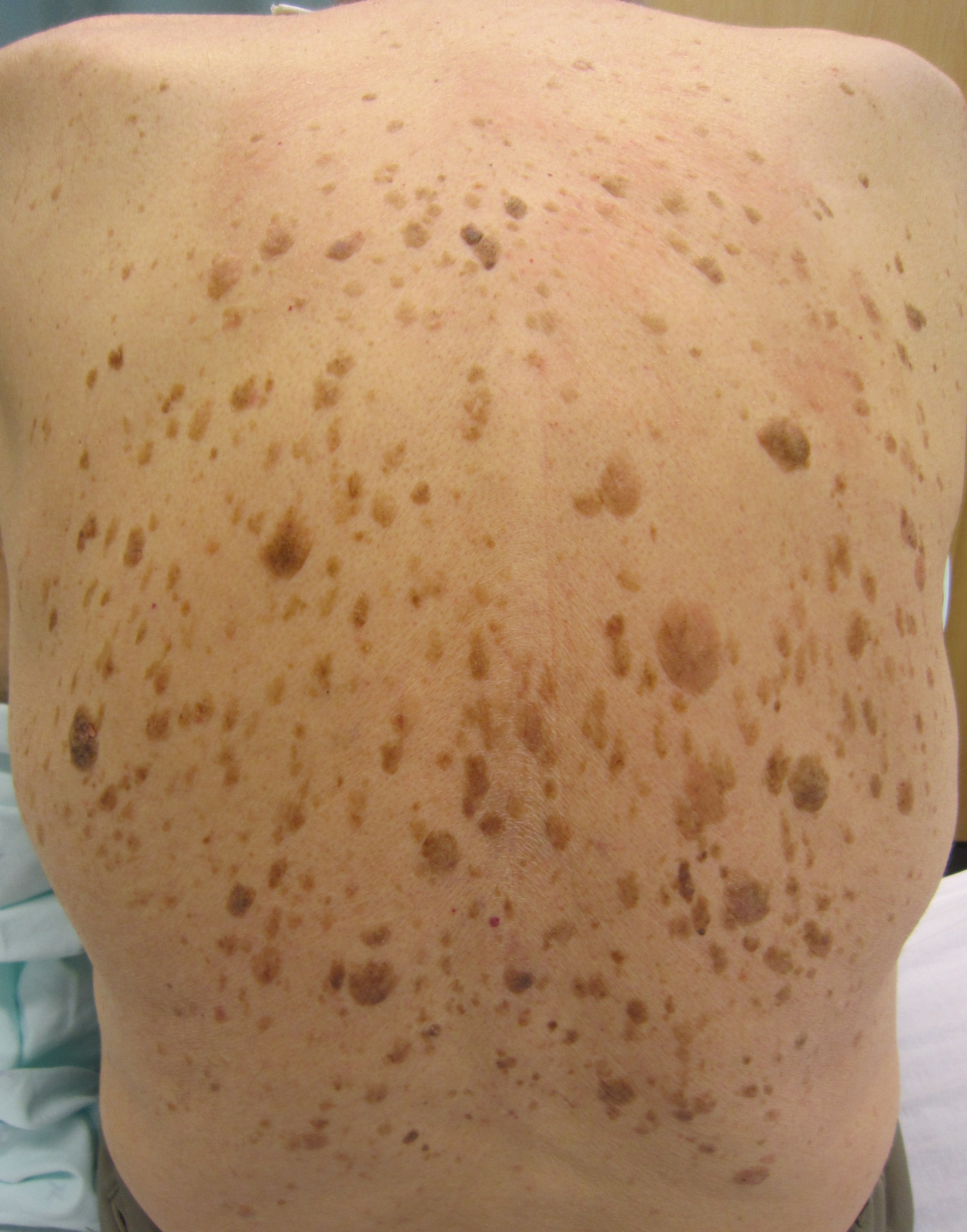
脂溢性老年斑的学名叫“脂溢性角化病”或“脂溢性疣”。头、颈、胸、背都是它的好发地,随着年龄增长也会数量增加。每颗斑的直径基本不会超过2.5厘米,最小的只有几毫米;浅褐色、棕褐色、黑色都很多见。
密恐预警!!!

脂溢性角化、脂溢性疣、“脂溢性”老年斑。图源:wikimedia
脂溢性老年斑最与众不同的地方就在于,它可能会突出皮肤表面,而且表面不光滑甚至有“鳞屑”的触感。不要担心,这是一种良性的皮肤增生,个别人觉得痒也是正常的。
普普翻阅了各式文献,并没有找到对“日晒斑”本身的定义(某度百科不算)。综合现有信息,发现大家口中的日晒斑一般是:年轻人的日晒型老年斑(主要是它)、日光性皮炎的色素沉积或小面积椭圆形*褐斑黄**的合称。而这三种斑的形成都与日光照射脱不了干系,就变成了“日晒斑”。很多20岁的小伙伴就已经“深受其害”。

20来岁的普普脸上已经有“日晒型”老年斑,哭了哭了
我要怎么去掉他们
好的,我知道自己长的是什么了,那该怎么办呢?
目前最有效率的祛斑手段是光电类医美,比如激光和强脉冲光;同时使用对苯二酚类药物(在医美前就要开始)可以减少复发。
还有剥脱类治疗,常见到的“果酸焕肤”就是这一类啦,除了果酸还有乳酸、杏仁酸、柠檬酸超多种的。提醒大家:想要仅仅通过护肤品彻底祛斑的可能性很小;所有的治疗和用药,一定到正规医院,听医生建议。
两种老年斑都是良性的,不需要过分担心,也不要经常用手抓哦。
一下就明白怎么预防
- 首先是防晒。阳光不仅会促进*褐斑黄**、雀斑、“日晒型”老年斑的加重,更会让我们辛辛苦苦“去掉”的斑复发。所以大把银子买的防晒霜、遮阳伞、遮阳帽、防晒服,快快充分利用起来。不然年轻也会被老年斑找上门哟。
- 规律作息。内分泌情况与规律睡眠休息的关系不言而喻,而*褐斑黄**产生和内分泌有很大关系,色素的代谢也需要良好的内分泌环境作为支持。
- 脂溢性老年斑如果出现了短时间大量增长、自发破损或溃疡、短时间面积变大,可能是发生了癌变,请立即就医!
今天的内容就是这些啦,点赞的同学都吃不胖!谢谢大家么么哒。
#健康科普挑战赛# #脸上的*褐斑黄**怎么办?# #老年斑# #90后长老年斑了# #晒斑#