寒冬已至,又是一年脑出血高发的季节。作为一名神经外科医生,我从事神经外科工作已经八年多,见过太多的脑出血患者,和患者家属一起经历了太多的悲欢离合。我主刀完成的脑出血各类手术超过1000例次,手术患者年龄最大的94岁,年级最小的不到30岁,成功挽救了很多患者的生命。今天起我将带大家一起揭脑出血的神秘面纱。
从2008年起,心脑血管疾病跃居中国疾病谱No.1,国家脑防委正面向全国进行脑卒中筛查、开展卒中科普宣传和健康教育,争取从源头上降低脑卒中发病率。脑出血属于出血性卒中,占到全部脑卒中的20%~30%,急性期死亡率高达30%~40%,致残率更是居高。
一、常见的脑出血部位、分类
1、最常见的部位:基底节区脑出血,占60%~70%,该部位出血常出现三偏征(病灶对侧偏瘫、偏身感觉障碍、偏盲)。壳核和丘脑是高血压脑出血最常见的部位。

图一、典型的基底节区脑出血,破入脑室,形成脑室系统铸型

图二、基底节区脑血管血管示意图
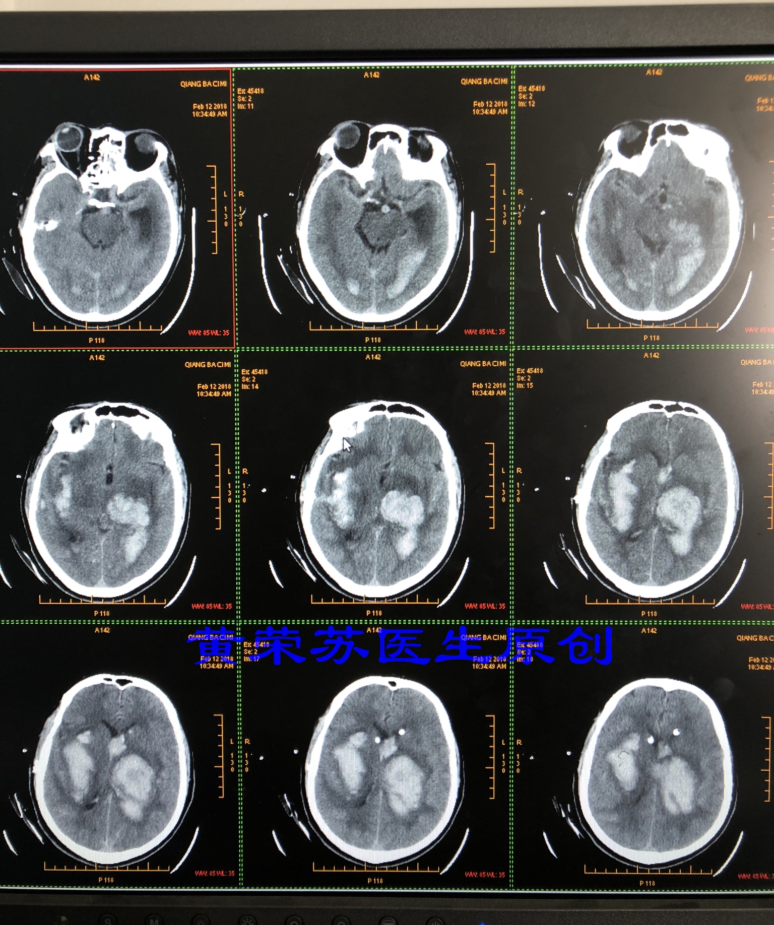
2、死亡率最高的脑出血:脑干出血,占临床脑出血病例的10%,并且进展非常快,死亡率最高,预后最差。表现为突发重度昏迷,呼吸不规则,双侧瞳孔针尖样。

图三、脑干出血
3、小脑出血:高血压脑出血又一常见部位,出血进展快,容易形成脑疝,死亡率高。多数表现为突发眩晕、频繁呕吐,枕部疼痛,一侧上下肢共济失调,眼球震颤,一侧周围性面瘫等。最常见于小脑齿状核动脉破裂所致。

图四、小脑脑出血
4、脑室出血:分为原发性脑室出血和继发性脑室出血(占90%),多继发于自发性脑出血、动脉瘤或动静脉畸形破裂出血。

图五、右侧侧脑室原发性出血
5、动脉瘤破裂出血:起病急,进展快,死亡率仅次于脑干出血。因此动脉瘤诊治目前提倡早发现、早治疗,及早拆除颅内的“定时*弹炸**”。动脉瘤未破裂之前可以进行脑血管介入栓塞治疗。

图六、脑血管造影检查提示动脉瘤

图七、动脉瘤破裂出血CT表现为混杂密度
6、蛛网膜下腔出血:是指脑底部或脑表面的病变血管破裂出血,血液直接流入蛛网膜下腔所致,其中微型动脉瘤破裂是蛛血最常见的原因。表现为突发起病,以剧烈头痛为最常见的起病方式,其次还伴有恶心、呕吐和脑膜刺激征。

图八、术中所见蛛网膜下腔出血
二、脑出血的预兆表现
1、突发剧烈头痛,恶心、呕吐,呕吐表现为喷射性,头痛以胀痛为主;
2、突发一侧肢体无力,口角歪斜,走路不稳,摔倒,并呈进展性加重;
3、突发失语,语言障碍,吐字不清;
4、中老年经常性流鼻血,伴间断性头痛发作;
5、突发失明、视物模糊;
6、突发天旋地转、后枕部疼痛,伴恶心、呕吐;
7、突发意识障碍,倒地昏迷或嗜睡;
8、突发癫痫发作;
9、突发的精神障碍。
脑出血前和出血后的表现多种多样,在此不再赘述。但是,出现上述表现的中老年朋友需引起高度重视,要想到脑出血的可能性,短暂观察未见好转需尽快送医。
是否能及时送医直接决定脑出血的预后,所谓时间就是生命,在脑出血患者身上千金难买一分钟,早一分钟和晚一分钟结局可能完全不一样!因为脑出血后颅内压急剧升高,一旦突破临界值形成脑疝,便直接威胁到患者的生命,预后便呈断崖式下降。
曾经我的一个患者突发精神障碍伴恶心、呕吐,患者爱人以为患者“鬼上身”,首先想到的是找驱鬼先生,前后拖了近四个小时,直到患者呼之不应进入昏迷状态才想到送医治疗。最终患者接受了手术,可惜手术后再也没醒过来,一直处于植物人状态。
脑出血序列科普(一),未完待续,敬请关注!
(此文章为原创作品,未经允许不得转载,可直接转发)
(此处已添加小程序,请到*今条头日**客户端查看)