在孩子牙齿这件事上,常爸可真是掉过很多次坑。
最早因为疏忽大意,一检查小小常烂掉了4颗牙齿,治疗的时候在诊室里哇哇大哭了整整一个小时。
有一颗牙烂得特别狠,明明牙面上只是一个牙签大小的黑洞,可是当医生清理牙洞时,没想到大半个牙是空的了,细菌已经把结实的牙质腐烂至牙神经,不得已就做了根管治疗。嗞嗞的钻头声,感觉都钻进了我的脑壳,心疼又头疼!!
后来到了换牙期也不消停,因为平时硬的东西吃得少,小小常竟然长成了双排牙。听医生建议,在家里又是啃苹果又是啃玉米的,但是乳牙依然顽固,不得已还是到医院打麻药拔了。
如今小小常8岁了,进入了换牙期。孩子换牙可不是小事,如果说乳牙是先遣部队,那恒牙就是常驻军了,是终生不会再换的牙齿。牙换得不好,可能会影响发音、脸型、容貌甚至身体发育。
经历了小小常牙齿的几次“出状况”,这回常爸可丝毫不敢大意了!特别联系了专业的儿童口腔科医生, 从6岁开始换牙,到12岁左右换完牙, 整个过程我们再把重点内容拎一遍,大家直接跟着抄作业就行!

下面,常爸就以时间为序,说说换牙的知识点!
时间线:6岁左右
“六龄齿”横空出世,拉开换牙的序幕
一说起换牙,很多妈妈的印象就是掉一颗牙、长一颗牙,一个萝卜一个坑。
其实不然。孩子0-3岁出的第一副乳牙一共是20颗,而换牙后恒牙的数量通常是28-32颗。你看,数量是不对等的,并不是单纯掉一颗长一颗,而是有的要替换,有的要新长 (直接长出来,没有更换机会的)。
最关键的时间线就是在6岁。 多数孩子在6岁左右,会直接长出第一恒磨牙,大家更为熟悉的名称是 “六龄齿”,上下左右共4颗。 特别要强调一下,六龄齿是恒牙!也就是说,它是要跟孩子一辈子的,坏了也不会再换了。

圈起来的就是传说中的六龄齿
这颗牙齿在萌出时多数没有疼痛或不适的感觉,悄悄地萌出长好,很多父母不知道这一点,光盯着前面的牙怎么还没掉长新牙,以为孩子一口牙全部都要换,即使看到后面牙烂掉,心想坏了也没事 (以为是乳牙)反正还要换,而没能及时给予这颗牙足够的关注和保护,导致它早早就出了问题,这样痛心的案例真的是太多了。

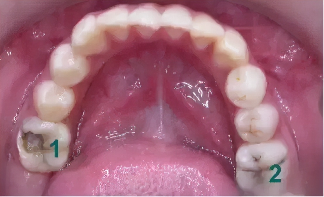
图中标序号的就是六龄齿,已经龋坏了
六龄齿作为早早出来的恒牙,势必要被委以重任的。
首先它是恒牙里最强壮的,咬合面比其他牙齿都要大,吃一些硬的食物就要靠它来出力了,一旦坏了,孩子的咀嚼消化都要受影响。
另外,六龄齿还是牙齿里的“定海神针”,是牙弓的主要支柱,它一旦缺失了,孩子的恒牙位置容易错乱无序,甚至上下颌不能对齐,这可不光是牙齿的问题,连面部形态都要大变样,直接影响颜值!
那要怎么保护它呢?
首先第一步肯定 要家长为孩子们认真有效地好好刷牙,这是最基本也是最重要的日常护理。 因为6岁左右的孩子刷牙时,手部精细动作的协调能力和自己保护牙齿的主观意识都不太成熟,力度也掌握不好,还有的孩子容易恶心,小舌头根儿一盖住后牙区,根本不会往后面刷的。因此这个阶段,我们家长要坚持为孩子的刷牙质量保驾护航啊。此外, 就是要及时给六龄齿做窝沟封闭。

窝沟封闭,是最经济有效的保护牙齿的方式。 操作步骤就是医生用特殊药物处理后彻底清洁牙窝内存留的食物残渣,将窝沟封闭的材料,涂在牙齿咬合面、颊侧面的窝沟处 (可不是两颗牙齿之间爱塞牙的牙缝处),当窝沟封闭剂流入窝沟后固化变硬,形成一种保护屏障,覆盖在窝沟上,不易藏污纳垢且容易清洁,阻止细菌以及酸性代谢物对牙体的侵蚀,以达到预防窝沟龋齿的效果。
最佳的时间,就是等六龄齿完全萌出后1年之内,也就是孩子6-7岁,且尚未发生龋坏时就赶紧带孩子去医院。 之后每隔3个月到半年去检查一次 (很多小学生每年校内体检也会检查这一项,父母需留意一*体下**检报告),一旦发生磨损或者脱落后及时重新封闭。如果体检时六龄齿未符合做窝沟封闭的条件,家长应随时观察,推荐每隔3个月找专业儿科医生检查,早预防效果好。
时间线:6-12岁
按照“左右对称、先下后上”的顺序,
乳牙脱落,恒牙长出
孩子新长六龄齿的同时或者前后,会同步开始换牙,也就是原来的乳牙脱落腾出位置,新的恒牙长出来。在很长时间内,新牙旧牙将会同时占据孩子的牙床。
换牙大体会按照 “左右对称、先下后上” 的顺序,从下中切牙 (较为常见)、上中切牙(也就是我们说的下门牙、上门牙)开始,向两边脱落并长出新牙,整个替换牙齿的周期大约持续6年 (也就是到12岁左右)。
以下是临床 常见的换牙时间, 供大家参考。

孩子在换牙期,其实也有不少的麻烦可能出现,常爸之前专门写过一篇《双排牙、六龄齿龋坏、牙外伤……换牙期的*麻大**烦如何躲得过》,总结了这个阶段经常出现的问题。 下面我们再来补充几个家长普遍关心的问题。
01 乳牙坏了也要补
很多老人会说,反正乳牙早晚都要换,坏了就坏了,不用治!甚至不少年轻的父母也这么认为。
但这个观念是错误的!出现了龋齿要赶紧去补,否则一旦龋齿严重到根尖病,可能会影响继发恒牙的生长和萌出,影响的可就是孩子一辈子了!
同样,如果乳牙发生外伤或者破损,也要及时看医生, 必要时拍牙片检查是否影响到根方的恒牙胚 。如果过早缺失,会造成临近的牙齿向缺牙的位置移动,使牙的间隙变小,换牙时相应的恒牙没有足够的空间,就会出现错位、不齐。解决办法就是减少外伤,一旦缺牙了,要看是否需要佩戴缺隙保持器。

02 新牙长不出来,要去医院处理
如果乳牙早早掉了,孩子经常用牙龈咀嚼食物,或者经常舔吮,就会使牙龈坚韧肥厚,导致恒牙出不来。
这时候可不能“静待花开”了,如果脱落后迟迟不换牙,务必要去医院检查,让医生看看是什么原因造成的,根据情况不同,排除是否有“多生牙”占位阻碍新牙萌出,还是牙齿异位了?医生会根据不同情况确定治疗方法,减少阻力,使新牙顺利长出。
03 新门牙发黄咋回事?
很多妈妈发现,孩子的乳牙白白的,怎么新长出来的牙发黄,没有之前的牙齿白了?
这其实是正常的,因为牙冠的最外面有一层坚硬的结构,叫做 牙釉质,半透明。 里面有一层略软的叫牙本质,颜色是黄色的。而牙齿颜色是牙本质透过牙釉质而呈现的。
乳牙的牙釉质因为钙化程度低,所以透明度较差,显得牙齿白白的。恒牙牙釉质钙化程度高,更透明,新长的大门牙在周围“瓷白”的小乳牙映衬下,显得黄一些,是正常现象。但如果是明显的软垢堆积、色素沉着、水质原因或者牙齿疾病引起颜色变化,要及时就医。
04 新牙有锯齿正常吗?
很多妈妈发现,孩子的新牙长出来很难看,居然有很多的锯齿。这是正常的,锯齿是新萌出的恒牙上正常的结构,伴随着年龄增长和咀嚼损耗,会逐渐磨平。

05 牙齿排列错乱有原因
孩子6岁左右开始换牙,到12岁左右换完,这期间都属于“混合牙列期”。因为乳牙和恒牙同时存在,会显得比较凌乱。
不过妈妈放宽心,这种“凌乱”是暂时的。恒牙的位置会随着其他牙齿萌出和肌肉软组织的作用,以及咬合重建,发生不同程度的改变,逐渐进入正常位置。
另外,换牙时孩子还小,脸盘也小,而新换的牙齿一出来就是成年人的大小了,所以显得很拥挤。
等孩子慢慢长大,随着颌骨的发育,脸型也会发生变化,牙齿拥挤的现象就会有所缓解或明显改善。当然了,如果觉得不正常,应及时看医生。我们建议在孩子前门牙开始替换的时期,请专业儿童口腔医生检查一下,排除一下常见的异常现象,听取一些专业意见,牙齿更能“听话”地排队哦!

06 门牙有缝隙怎么处理?
孩子换完牙后,很多家长会发现,怎么门牙中间有一道缝隙?

其实大部分新萌出的大门牙中间都有缝隙,有的甚至呈八字形,这叫做生理间隙,随着其他牙齿萌出,这个缝隙就会逐渐关闭。建议家长带着孩子去找专业儿童牙医检查一下,是什么原因造成的,通常情况下,等孩子长了侧切牙以后,间隙就会自然消失,不必担心。
当然也有不少孩子,是由于两颗门牙之间存在多生牙异常占位而导致门牙不能按正常方向顺利萌出,萌出轨迹发生偏移,出现大小不等的间隙,这个要通过照X光片检查确定后拔除多生牙来解决。还有的可能是上唇系带生长到“两个门牙缝儿”之间造成的,所以找一位有经验的儿童口腔医生检查一下,就知道答案啦!
时间线:12岁
时隔六年,第二恒磨牙悄悄萌出了
孩子的换牙期,要大约经历6年左右。通常孩子到了 12岁前后,就会再直接长出新的恒牙,那就是第二磨牙。 它的位置在六龄齿的后面,上下左右共计4颗。
作为新长出的恒牙,这颗牙和第一磨牙一样,需要好好保护,方法之一也是在牙齿完全萌出一年之内及时去做 窝沟封闭 。
说到这里,我们对于牙齿需要做的窝沟封闭做一个小小的 总结 吧:
窝沟封闭:
- 2-3岁,根据牙齿萌出情况和孩子配合程度,给孩子乳磨牙做窝沟封闭。 (虽然不在本文讨论的换牙期内,也给大家一个提醒。另外,如果觉得孩子不配合的话,三到四岁做也可以。)
- 6至7岁左右可封闭第一恒磨牙,也就是六龄齿。
- 11至13岁可封闭第二恒磨牙。
TIPS:
窝沟封闭要在孩子牙齿萌出的1年之内,且没有任何龋坏时去做,保护的效果最好。
窝沟封闭后,每隔3—6个月要做一次检查,一旦发现封闭脱落要及时填充。
文章中所提到的时间存在个体差异,定期检查、及时保护是上上策。


时间线:18-25岁
开始长智齿,是0颗还是4颗,看缘分
12岁左右换完牙,孩子只有28颗牙齿,另外还有4颗智齿,也叫做第三磨牙,大概是在18-25岁出。至此,孩子换牙这事才算是全部完成了。
纵观这个时间线,相信大家也发现了,虽然个体时间有所不同,但是整体上, 孩子从6岁开始,第一恒磨牙、第二恒磨牙、第三恒磨牙,基本有了规律,就是大约每6年出一次。

当然这个第三恒磨牙 (也就是智齿)不是每个人都有机会长的,有的人1颗,有的人4颗,有的人可能终生不萌出,所以总的牙齿数量28-32颗都是正常的(PS:智齿也有埋伏的或者阻生的情况)。
这都是后话了,毕竟那时候孩子已经上大学了,怕是轮不到老父亲和老母亲来操心他们的换牙问题了……
最后,我们再来总结一下:
关于孩子整个的换牙进程,这个时间线仅供参考,因为换牙时间是存在个体差异的;
孩子换牙的时间,早的从5岁左右,晚的从7岁左右开始,都属于正常范围。换牙结束时间,早的11岁左右换完,晚的13岁左右换完,也都是正常的。如果孩子在这个区间内,父母就不必担心;如果不在这个区间,就要及时带孩子去看牙齿,请专业医生排查问题。
温馨提示: 一颗恒牙已经萌出好,而对称的另一颗牙在正常换牙时间脱落却迟迟不萌出 (半年为最长界限)一定要请专业儿科医生检查,必要时拍牙片检查。
孩子新长出的恒牙需要好好保护,恒牙萌出后,要经过2-3年时间牙根才能发育成熟,萌出2年内,外伤概率较高,4年之内,患龋齿的风险更高。因此整个换牙期一定要避免外伤,同时要认真刷牙、正确使用牙线,充分利用家用含氟牙膏和专业氟化物的保护作用,并保持良好的生活、饮食习惯,通过定期检查、做窝沟封闭等“组合拳”相互结合来防止龋齿或降低龋齿发生的概率。