“医生:这B超上面说我的肾脏有一个囊肿,要不要紧啊?”
查房的时候,一名住院患者问我。我接过B超单看了一下,在患者右肾中极有一个直径不到2公分的小囊肿。我告诉他:肾脏囊肿在中老年人身上特别容易出现,是一种良性的病变,不要过分担心。一般直径大于4厘米,或者有明显症状时,才会考虑手术治疗。

查房
听我这么一说,患者心情放松了许多。
其实,随着近些年来人们对于健康的意识越来越强,特别是到了年底,进行体检的中老年朋友就特别多。而体检查出来囊肿特别常见,比如肝囊肿、肾囊肿、卵巢囊肿等等。这个时候就有很多人不淡定了,说为什么会长囊肿呢?囊肿会不会癌变呢?
下面就带大家详细地了解一下:
囊肿,顾名思义,就像是囊袋一样的肿物。在这层“薄膜”包裹的囊袋内,可能装着普通的渗出液,也可能装着感染性的血性液体,也能包裹着牙膏一样的分泌物。大多数囊肿都是良性的,无明确的发病原因,有可能是先天性的,也有可能是炎症导致,可以长期存在。常见的囊肿有皮肤囊肿、肝囊肿、肾囊肿、卵巢囊肿等等。

肾囊肿
由于囊肿属于良性病变,在临床上由囊肿转变为肿瘤的案例少之又少,因此囊肿在绝大多数情况下,是不会发生癌变的。人们所顾忌的肿瘤,又良恶性之分,是局部组织异常增生形成的新生物,里面可包含丰富的血管。如果生长较慢,与周围分解清楚,是良性的肿瘤,比如各种增生,腺瘤等;如果肿瘤周围分界不清,活动性差,能够引起身体出现恶病质具有侵犯周围正常组织,能够转移扩散的则为性肿瘤。因此从这一点来说,囊肿和肿瘤是完全不同性质的东西。

肿瘤
也就是说,大多数囊肿在临床上一半无需处理。但是医生提醒:如果囊肿出现在这三个地方,那么需要引起高度警惕:
一、胰腺
胰腺囊肿在临床上本身就比较少见,但是在欧美国家较为常见。据美国约翰霍普金斯大学癌症研究中心研究发现,美国70岁以上人群中有大约25%的老人有胰腺囊肿。但是,值得注意的是,胰腺囊肿有真假之分:
①胰腺假性囊肿
胰腺出现假性囊肿,多数都是在胰腺炎、胰腺手术或胰腺外伤之后形成的。这种囊肿多为继发性的,没有被覆上皮,正因为如此,如果假性囊肿形成不及时处理,会导致破裂影响胰腺,分泌胰液,甚至有导致胰腺周围的动脉破裂大出血的风险。当然假性的囊肿容易破裂也容易引起腹膜炎感染。

胰腺假性囊肿
如果假性囊肿较小、没有有严重感染则可以多进行B超观察,多数可以自行吸收。如果假性囊肿较大,则考虑手术治疗。
②胰腺囊肿
如果胰腺上出现有被覆上皮的囊肿,则为胰腺囊肿。真性的胰腺囊肿较为少见,多为先天性的。和普通囊肿一样,真性的胰腺囊肿多数不需要处理。
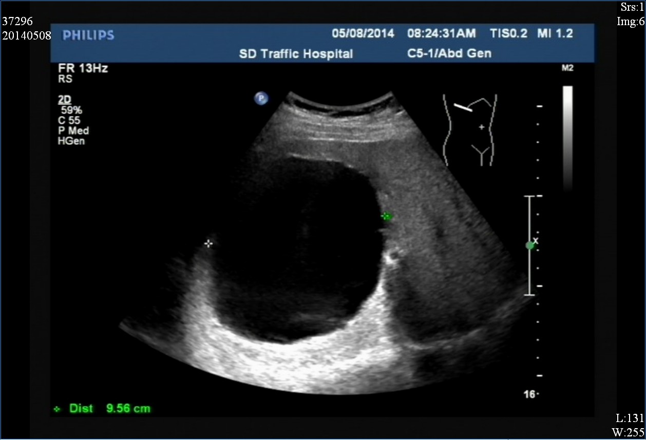
二、卵巢
卵巢囊肿是女性十分常见的一种囊肿,多见于生殖期女性,多数与内分泌系统、环境因素、不良的生活习惯、家族病史等导致。既然那么常见吗,为何还要引起警惕呢?因为,卵巢囊肿也分两种情况:生理性囊肿和病理性囊肿。
①生理性卵巢囊肿:生理性囊肿多数因女性月经期间的雌激素水平高低影响有关,主要为黄体囊肿和滤泡囊肿。生理性囊肿一般无需处理,但是如果直径大于5厘米,且出现了不适症状,需要及时就医,由医生严格评估是否需要手术切除。

巨大的卵巢囊肿
②病理性囊肿:由于生理性囊肿多因月经期间的雌激素影响,因此它的出现与月经期有关。但是如果超过3个月的月经期,囊肿仍未消失甚至有变大的迹象,那么要考虑为病理性囊肿。病理性囊肿如果再合并以下4个条件,则应及时切除:
Ⅰ、直径大于5厘米,持续半年不消失或有长大趋势;
Ⅱ、直径大于6厘米,应直接切除并送病理;
Ⅲ、如果B超检查发现囊肿为实性,则不论大小一律切除;
Ⅳ、绝经后的女性如果出现卵巢囊肿,多考虑为恶性的卵巢癌,应直接切除。
三、肝脏
前面都说了肝囊肿很常见,为什么肝囊肿还需要引起警惕呢?因为,肝囊肿中有一个很特别的囊肿,需要高度警惕:寄生虫性肝囊肿。
所谓寄生虫性肝囊肿,即是因为寄生虫侵犯了肠道,在其内部产卵筑巢。而幼小的卵虫会顺着血管进入到肝脏内,诱发肝脏囊肿。因此也称之为肝包虫病。

肝脏囊肿
由于寄生虫性肝囊肿多会产生较多的刺激性物质,容易对肝脏的功能产生影响,因此如果发现确诊了肝包虫病,且伴有肝功能的异常,应及时有效的对症处理。
当然,非寄生虫性肝囊肿如果直径超过了10厘米,会引起局部压迫性的症状,则应该手术治疗。
综上所述,体检查出囊肿不要过分担心,大多数囊肿都是良性病变无需处理,但是囊肿如果出现在了胰腺、卵巢和肝脏上时,可能会引起较大的健康风险。因此,这些地方的囊肿需要根据实际情况具体辨别后,及时治疗。#健康明星计划#
看了本文,相信大家对囊肿或许有了新的认识。如有疑问,欢迎大家留言,我会详细回复帮助大家解疑答惑。
(参考自:BTV我是大医生。仅供科普学习,如有侵权,联系删除,谢谢。)