似“瘤”非瘤,海绵状血管瘤虽名叫“瘤”,但并非真正的肿瘤,其实是众多薄壁血管组成的海绵状异常血管团,外观为紫红色、表面呈桑球状、剖面呈海绵状或蜂窝状,其血管壁缺少肌层和弹力层。此外,它与肿瘤不同,海绵状血管瘤的治疗要根据具体的情况进行具体的分析,如果瘤体非常小且没有明显症状,可以暂不处理。

33岁的张先生是肇庆人。2021年5月前后,张先生突然癫痫发作,表现为吐字不清、右脸肌肉抽搐。当地医院检查提示张先生的左额叶、左顶叶、左颞叶及右侧丘脑均存在多发高密度影。医生考虑是多发脑出血。为求进一步治疗,找到广东三九脑科医院神经外六科。
我院完善颅脑MR检查后,明确患者为左侧额叶病灶存在出血。进一步完善脑电图等检查,经科室讨论,考虑患者为颅内多发海绵状血管瘤。“病灶位置多达十几处,位置比较分散,一次手术无法全部清除。”神经外六科主任吴杰分析,病灶虽多,但只有左额叶病灶伴有出血,且该病灶为致痫灶,有手术适应症。
完善相关检查,征得患者及家属同意,神经外六科团队在神经导航引导下为患者实施左额海绵状血管瘤切除术。
术后病理:海绵状血管瘤,伴出血。术后,张先生恢复情况良好并顺利出院。一月后,神经外六科回访得知张先生未再出现癫痫发作。

到去年11月底,张先生如期返院复查。当时的颅脑CT检查结果提示其右颞海绵状血管瘤有少量出血。“虽然目前没有出现症状,但病灶反复出血会对脑功能造成损害,建议尽快手术。”听了吴杰的分析后,张先生决定再接受手术切除右颞海绵状血管瘤。

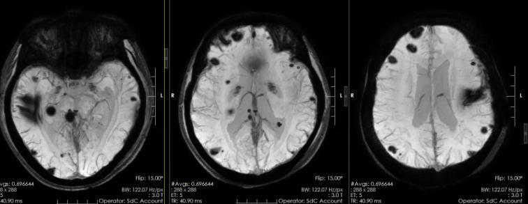
术前头颅MRI:颅内多发海绵状血管瘤

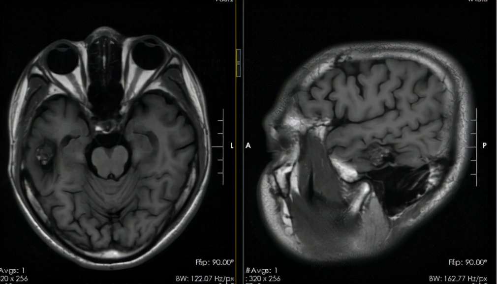
术前头颅MRI:右侧颞叶海绵状血管瘤伴出血
术后,患者恢复良好,术后病理结果:结合临床及影像,符合(右侧颞叶)血管畸形,伴出血。张先生住院治疗一段时间后再次顺利出院。

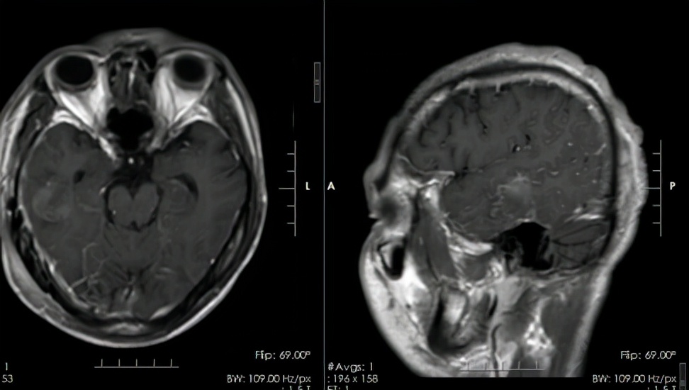
术后头颅MRI:右侧颞叶海绵状血管瘤切除术后

吴杰介绍,海绵状血管瘤是一种血管畸形,可发生在中枢神经系统的任何部位,主要临床表现有癫痫、颅内出血、头痛、恶心、呕吐等。
那对于张先生颅内其他考虑为海绵状血管瘤的病灶需要手术处理吗?
“患者为颅内多发海绵状血管瘤,病灶多达十多个,无法一次性全部切除,但亦不必全部清除。”吴杰解析,无症状或仅有轻微头痛的海绵状血管瘤,不需处理,定期复查即可。但对于已经出现明显症状的海绵状血管瘤患者,应进行手术治疗。手术治疗的目的是消除病灶出血风险,减少或防止癫痫发作,恢复神经功能。