(声明:本文仅用于科普用途,为了保护患者隐私,以下内容里的相关信息已进行处理)
【基本信息】男,16岁
【疾病类型】牙髓炎
【治疗医院】山东聊城市人民医院(三甲)
【治疗方案】25根管治疗
【治疗周期】操作40分钟,随访2月
【治疗效果】患者根管治疗后疼痛控制效果好
一、初识患者
一位年轻人一边捂着左脸,一边说道:“医生,我好疼啊,你能看一下我牙齿咋回事吗?”,我让患者躺在牙科床上后,开始询问他的发病情况。
据患者描述,他今年16岁,平常比较喜欢吃零食等比较精细的食物,也没有好好刷牙。大约半年前他照镜子发现上侧后方大牙发黑,用舌头舔齿时能明显感觉到一个凹陷,但他并没有选择就诊接受治疗。
慢慢地牙齿凹陷不断变深,还时常有食物塞在凹陷里,1个月前患者牙齿更是出现冷热痛、夜间痛,牙龈肿痛、溢脓的情况,疼痛使其辗转难眠,于是拖了一阵子后来到我院就诊。结合患者症状可以得知龋坏波及牙髓(牙神经),为了确认患牙位置,我准备对患者的口腔进行了检查。

二、患者的治疗经过
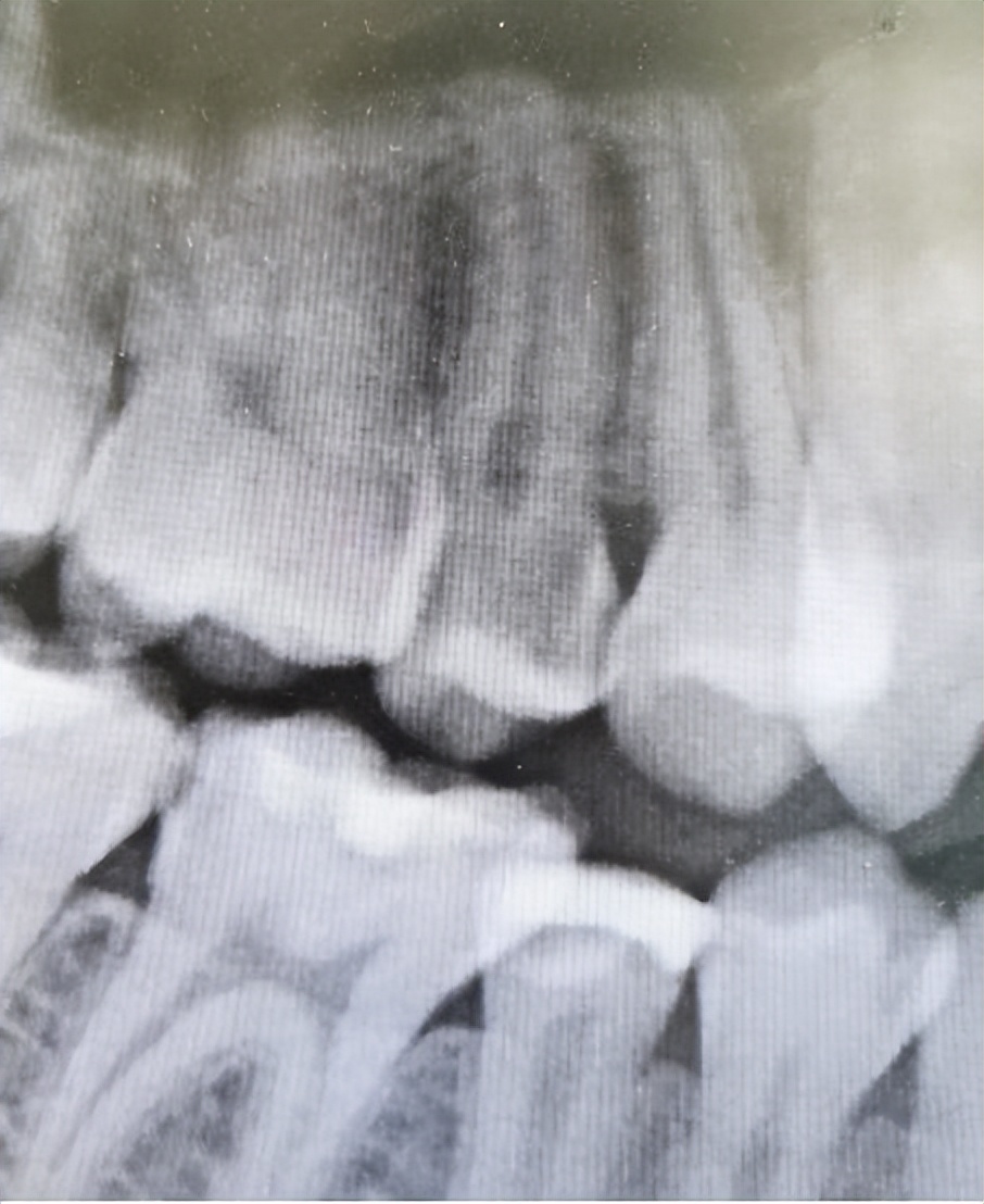
经过系统的口腔检查,我发现患者25牙近中远中邻颌面有深大龋坏,腐质多,检查过程中患者出现痛感,停止操作后,持续疼痛一分钟左右,牙龈缘轻度红肿,对冷刺激敏感。同时X线提示:25牙冠龋坏已经到达髓腔(牙神经)。由于患者对冷刺激敏感,影像学发现牙神经受到炎症波及,有深大龋洞,符合牙髓炎表现,遂诊断为“25牙髓炎”。
因为患者龋坏已经波及牙髓,而且有夜间痛、冷热刺激痛等症状,所以必须马上处理,经过和患者沟通,决定行25根管治疗处理。根管治疗是指用手工器械等方法抽出牙齿坏死的牙髓,然后在牙齿根管内放置抗生素和消炎药,进而用牙胶以及充填等材料,封闭根管通道及充填牙冠部的缺损一种方法,它是是目前唯一,也是最好的解决牙髓炎的治疗方式。
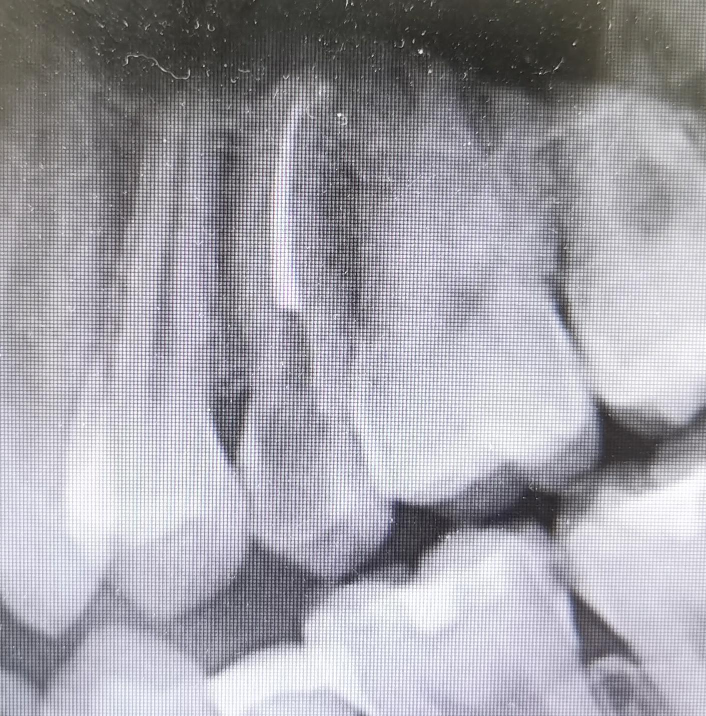
因为根管治疗需要利用牙科手机及车针暴露牙髓,继而去除牙齿的龋坏,这个过程可能使牙神经受激,引起较剧烈的疼痛。为了减轻患者疼痛,操作前给予甲哌卡因局部浸润麻醉,然后在根管下打开牙齿髓腔去除龋坏,并完成拔髓,最后给予iRoot sp+热牙胶加压充填,复拍X片恰填后,使用光固化玻璃离子充填,使牙齿冠部暂时封存。并告诉患者1-2周后复诊,进行最后一次桩冠修复。

三、患者在治疗中的注意事项
1、尽量不用患侧咀嚼及刷牙,因为根管治疗第一步后,冠部会用暂时材料将缺损位置填封,防止脱落。
2、根管治疗后回家的前几日,患牙可能暂时会出现涨痛以及咬物痛症状,患者无需担忧,这属于正常现象,如果患牙出现明显牙齿剧烈疼痛的症状,那么应该及时来医院就诊。
四、患者的治疗效果
术前患者25牙近远中及咬合面存在深大龋坏,术后患者腐坏牙体组织去除干净,牙髓炎症感染控制,根管及冠部填充完美,咬合没有出现不适症状,疼痛消失,嘱其避免喝碳酸饮料,少吃甜食,多吃富含维生的的绿色蔬菜,用巴氏刷牙法刷牙,定期来到口腔科复查,随后予以离院。

五、患者在日常生活中的注意项
1、口腔检查:了解口腔健康知识,合理摄取营养,每年洁牙一次以及进行一次口腔检查,蛀牙要及时进行充填治疗,如果因疼痛而来,此时亡羊补牢,为时已晚。
2、保持口腔清洁:去除牙菌斑,可以控制蛀牙的深层发展,其中刷牙是最简单易行的方法。正确的刷牙方法:手持牙刷柄,刷毛倾斜45角,将牙刷毛束尖端放在牙龈和牙冠交界处,顺着牙齿的方向稍微加压,刷上牙时向下刷,刷下牙时向上刷,牙的内外面和咬合面都要刷到。
3、患牙根管治疗后如出现轻微疼痛,可先观察,如疼痛进一步加重,出现咬合痛或自发痛,应及时复诊治疗。

六、医生感悟
牙髓炎是牙齿髓腔内的感染性疾病,它主要是由于龋齿发展到一定程度后穿入牙髓腔导致。由于髓腔内牙神经受炎症物质直接刺激,所以牙髓炎疼痛很剧烈。如果牙髓炎未经治疗,会导致牙根完全龋坏、脱落结局,或者病原体入血引发严重的全身性感染。
对于牙髓炎,患者最开始心存侥幸,觉得吃药就能好。但药物治疗只是治标不治本,要彻底解决疼痛症状,唯一办法就是根管治疗。因此,在明确患者诊断后,我第一时间给患者进行了根管治疗。
但是根管治疗后,牙髓内牙神经和血管被人为摧毁,牙齿血供消失,营养和钙交换随之消失,因此牙齿脆性增加,变得极其脆弱。所以除了根管治疗,患者还需要进行桩冠修复,以保护根管治疗后的患牙,减少牙齿劈裂的风险。
虽然治疗能够解决患者牙髓炎问题,但是对于这类口腔疾病,最好的治疗方法是预防。所以在治疗后,我告知患者回家要做到早晚刷牙,养成饭后漱口的好习惯;少吃酸性刺激食物,临睡前不吃零食;少吃含糖分高的食物,如:糖、巧克力、饼干等;不吃过于坚硬的食物,以免牙齿磨损;同时定期回院检查口腔。
姓名:白广亮
单位:山东聊城市人民医院
科室:口腔科
职称:主治医师