:头晕、头痛,难受!
:赶紧去医院检查一下。
:有这么严重吗?吃点止痛药就行。
:错,要引起重视,可能是颅内有病变!

近日,50岁的李阿姨(化名)慕名来到我院,李阿姨说:“我头痛、头昏已经5年了,之前因为症状较轻,就自己买了一些止痛药吃,最近一个月,越来越疼,我怀疑是不是脑袋里面长了什么东西,也去其他医院看过,听说三博江陵医院有北京过来的专家坐诊、手术,在脑科方面很强,过来看看。”
三博癫痫与脑功能性疾病诊疗中心重庆分中心主任、神经外科主任刘长青教授接诊后,仔细询问了患者情况,查看了外院头颅CT平扫结果,考虑海绵状血管瘤,建议入院完善相关检查。

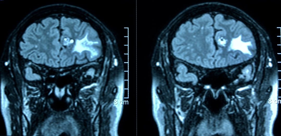
头颅MRI增强显示:左侧额叶中线旁爆米花样混杂信号肿块,双侧额叶、颞叶软化灶伴胶质增生。脑电图显示:左额有癫痫样放电。

结合CT、MRI增强、脑电图检查结果,诊断为:左侧额叶海绵状血管瘤,左额叶软化灶,患者之前的头晕、头痛症状就是因此引起。患者目前不仅有海绵状血管瘤,并且脑电波异常,虽然目前没有明显的癫痫样发作,但是以后严重了会出现临床症状,刘长青教授建议患者手术治疗,切除海绵状血管瘤,解除出血风险,同时去掉癫痫灶。
在与患者及家属充分沟通后,5月9日上午,由刘长青教授主刀,李云副主任医师为助手,在静吸复合麻醉下进行冠切左额颞入路左额叶海绵状血管瘤切除+软化灶切除+颅骨修补术。术后,患者恢复非常快,12天即拆线出院。

手术切口标记

术中切除的额叶内菜花状血管畸形团

术中切除的左额叶内软化灶病变体

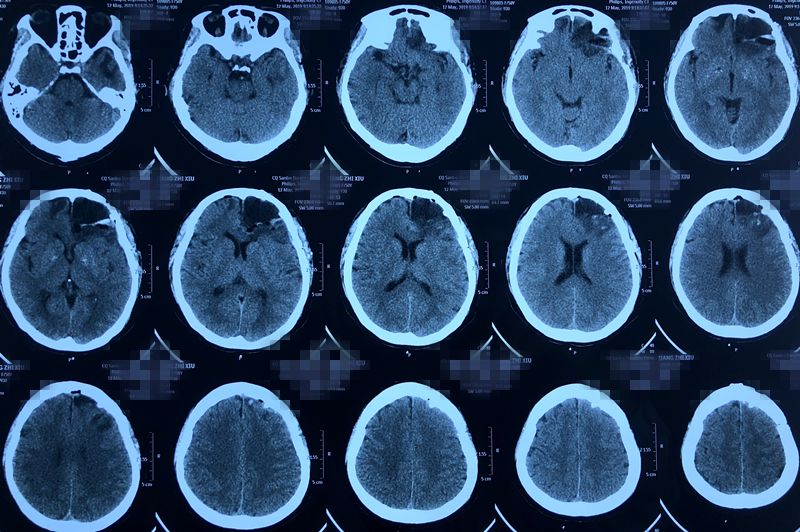
术后复查头颅CT,显示病变切除
认识海绵状血管瘤

脑海绵状血管瘤是指由众多薄壁血管组成的海绵状异常血管团,这些畸形血管紧密相贴,血管间没有或极少有脑实质组织。它不是真正的肿瘤,按组织学来分的话它属于脑血管畸形,在中枢神经系统的血管畸形中占第二位,仅次于颅内动静脉畸形。
海绵状血管瘤的早期症状及表现?
海绵状血管瘤早期可能无症状或仅有轻微头痛,常因影像学检查而发现本病;超过半数的患者会有癫痫发作的症状;海绵状血管瘤还会引起颅内出血、局部神经功能缺失等症状。
专家在线
刘长青
博士、副主任医师
首都医科大学
副教授
硕士生导师

教育及工作经历
2008年毕业于华中科技大学同济医学院,获得神经外科硕士学位;2012年毕业于首都医科大学,获得神经外科博士学位,师从著名功能神经外科专家栾国明教授。2013年赴美国克利夫兰Case university hospital跟随国际著名癫痫病专家luders教授学习,2014年赴加拿大蒙特利尔Montreal Neurological Institute学习。从事功能神经外科13年,收治癫痫及功能神经疾病患者2400余例,参与完成癫痫切除手术及功能疾病的神经调控手术1500余例。
科研及教学
主持国家十二五课题、精准医学课题、首都卫生发展专项、首都临床特色应用研究等国家级、省部级课题8项,科研经费100余万;在Journal of neuro-oncology、Oncotarget、中华神经外科杂志、中国微侵袭神经外科杂志等SCI及核心期刊发表学术论文26篇;参与编写著作4部;带教进修医生50余名,带教研究生10余名;多次参加国际功能会议、亚洲及太平洋癫痫大会、亚洲癫痫外科大会及国内功能会议,并做大会发言。
擅长
癫痫、帕金森、肌张力障碍、原发性震颤、抽动秽语综合症、舞蹈病、脑性瘫痪、面肌痉挛、三叉神经痛、顽固性疼痛、痉挛性斜颈、糖尿病足、植物人促醒等功能神经疾病及功能区脑肿瘤的外科治疗。
青年骨干
李 云
副主任医师

中国非公医疗机构协会神经外科专委会委员,重庆市企业医院协会神经外科专委会委员
擅长:急危重颅脑创伤的临床救治、高血压脑出血的外科手术治疗;颅内肿瘤(垂体瘤、听神经鞘瘤、颅咽管瘤、胶质瘤、脑膜瘤等);脊髓脊柱损伤、椎管内肿瘤的诊疗;三叉神经痛、面肌痉挛的显微血管减压手术;颈内动脉粥样硬化斑块内膜剥脱术;脑血管畸形团切除术、颅内动脉瘤夹闭术、癫痫的外科评估、帕金森病的诊治等方面的诊疗。

重庆三博江陵医院
技术 品质 服务
高端技术服务普通大众
首都医科大学三博脑科医院(总院)
卫生部国家临床重点专科(神经外科)
中国抗癫痫协会临床实践与培训基地
重庆市城镇职工医保、城乡合作医保
工伤、生育、商业保险定点医院
特病鉴定医院
异地医保结算医院
咨询:023-67933011
18102346936(24小时)
医保:023-89231080
急救:023-67930120
医
院
地
址
江北区大石坝街1号
官 网:www.sbnkjl.com
公众号sbjlyy
猛戳有惊喜