俗话说“人有三急”,但对于前列腺增生的患者来说,就不是一个“急”字能概括的了,尿频、尿急、尿*禁失**、夜尿增多,排尿困难、排尿不尽、尿后滴沥......
案例分享
高大爷(化名)今年79岁,2年前在无明显诱因下出现 尿频、尿急、尿不尽、夜尿次数增多,最多可达4-6次 等症状。因当时对症状未给予重视,导致病情反复发作,病情渐重出现 小便淋漓不尽,同时伴有下腹坠胀不适 的症状。遂至我院就诊,泌尿外科门诊拟“前列腺增生”收治入院。
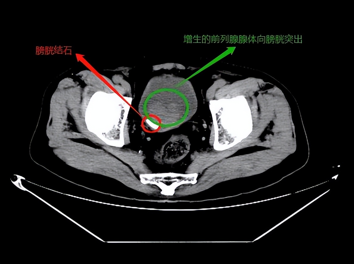
通过彩色超声波检查显示:前列腺增生,伴有膀胱多发性结石。



经术前相关检查,泌尿外科秦主任团队决定为患者行: 经尿道前列腺等离子电切术+经尿道膀胱结石钬激光碎石取石术 。手术过程顺利,出血少,术中心率及血压平稳,术后安全返回病房。
泌尿外科科普时间
所有的男性都有或多或少的前列腺增生,只是年龄的高低不同病情轻重不一而已。如:31-40岁男性患病率为8%,51-60岁男性患病率为40%-50%,80岁以上男性患病率为80%以上。
前列腺不是疾病,而是男性正常一个性腺器官的名称。它的大小、外形和一颗栗子差不多。包在尿道和输精管外面,上面紧邻膀胱,后面靠着直肠。


前列腺增生,就是前列腺增大了。因为尿道从中通行,增大的前列腺会挤压尿道并阻塞膀胱出口,进而引发一系列症状。
经尿道前列腺等离子电切术
良性前列腺增生(BPH)在老年男性中非常普遍,影响他们的生活质量、性功能和泌尿生殖健康。经尿道等离子前列腺切除术 (TUPKP) 是治疗BPH重要的外科手术之一,是一种微创手术。

前列腺等离子电切术使用一种叫做“电切镜”的器械,将电切镜由尿道口伸入后尿道的前列腺部,它可以通过摄像头和电视看到尿道里面的情况,从尿道里面像开挖遂道一样将前列腺切除,然后将切下来的前列腺碎块从电切镜中用水冲出。一次成功的前列腺电切术可以使前列腺增生的老人摆脱排尿困难的尴尬,提高患者的生活质量。
与以往的开刀手术相比较,经尿道前列腺等离子电切术的优点有:
● 无需开刀
● 创口微小
● 时间短
● 不伤身
● 治疗高效,并发症少
前列腺增生有哪些症状
前列腺位于膀胱出口,是尿道起始部位的腺体,主要分泌前列腺液和一些激素,起到保证精子活力和控制排尿等功能。
前列腺会随着我们年龄增长逐渐地增大,初期表现为: 尿频、尿急、尿痛、夜尿增多 ,随着尿路梗阻的加重,则会进一步的出现: 排尿踌躇、尿线变细、尿后滴沥不尽 等症状,最终则会演变为尿潴留、膀胱结石、疝气、肾积水严重者甚至会有尿毒症等并发症的发生,这些症状都极大的影响着我们的生活质量。
前列腺增生后,表面黏膜上毛细血管充血及扩张,容易破裂出血。 上面描述的尿潴留症状,如果得不到及时处理,会导致双肾积水,影响肾功能,严重时出现尿毒症。长期排尿不畅、膀胱内残留尿液会引发泌尿系感染,混浊的尿液沉积还会形成膀胱结石。
前列腺增生的注意事项
如果患者没有明显的症状,或者症状非常轻微对生活质量影响较小,可以选择等待观察,这需要医生询问病情后做出判断。定期监测前列腺体积,但为了不加重前列腺增生的情况,生活中需要注意以下几点:
1、注意避免接触或尽量减少酒精、咖啡因、辛辣刺激食物。乙醇和咖啡具有利尿和刺激作用,可以引起尿量增多、尿频、尿急 等症状;
2、合理饮水:适当限制饮水量和注意饮水时间,比如晚上睡觉前2小时要少喝水,但每天的饮水量要≥1500ml;
3、宜清淡饮食,多吃新鲜的蔬菜,新鲜的水果,富含维生素的食物,包括干果食物,忌食油腻性较多的食物;
少数前列腺增生患者最终需要手术治疗来解除病痛。中重度下尿路症状明显影响生活质量者,尤其是药物治疗效果不佳或不愿意药物治疗者,当出现反复尿潴留、反复血尿、反复泌尿系感染、膀胱结石、继发肾输尿管积水时,一定要及时就医并谨遵医嘱。