前几日一位朋友打来电话说家里老人突然生病了,说是脑出血,当地说要手术,他得往家里赶,听其口气有些着急,但他对病情了解不是太详细,他只想知道目前老人应该如何处理最好?是选择保守,还是手术?如果手术,微创与开颅哪个更好?我说你莫慌,需要具体问题要具体分析,兵来将挡,水来土淹。

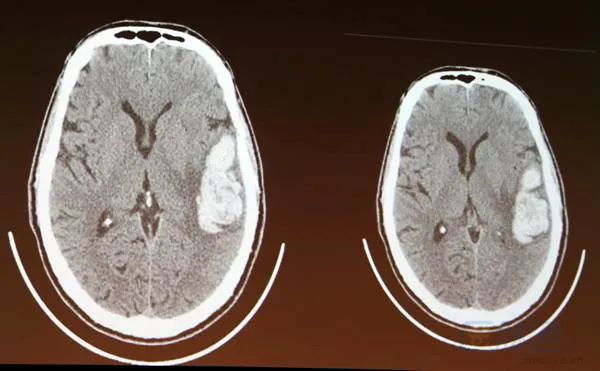
脑出血的CT表现
一、脑出血,到底是一个什么病?
我们一般人说的脑出血,指的是脑实质出血, 发生于基底核区、丘脑、脑室、小脑及脑干等部位,主要为高血压脑出血(HICH),一般需排除外伤、动脉瘤和AVM等血管病,以及肿瘤、血液系统性疾病等继发性出血。这部分占出血性卒中的大部分(70-80%),具有高发病率、高病死率、高致残率、高复发率的特点。其中高血压是第一位病因,用力过猛、气候变化、饮酒、情绪激动、过度劳累等为诱发因素。
本病发病大多数较急,冬季较多,表现为偏瘫、偏身感觉障碍和偏盲(三偏),以及头痛、呕吐、言语不清,甚至意识障碍,呼之不应,此时应在现场简单紧急处理后尽快送有救治条件的医院。同时进行生命体征、心电、血氧的监测,以及意识状况、瞳孔大小及肢体活动的动态评估;并清理呼吸道,保持呼吸道通畅,建立静脉通道,尽快行头颅CT检查。
头颅CT平扫是简单快速的检查,可明确HICH诊断。有时根据情况还需CTA、MRI、MRA、MRV及DSA排除。平扫CT和CTA上的“斑点征”“黑洞征”“混杂征”及“岛征”有助于判断血肿扩大的风险。

脑出血急救流程
二、脑出血诊断明确后,有哪些关键的治疗措施?
脑出血是急性发病,诊断一旦明确,就需要尽快确定治疗方案,首先需要确定是否需要手术?如果不考虑手术或手术之前,应该有哪些非手术治疗措施?
脑出血是急症,也是重症,其非手术治疗措施或保守治疗也是治疗中重要一环。治疗首要原则是保持安静,稳定血压,防止继续出血,根据情况,适当降低颅内压,防治脑水肿,维持水电解质、血糖、体温平衡;同时加强呼吸道管理及护理,预防及防止各种颅内及全身并发症。其中最重要的是血压的管理,因为它是再出血的关键点。
非手术治疗措施:
1、因为刚性颅骨的限制,颅内容积有限,急性血肿很小体积就会表现出占位效应,造成颅内高压,必需进行处理,防止脑移位甚至脑疝,有时可行有创性ICP监测,可根据具体情况选择甘露醇等药物减轻脑水肿,降低ICP;
2、高血压是脑出血发病的直接原因,也是再出血的重要因素。因此降压处理尤为重要,一般情况下将收缩压降至140mmHg是安全的(收缩压在150-220 mmHg患者),而对血压极高患者(收缩压>220mmHg)需在监测下强化降压;
3、伴躁动者,往往是重症,会加重氧耗和血压波动,需行镇静镇痛治疗;
4、对于止血药可以适当应用,因为目前认为氨甲环酸可以降低患者血肿扩大的发生率,但并不能改善生存率及神经功能预后。
其它方面,生命体征、内环境及并发症需进行多方位监护,对血糖、体温、癫痫、感染、血栓形成等行针对性处理。

向左走,向右走?
三、脑出血,手术处理是选择开颅,还是微创?
外科手术对于本病有时是关键先生。脑出血外科处理的主要目标在于及时清除血肿、解除脑压迫、缓解严重颅内高压及脑疝、挽救患者生命,并尽可能降低由血肿压迫导致的继发性脑损伤和残废。目前外科治疗方式包括:开颅血肿清除术、小骨窗开颅血肿清除术、神经内镜血肿清除术、立体定向血肿置管引流术,但各国指南上并不统一,五花八门,各显神通。保守治疗与手术治疗?开颅手术与微创手术?内镜手术与立体定向微创血肿清除术?脑干血肿的手术?功能区血肿的外科治疗是否有必要?
脑出血的外科治疗其核心在于如何应用最小的有创技术最安全地、最大程度地清除血肿,可喜的是目前中国专家达成以下一些共识:
1.对幕上HICH患者,若出现严重颅内高压甚至脑疝,这时血肿量一般较大且较急,应紧急行去骨瓣减压术和/或手术清除血肿;
2.对幕上血肿(>30mL)可采用立体定向血肿穿刺术,并结合纤溶药物治疗,最后血肿残存量<15mL可明显改善预后;
3.对幕上HICH患者,神经内镜要较传统开颅血肿清除术更好;
4.脑室出血患者,采用脑室外引流术,可加快打通脑脊液循环通路;
5.对于出血量>10 mL小脑出血合并脑干受压或梗阻性脑积水患者,开颅手术可以挽救生命;对重型脑干出血,手术治疗可以降低病死率;
6.手术时机强调早期,发病6—24h最好。

面对血肿,开颅手术与微创手术,各有优缺点。随着以立体定向和内镜手术为代表的微创技术兴起,脑出血的治疗效果也越来越好。立体定向,是一种精准定位方法,可以在避开重要的脑组织和血管,对脑组织创伤很小的情况下,帮助医生更准确、高效地到达出血部位,完成抽吸动作,尽快地清除血肿,促进功能恢复。内镜手术则是直视下直接清除血肿,安全性较高。随着微创手术定位方式的精确性与可视性的提高,微创手术适应症逐渐扩大。
脑出血的治疗是一个系统工程,除了急性期治疗外,更应强调康复、预防,和健康管理。脑出血的二级预防主要针对患者的具体病因,如高血压、糖尿病、动脉粥样硬化、吸烟及高脂血症等有针对性地干预。
参考:
中华医学会神经外科学分会, 中国医师协会急诊医师分会, 中华医学会神经病学分会脑血管病学组, 国家卫健委脑卒中筛查与防治工程委员会。《高血压性脑出血中国多学科诊治指南》,中国急救医学 2020,40(8):689-693

困难的选择
-----------------------
作者介绍: 卢旺盛 医学博士
强联智创(北京)科技有限公司 首席医学专家
北京天坛普华医院神经外科 副主任医师