今天从多个角度聊聊CT平扫的价值~
动脉夹层是急症中的急症,随时有生命危险,增强CT诊断动脉夹层一般不难。主动脉夹层常表现为突发的剧烈胸背或腹部撕裂样疼痛,常伴血压升高,但是部分患者症状不典型,甚至没有疼痛感,掌握CT平扫对动脉夹层的诊断价值,有时候可尽早发现潜在的巨大危险!
有些小伙伴可能要说了,你家的CT分辨率高,平扫当然可以发现动脉夹层的线索,我们家的CT分辨率稀碎,看个锤子啊!
淡定,今天从多个角度讲CT平扫的价值,有时候CT分辨率不好,也可以发现动脉夹层的线索!
病例1
下图的胸部CT平扫,有什么大问题?

图1
火眼金睛的小伙伴可能发现了,主动脉有问题,动脉破裂了?

图2
然而,先冷静!这个阴影是半月形的略高密度阴影,是片状的,是不均匀的,这个是伪影!增强扫描,主动脉很正常!

图3
病例2
下图的胸部CT平扫,有什么大问题?

图4
仔细一看,主动脉里面有线样高密度阴影!这个要高度警惕主动脉夹层!

图5
增强CT一看,吓到一大片!太惊悚了!

图6
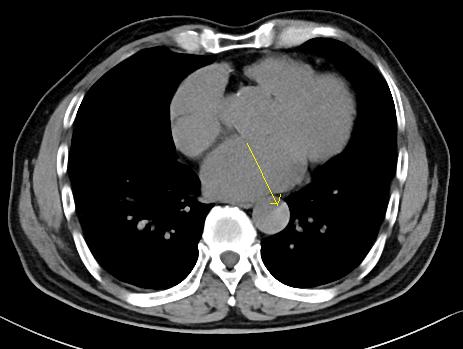
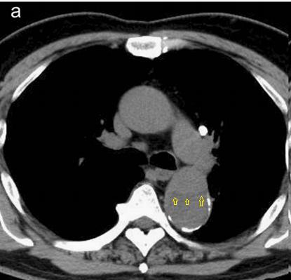
病例3
下图的胸部CT平扫,有什么致命的问题?

图7
仔细一看,主动脉里面有线样阴影!并且,线样阴影两边的密度一高一低!

图8
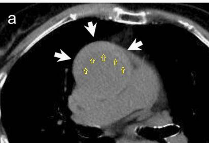
增强CT一看,主动脉夹层,密度相对高的是流动的血液!

图9
病例4
鲁迅说:孔乙己大约的确已经挂了!
下图的胸部CT平扫,基本上大约肯定可以看到一条线样阴影,将主动脉一分为二!

图10
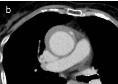
增强CT一看,主动脉裂开了!

图11
病例5
鲁迅说:孔乙己大约的确已经嗝屁了!
下面的CT平扫,我感觉吧,我隐隐约约基本肯定看到主动脉夹层了!

图12
不行,你再看看,越看越像!

图13
增强CT一看,主动脉的确裂开了!

图14
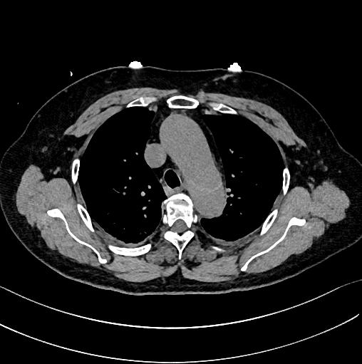
病例6
有些小伙伴开始着急了: 鲁迅你别说了,我们家的CT分辨率低,平扫绝对看不出动脉夹层!
下图的胸部CT平扫,有什么致命的问题?

图15
血管壁钙化啊,老年人很常见啊,能说明个锤子!
注意,看下面,钙化在血管的里面,不是在管壁!难道是血液钙化了?血液钙化?什么鬼?

图16
这不是血液钙化,这是主动脉夹层导致的血管钙化内移!血液不会钙化,因为动脉夹层,导致钙化的内膜被压迫进入血管!
增强CT一看,就一清二楚了!

图17
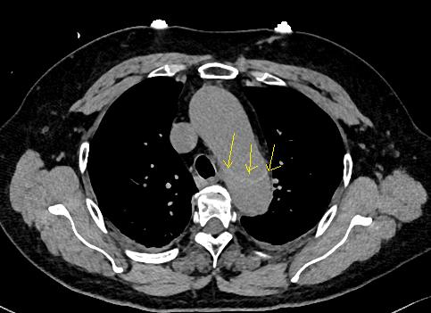
病例7
你看,我家的CT这么模糊,平扫怎么看主动脉夹层?

图18
不着急!仔细看,血管里面的“血液”居然钙化了!这叫血管钙化内移,要警惕主动脉夹层!有研究发现,血管钙化内移诊断动脉夹层的特异性高达90%。

图19
赶紧做个增强CT!主动脉裂开了!

图20
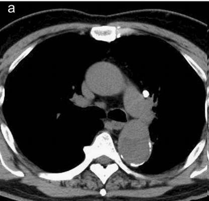
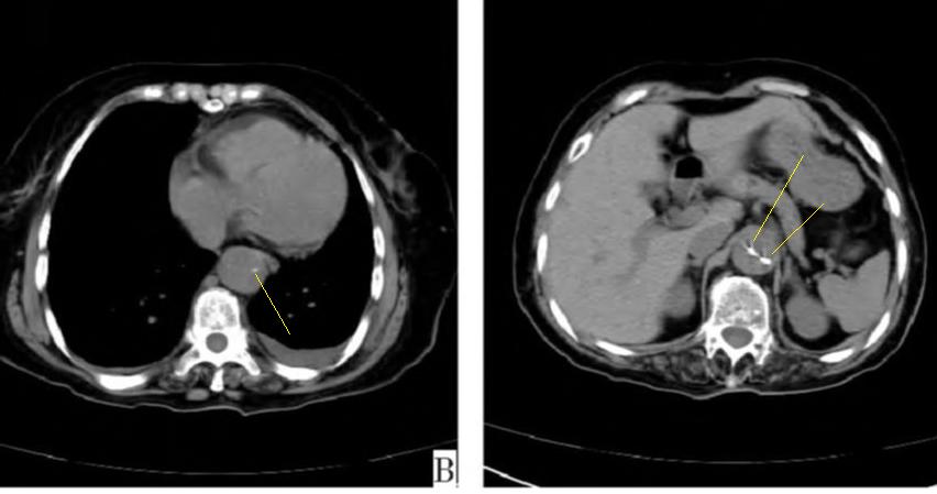
病例8
查到一篇文献,作者虽然用箭头标记了,并且是增强CT,但是鲁迅说:我大约肯定没有看出来,这是主动脉夹层!

图21
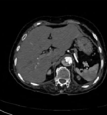
病例9
下面这个CT平扫,似乎有大问题!

图22
什么问题?似乎这里有大问题!

图23
同学,你眼神太好使了!
很可惜,这个不是问题,很多CT平扫都有这种线样阴影!
做个增强CT一看,哇,同学,你不光眼神好,运气也不是一般的好!

图24
总结
血管钙化内移,高度警惕动脉夹层,但不是绝对的!
血管内线样阴影,警惕警惕动脉夹层。记住,鲁迅说了,大约肯定有血管内线样阴影,才要怀疑动脉夹层,如果隐隐约约不肯定,不要过度诊断!
下图是:大约肯定有血管内线样阴影!

图25
下图是:隐隐约约不肯定有血管内线样阴影!

图26
参考文献:
1.李敏,等.薄层CT平扫对主动脉夹层诊断的价值[J].国际医学放射学杂志,2020,01:13-16.
2.Hata A,et al.Deep learning algorithm for detection of aortic dissection on non-contrast-enhanced CT[J].European Radiology,2020.
本文首发:医学界呼吸频道
【版权声明】本平台属公益学习平台,转载系出于传递更多学习信息之目的,且已标明作者和出处,如不希望被传播的老师可与我们联系删除