大家平时看病问诊都是直面接触于门诊、临床医生,其实医院中还有这样一个群体,他们结合自己的专业知识,应用病理切片、显微镜等做出病理诊断报告,以此来与临床医生和患者们进行沟通,他们就是病理医师。
病理诊断报告就是疾病确诊的证据,没有病理诊断,疾病的及早发现与确认将会困难很多。
什么是病理学?
病理学的作用、任务是什么?
病理诊断报告是怎样产生的?

武汉兴图病理首席专家姜茗教授在“好医7周年,大师公开课”直播间为大家进行了解答。

纽约布鲁克戴尔大学医院及
医疗中病理学副教授
美国AGI Medical等六家医疗机构的
临床医学检验及病理诊断实验室医务主任
美国临床病理医师
擅长外科病理,肿瘤外科病理
软组织肿瘤病理,消化道病理
1983年毕业于复旦大学上海医学院临床医学专业;毕业后任卫生部北京医院骨外科医生;1992至1994就读于美国克利夫兰州立大学生物(Department of Biology, Cleveland State University) 博士研究生班。
2001年,在美国克里夫兰凯斯西储大学(Case Western Reserve University)附属大都会医学中心完成外科病理学及临床检验学住院医师规培。
规培期间曾在华盛顿DC美国空军病理所(American Registry of Pathology/Armed Forces of Pathology,AFIP) 完成软组织肿瘤病理亚专业强化培训;之后又在美国巴罗罗斯维尔帕克癌症中心(Roswell Park Cancer Center)接受肿瘤外科高级亚专业病理的强化培训。
1996年通过考核获得美国国外医学毕业生医师执照考试委员会资格证书 (ECFMG);2006年通过病理科特考文凭(解剖/外科病理和临床病理/检验(Combined Anatomic and Clinical Pathology),并于2015年通过再认证特考。
持有国内临床执业医师执照及美国多个州的医师专业执照(纽约州,密西根州,密苏里州,俄亥俄州)。
从2007年至今任纽约布鲁克戴尔大学医院及医疗中心(Brookdale University Hospital and Medical Center)病理学副教授;创办并兼任纽约建联医疗集团(JANLIAN MEDICAL GROUP),美国AGI Medical等六家医疗机构的临床医学检验及病理诊断实验室医务主任。
美国医学会AMA会员;美国病理学院CAP专家会员 (FCAP);美国临床病理学会ASCP专家会员(FASCP),美国加拿大病理学会USCA会员,美国华人医师会ACAP终身会员和病理分会前副主委,中美医师协会CAIPA会员,全美华人病理学会CAPA终身会员,中国非公立机构协会病理专业委员会常委。
我国病理学的发展简史
病理学的发展史既是人类对自身疾病认识的历史和医学的发展史。
我国有着五千多年的文明史,大约在周秦时期就有《黄帝内经》问世,其中有疾病的发生和死后解剖等记载。

隋唐时期巢元方的证候学专著——《诸病源候总论》,又名《巢氏病源》,撰于大业六年(610年),是我国第一部论述各种疾病的病因、病机、病理和证候的专著。

南宋时期著名法医学家宋慈的《洗冤集录》,对尸体解剖、伤痕病变、中毒等都有比较详细的记载,是世界上最早的一部法医学著作,对病理学和解剖学的发展有着重大贡献。
现代病理学真正在中国发挥作用,还不足100年光景,解放后才有了充分的发展。
中山医学院梁伯强、北京协和医院胡正祥、上海第一医院谷镜研、同济医学院杨述祖等,这些前辈们一同开拓了我国的现代病理学体系。
在中国几代病理学家的带领和努力下,中国病理学从无到有,从小到大,发展迅速。
于80年代后期达到了一个相当高的水平,为中国医学诊疗水平的提高作出了巨大贡献。
如今,中国病理学科已有较完整的体系,承担着教学、科研和医疗服务这3大功能。
以这3大功能为基础,病理系(科)分为:
- 承担医教研3大功能的大学病理系;
- 仅承担教研的大学病理系;
- 承担医疗和科研的大医院病理科;
- 仅承担医疗任务的中小医院病理科;
- 第三方独立病理实验室。

自经济转轨以来,在我国医学发展阶段中,病理学却未得到足够的重视。
病理医师人数少,任务重。
人体病理学家卞修武院士曾在2018-2019年的全国*会两**上呼吁,重视医学体系中弱势主干学科的建设。
病理医师仅约占医师总数的1%,总计约2万余人。
如果,以医师与技术员1:1的比例测算,整个病理队伍约4-5万人。
但按每100张床配1位病理医师来算,病理医师队伍的缺口仍然很大。
西方病理学的发展简史
古希腊名医希波克拉底被西方尊为“医学之父”,首创体液病理学,主张外界因素促使体内四种体液(血液、粘液、黄胆汁、黑胆汁)配合失常,从而引起疾病。

18世纪中叶,意大利医学家、解剖学家和病理学家莫尔加尼,将病理解剖发展为一门精确的科学,根据尸体解剖所积累的资料,创立了器官病理学,这是病理形态学的开端,他也被誉为现代病理解剖学之父。

19世纪中叶,德国病理学家魏尔啸在显微镜的帮助下通过病变组织、细胞的深入观察,创立了细胞病理学,认为细胞的改变和功能障碍是一切疾病的基础,该学说至今还继续影响着现代医学的理论和实践。

在上世纪初的美国和加拿大,多数名列前茅的医科院校已经建校,并都设立了病理学系或病理与细菌学系。(如美国的纽约、波士顿、费城、华盛顿、芝加哥和旧金山等地都有较强的病理学专业,并对现代病理学的发展做出了一定贡献。)
脱落细胞学之父——乔治·巴帕尼古拉,1913年开始在纽约康奈尔大学研究室从事医学研究,他于1941年发现了检测宫颈癌早期筛查的涂片检查法,也就是“巴氏涂片法”。

可以筛查出早期的子宫颈癌细胞及癌前病变细胞,使子宫颈癌从一种恶性肿瘤,变成了一种可以提前预防和治疗的疾病。
巴氏涂片法是早期人类对抗癌症的强有力*器武**,在广泛使用40年后,美国的子宫颈癌死亡率降低了70-80%,致死人数从2万降低至4千人。

什么是病理学?
病理学是研究疾病发生、发展的过程和原理,包括病理解剖学和病理生理学两部分。
研究在致病因子和机体反应功能的作用下,机体相关部分的形态结构,包括组织细胞乃至分子结构改变(病理解剖学),及相应代谢和功能发生的种种改变(病理生理学)。
进而揭示疾病的本质,阐明疾病的发生、发展规律,为疾病预防、诊断和治疗提供科学的理论基础。
病理学既是医学基础学科,又是实践性很强的具有临床性质的学科,因此它是联系医学基础学科和临床学科的桥梁。

病理学的主要任务是研究:
1、病因学,即疾病发生的原因,包括内因、外因及其相互关系;
2、发病学,即在病因作用下导致疾病发生、发展的具体环节、机制和过程;
3、病理变化,即在疾病的发生、发展过程中,机体的功能、代谢和形态结构的变化以及这些变化与临床表现(症状和体征)之间的关系——临床病理联系;
4、疾病的转归,预后和结局等。

病理学在医学中的地位:
临床医疗方面:
在疾病诊断中,尽管有各种辅助诊断方法,但病理诊断更具有直观性和客观性,能为临床的最后诊断提供可靠的依据,实际上病理诊断在很多疾病中起到了最后确诊的作用。因此一名临床医生有必要系统地学习和掌握病理学的基本理论知识。
医学教育方面:
病理学以解剖学,组织胚胎学,生理学,生物化学以及病原生物学和免疫学等为基础,探讨机体在疾病状态下形态结构、功能及代谢的改变,这些改变又回答了临床上出现的症状、体征等种种问题,因此病理学在医学基础与医学临床课程之间起到了“桥梁”作用。
科学研究:
病理学研究揭示疾病的规律和本质,从而为疾病的诊断、预防、治疗提供科学理论。临床医学中一些症状和体征、新病种的发现和预防以及敏感药物的筛选,新药物的研制和毒副作用等都离不开病理学的鉴定和解释。
病理学在早癌筛查中的作用:

▲一旦在体检筛查中发现出了异常问题,下一步就需要进行活检,然后将取到的样本交给病理医生来诊断,根据病理诊断报告来进行后续治疗。
病理学的诊断及研究方法:
尸检
目的在于确定诊断,查明死因,协助临床医生总结在诊断和治疗过程中的经验、教训,有利于提高医疗质量和诊治水平;
完成事故鉴定明确责任;
及时发现和确诊某些传染病、地方病和新发生的疾病,为采取相关防治措施提供依据;
积累严重危害人类健康、生命的疾病的人体病理材料,以便深入研究这些疾病和提出防治措施;
收集各种疾病的病理标本,供培养未来医护人才的教学所用。
不要认为病理医生都是一手拿着申请单,一手拿着显微镜看看,病理诊断的报告就出来了,病理医生的工作当然不会就这么简单。
活检
是“活体组织检查”的简称,根据临床需要钳取或穿刺等取出病变组织,进行病理学检查的技术。
它是诊断病理学中最重要的部分,对绝大多数送检病例都能做出明确的组织病理学诊断,被作为临床的最后诊断。
病理诊断常用方法
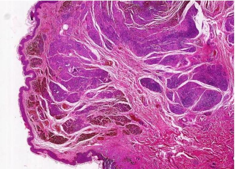
大体检查-肉眼观察

组织学检查
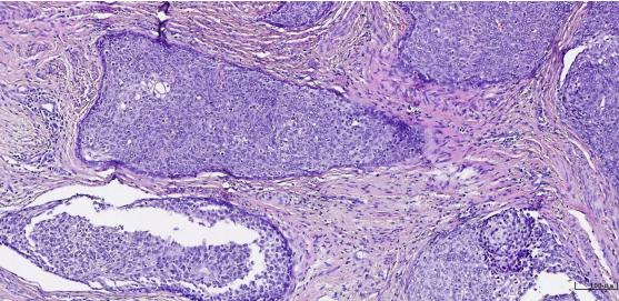
病变组织制成厚约数微米的切片,通常用苏木精·伊红染色(HE染色),或其他方法染色后,用光学显微镜观察其微细病变。
到目前为止,传统的HE染色组织学观察方法仍然是病理学诊断和研究最基本的方法,还没有其他方法能够取代。


▲所以组织病理切片的制作流程,耗时较长,为了诊断准确,真的快不了

术中快速冷冻切片病理诊断法
在15-20分钟时间内进行快速病理诊断(主要诊断良、恶性病变),为临床医生决定手术范围提供依据。(仅初步诊断)
细胞学检查
脱落细胞或细针穿刺吸取(FNA)细胞制成细胞学涂片,进行显微镜观察,以了解病变性质。

电子显微镜
运用透射电子显微镜或扫描电子显微镜观察细胞超微结构。

特殊组织化学染色(PAS、AFB等)

免疫组织化学染色
从20世纪70年*开代**始,免疫组化技术就应用于病理诊断,对于肿瘤的诊断、分类及判断预后产生了巨大的影响,同时也扩展了人们对于各种疾病及肿瘤形成过程的认识,提高了病理诊断与研究水平。
目前免疫组化技术应用于临床主要以下几个方面:
- 肿瘤良恶性的判断
- 确定肿瘤分期
- 判定细胞属性,确定肿瘤来源
- 确定来源不明的转移瘤的原发部位
- 对“未分化”恶性肿瘤的分类
- 及时准确的发现微小转移灶
- 与治疗和预后有关的免疫组化标记物帮助选择治疗方案和判断预后

免疫组化的局限性
目前没有一种能完全满足高灵敏度、精确性和特异性这些标准的理想肿瘤标记物。
肿瘤检查中应选用一组抗体而非单一抗体,在肿瘤诊断中评估免疫组化的局限性,主要在抗体特异性和解释方面。
临床医生应充分认识这些缺陷和不足,避免给诊断带来误区。

分子生物技术病理学的运用
核酸纯化
核酸测序
下一代基因测序
聚合酶链反应
原位杂交
微阵列
其它:放射自显影技术、显微分光光度技术、流式细胞技术、图像分析技术新的研究手段和方法
聚合酶链反应
英文缩写是PCR,这是一种分子生物学技术,用于放大特定的DN*片A**段。


荧光原位杂交
定义:用于显示染色体缺失、扩增、结构重排和识别整条染色体
优势:样品制备和分析相对容易,特异性高,不要求细胞分裂,可在福尔马林固定的石蜡包埋样品上进行。(允许将探针杂交模式与组织学进行比较)
应用:产前诊断和遗传咨询、肿瘤学(特别是染色体易位)、基础研究、基因定位、病原体种类鉴定。

人类对疾病的认知
外表体征:红肿热痛,探脉象,问望触叩听
↓
大体结构:解剖,器官(动物、人体)肉眼可见
↓
显微结构:显微镜可看到组织的细胞
↓
超微结构:细胞器,电子显微镜可见细胞核
↓
大分子成分:蛋白质、粘液、脂膜等——组织化学(特染),免疫组化
↓
分子病理:染色体(基因),核酸(DNA、RNA)
病理学是临床学科的一个重要组成部分。
病理学也有自己的局限性。
病理学的发展有赖于技术进步和其他学科的支持。
期待病理学人才与其他学科一起共同努力推动病理学步上新台阶。
答疑解惑
问:病理医生是否有专业方向区分,比如消化科、泌尿科、呼吸科等?
美国的亚临床专业学生在培训时期会于各个科室轮转一次,有的人会根据志向做专门的培训,比如他只看消化道的病理,泌尿科也有人专门只看肾脏的病理,所以是有专业区分的。但国内的病理医生相对较少,目前有的大医院也开始走亚专业化的道路,看不同器官、肿瘤等是不同的病理医生。对于中小医院也不太可能要求本就少的病理医生进行亚专业化。一位病理医生也许10-20年都很难被培养出来,对于亚专业化所需时间就更长了。
问:临床医生的工作总面对病人,但病理医生好像都是面对图片,如何克服枯燥感?
工作中其实不会觉得枯燥,就像小时候玩的万花筒看到的都是五彩斑斓的画面,显微镜下看到的也是千变万化、五彩斑斓的世界。有良性、恶性、癌前病变,做出来一个正确的病理诊断,是非常有成就感的事情。

问:美国病理学的发展有哪些值得我们学习的经验?
首先需要增加对病理学的重视,在我国病理医师仅占所有医师的1%,大医院一天做那么多台手术,检查疾病标本的病理医师如何足够?人数如此少,工作量如此大的情况下,病理诊断报告的精准度可想而知。国内的病理医师无论是工作环境还是经济待遇都有待提高,大众对病理医师的认知更需有待提高,并不是“给了一个标本能看出良性还是恶性”就是病理医师的全部工作,后面还有很多路可走。另外提升对病理医师的培训也很重要,建议病理医师掌握好英文,尽量所有文献教材都学习原著,避免理解上的误差。
问:作为患者,拿到自己的疾病标本后,需要多久送到兴图病理?国内有哪些医院可以取到自己的活检?
一般有条件做外科手术的医院都可以取活检,取出后需直接放入固定液中,之后任何时间送到兴图病理都可以,只要固定好就不受时间限制。只有冰冻切片的标本才需取出后的10-20分钟内就送来做病理诊断。

问:中国的病理诊断报告经常出现“疑似”二字,美国的病理报告也经常出现这个词吗?中美的病理报告有什么差异?
病理学也受技术条件限制,在出病理诊断报告时也尽量提高准确率,但是目前的科技无法达到100%的准确度,临床病理出报告不能完全排除其他疾病的可能,只能有一个倾向性的意见,加“疑似”可为后续的临床诊断和治疗留有余地。国外的病理报告同样也会出现这种说法。对于中外病理诊断报告的差异,我国只有“病理诊断”,但美国包括兴图病理出具的病理诊断报告还多了一项“大体所见”和备注,会告诉患者我们收到了一份什么样的标本,是一块组织还是多块组织,大小是多少,对诊断还会做出注释,也是病理医师对临床医生的沟通交流,解释做出这样诊断的原因,报告会更加详细,起到一定的指导作用。(国内有些医院将此部分内容放在了会诊报告中)
问:取活检一定需要开刀做手术吗?
对于有的活检可以用无痛穿刺技术取出,有微创手术等。这也是病理医师的局限性,不像外科、临床医生那样可以直接面对患者。当然患者可以拿着病理报告和活检来找病理医师,我们是很乐意为患者答疑解惑的。
- End -
- 图片来源:姜茗教授、兴图病理、pexels
本文为好医网原创作品,未经授权不得转载