#每日医聊#
王女士因自己牙齿偏黄,不敢“八颗牙齿晒太阳”,朋友都笑话她笑得不自然。电视台上美白牙膏试用了不少,效果不理想,网上各种美牙粉、美牙贴片、美牙机,看得眼花缭乱,又不敢轻易尝试,于是来到湖南省第二人民医院口腔科咨询牙齿美白。
世界爱牙日来临之际,大家一起来了解美白牙齿的正确姿势吧!

其实,正常牙齿的颜色确实透着淡淡的黄色,是正常牙本质的颜色,且从中间往后,牙齿颜色大多逐渐变黄。大部分人随着年龄的增长及饮食的原因,牙齿多出现变色。
牙齿变色有哪三大类型?
1. 外源性色素堆积
如过度吸烟、饮茶、饮酒的人牙齿表面经常有一层均匀的黄色或褐色色素。
2. 内源性变色
如四环素牙、氟斑牙等表现出来的灰色、黄色、褐色,甚至黑色。
3. 与年龄相关的变色
随着年龄的增长,牙齿的颜色会变暗,甚至会变成黄色、褐色,一般都是由于牙齿表面长时间暴露于外源性色素及内部的继发性和修复性牙本质形成的结果。
美白牙齿有哪些方法?
1. 众多牙齿美白的方法中,漂白是最为保守和经济的方法。
漂白的机制就是将过氧化脲、过氧化氢等牙齿漂白材料渗入牙齿内部以去除外源性及内源性着色。但漂白颜色的改善程度与变色原因、牙齿特征及患者合作程度有关即存在个体差异,极个别者甚至看不到明显变化。

不可为了白而过度漂白,过度漂白可影响牙齿结构导致牙齿变脆及孔隙增加。为安全起见,整个牙齿漂白过程都应在牙医的监督下完成。
不是所有情况都可以漂白,需要先接受专业的口腔检查。如有龋齿需先完成充填治疗,对于前牙去的龋齿科先用暂封材料进行充填以确保不会发送严重渗漏,待漂白后再以树脂或瓷进行修复。
如牙齿有隐裂或牙颈部有缺损,漂白会加重其敏感,可能会诱发牙齿疼痛。如牙齿之前有充填树脂,漂白不能改变原充填材料的颜色,造成颜色不一致需重新充填治疗。
通常牙齿漂白需2~6周,对严重者可能需延长至3~6月。且为了长期保持微笑时牙齿的美白效果,应避免进食会引起牙齿再变色的、含强着色剂的食品,建议每6月一次预防性复查,每1~2年重复一次简单的接触漂白治疗。
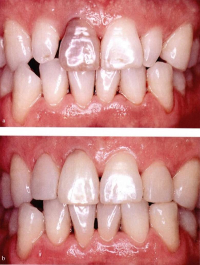
a. 死髓牙漂白
一般是单颗变色,由于牙髓坏死造成。可通过单颗牙的髓内漂白改善,但前提条件为完善的根管治疗基础上,有造成颈部牙根吸收、颜色反弹的风险。

b. 家庭漂白
始于一个美丽的意外,1968年一名正畸医生建议患者在正畸保持器中放置含过氧化脲的口腔消毒剂以治疗牙龈炎症,意外发现牙龈炎症改善同时牙齿也变白变亮了。主要活性成分为过氧化氢和过氧化脲。
现在在网络上有很多不需要牙医就可自行买到的“自助漂白”产品,一般为不同浓度的酸放于凝胶内使牙齿矿物质溶解,再加上含有二氧化钛的漂白牙膏,二氧化钛即油漆和涂改液中的常用成分,还有含有过氧化氢凝胶的聚乙烯条,可贴到门牙直接使用,即美牙贴。但没有牙医的监督,容易过度使用引起问题。
一般适用于程度较轻的色素牙。医院使用的家庭漂白套装会给患者先在诊室进行首次漂白,制作并调改适合于个人的托盘,再将凝胶置于其中。防止托盘不吻合造成牙龈等局部的过度刺激。

c. 强力漂白
如冷光美白,需专用的颊部牵拉器、牙龈保护器、光照激活器。见效快但费用较高,术后敏感发生率高,颜色反弹率高

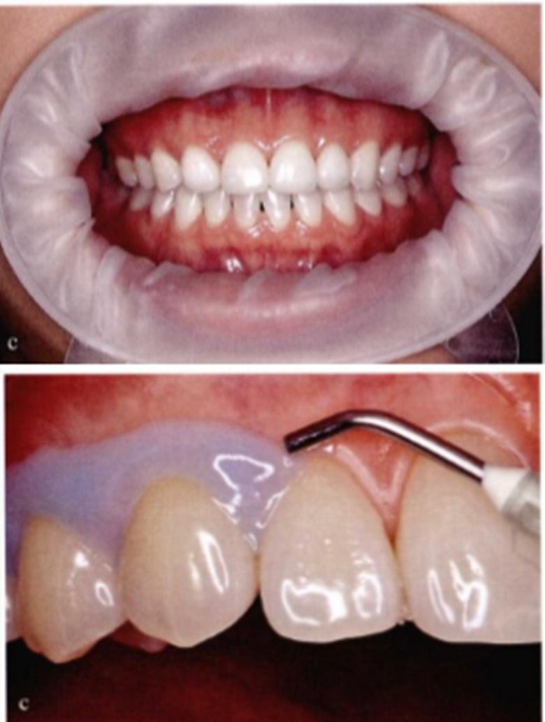
2. 瓷贴面
在牙齿表面少量磨牙甚至不磨牙,表面贴上瓷贴面改善美观。

3. 全瓷冠修
将牙齿表面均匀磨小,加上一个套子,以改善美观,因对牙齿损伤较大,现已少用。
牙齿变白虽美,但不要贪心哟!
(编辑Max。部分图片来自《牙齿美学漂白》,仅供参考)
湖南医聊特约作者:湖南省第二人民医院 口腔科 李超
关注@湖南医聊,获取更多健康科普资讯