脑干在人脑中的作用
脑干上承大脑半球,下连脊髓,呈不规则的柱状形。脑干由延髓、脑桥、中脑三部分组成。延髓尾端在枕骨大孔处与脊髓接续,中脑头端与间脑相接。延髓和脑桥恰卧于颅底的斜坡上。
脑干的功能主要是维持个体生命,包括心跳、呼吸、消化、体温、睡眠等重要生理功能,均与脑干的功能有关。经由脊髓传至脑的神经冲动,呈交叉方式进入:来自脊髓右边的冲动,先传至脑干的左边,然后再送入大脑;来自脊髓左边者,先送入脑干的右边,再传到大脑。

脑干的外形脑干腹侧面在延髓的正中裂处,有左右交叉的纤维,称锥体交叉,是延髓和脊髓的分界。正中裂的两侧纵行的隆起,为皮质脊髓束(或锥体束)所构成的锥体。
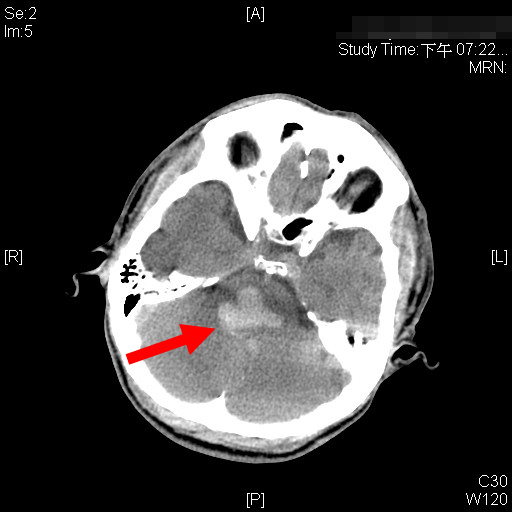
原发性脑干出血
是一种特殊类型的脑出血,多数与高血压病有关,约占脑出血的10%,其发病急剧,危害极大,尤其是发病后昏迷发生早、程度深,持续时间长,并发症多,其死亡率高达80%以上,重残和植物生存占相当比例。保持呼吸道通畅,维持内环境的平衡、积极防治并发症的发生以及重点、精心、全面的护理是提高原发性脑干出血生存率的关键。
脑干出血临床表现特点
1、意识障碍出现早、深和持续时间长;
2、瞳孔变化多样,如针尖样瞳孔、眼球震颤、眼球活动受限等。
3、病情变化多而快:可由偏瘫发展为四肢瘫,病理征由一侧发展为双侧。
4、重症者并发症多:如呼吸衰竭、体温不升和高热、肺部感染、上消化道出血、血糖升高、发热等。
5、预后差;除少数脑干出血量大,破入脑室,引起急性梗阻性脑积水者,需行脑室外分流术外,多数主要采用保守治疗。因此,质量的好坏直接与患者预后相关。
6、该部位发生出血,即使微小的出血和血肿可引起严重的后果。其临床表现危重,易出现昏迷、中枢性呼吸循环衰竭、脑内脏综合征、脑疝、MODS等致命性并发症。
7、随着临床上高分辨的CT和MRI的普及,脑干出血能及时诊断。尤其是针对脑出血,开展了全面的个体化、规范化的综合治疗,使部分病情得以控制,有效降低病死率与致残率。
脑干出血预后
预后极差,病死率和致残率高,而影响其预后的因素众多。
1、与具体的出血部位、出血量、是否破入脑室、脑室积血的类型。同等量出血位于中脑上部时预后差,可能与下丘脑受影响有关,脑桥出血相对较好,而延髓出血因直接压迫呼吸心跳中枢而病情极为严重。
2、脑干出血量在15ml以上,死亡率80%以上,其中脑干出血量超过20ml以上的死亡率更高。
3、脑干出血量较少者5ml以下,大部分意识障碍多有恢复,脑干功能障碍明显好转,生命体征趋于平稳。
4、在中等量脑干出血(10ml左右),一部分病人生命体症可在出血后2周左右渐趋于平稳。
肺部感染脑出血一个要命的并发症
肺部感染危险因素包括:
1、发病重,发病后机体预防机能降低;
2、患者多为中老年人,抗病能力较弱,容易发生院内交叉感染;
3、患者有不同程度的吞咽困难,易引起误吸;
4、意识障碍,咳嗽反射迟钝,口咽部及气管的分泌物不能充分排出;
5、因病情需要长时间绝对卧床,引起呼吸道肺部分泌物坠积;
6、各种侵入性操作相对较多,如:鼻导管吸氧、插胃管、气管插管使细菌带入体内的机会增多。
脑肝出血常用的治疗方法
1、治疗原则,降低颅内压和控制脑水肿以防止脑疝形成,降低增高了的血压以防止进一步出血。
2、常规治疗
一般处理;①保持安静、绝对卧床,应在当地进行抢救,不宜长途运送及过多搬动,以免加重出血;②保持呼吸道通畅,随时吸除口腔分泌物或呕吐物,必要是用呼吸机。
3、控制脑水肿,降低颅内压;
4、控制高血压,降低增高了的血压是防止进一步出血的重要措施,但不宜将血压降得过低,以防供血不足。
5、止血药和凝血药对脑出血并无效果,但如合并消化道出血或有凝血障碍时,仍可使用;
6、手术治疗,目前还有争议,由于部位重要,手术难度大,可能给脑组织造成的损害比原发病还大。
7、预防及治疗并发症,重症病人应特别加强基础护理,定时轻轻更换体位,注意皮肤的干燥清洁,预防褥疮和肺部感染,瘫痪肢应注意保持于功能位置,按摩及被动运动,以防关节挛缩;
怎么判断是脑出血呢?
脑出血较为典型的表现有一侧的肢体突然麻木、无力或瘫痪,这时病人常会在毫无防备的情况下跌倒,或手中的物品突然掉地;同时,病人还会口角歪斜、流口水、语言含糊不清或失语,有的还有头痛、呕吐、视觉模糊、意识障碍、大小便*禁失**等现象,家属应进行紧急救护。出现这种症状,请及时急救,避免脑出血更严重。
脑出血的急救措施
1、给120打电话,最好不要自行送患者去医院,以减少颠簸震动;同时将患者头部稍稍抬高,与地面保持20度角,并随时注意病情变化;
2、患者大小便*禁失**时,应就地处理,不可随意移动患者身体,以防脑出血加重;
3、迅速松解患者衣领和腰带,保持室内空气流通,天冷时注意保暖,天热时注意降温;
4、如果患者昏迷并发出强烈鼾声,表示其舌根已经下坠,可用手帕或纱布包住患者舌头,轻轻向外拉出;
5、保持镇静并立即将患者平卧。可将其头偏向一侧,以防痰液、呕吐物吸入气管;
6、待120医生到了后组织搬动。
怎样预防脑出血

1、稳定血压:预防脑出血必须早期发现并及时治疗高血压,定期检查,确诊后就应坚持服药治疗,以降低及稳定血压,防止反跳及过度波动。
2、调节情绪:保持乐观情绪,避免过于激动,做到心境平静,减少烦恼,悲喜勿过,淡泊名利,知足常乐。
3、戒烟戒酒:酒和烟都能使血管收缩、心跳加快、血压上升、加速动脉硬化,有高血压病、冠心病、脑动脉硬化症的人,尤其应戒烟戒酒。
4、合理饮食:饮食要注意低脂、低盐、低糖。少吃动物的脑、内脏,多吃蔬菜、水果、豆制品,配适量瘦肉、鱼、蛋品。
5、避免劳累:体力劳动和脑力劳动不要过于劳累,超负荷工作可诱发脑出血。
6、防止便秘:大便燥结,排便用力,不但腹压升高,血压和颅内压也同时上升,极易使脆弱的小血管破裂而引发脑溢血。
7、不蹲便:蹲便时,下肢血管会发生严重屈曲。加上屏气排便,腹内压力增高,可使血压升高,就有可能发生脑血管意外。
8、谨慎行动老年人多有脑动脉硬化,血管壁较脆弱。跌倒时可有发生颅内血管破裂的危险。
9、多动左手:日常生活中,尽多用左上肢及左下肢,尤其多用左手,可减轻大脑左半球的负担,又能锻炼大脑的右半球,以加强大脑右半球的协调机能。
10、多喝水:要维持体内有充足的水液,使血液稀释,保持血容量。
11、适寒冷:寒天是脑中风好发季节,血管收缩,血压容易上升,要注意保暖,使身体适应气候变化。进行一些适宜的体育锻炼,如散步,做广播体操等,以促进血液循环。
12、重先兆:中风会有一些先兆症状,如无诱因的剧烈头痛、头晕、晕厥,有的突感肢体麻木、乏力或一时性失视,语言交流困难等,应及时就医检查治疗。