眼眶蜂窝组织炎
CASE 1
简要病史: 女,41 岁,右眼视物不清,伴眼睑红肿热痛 3 天余。

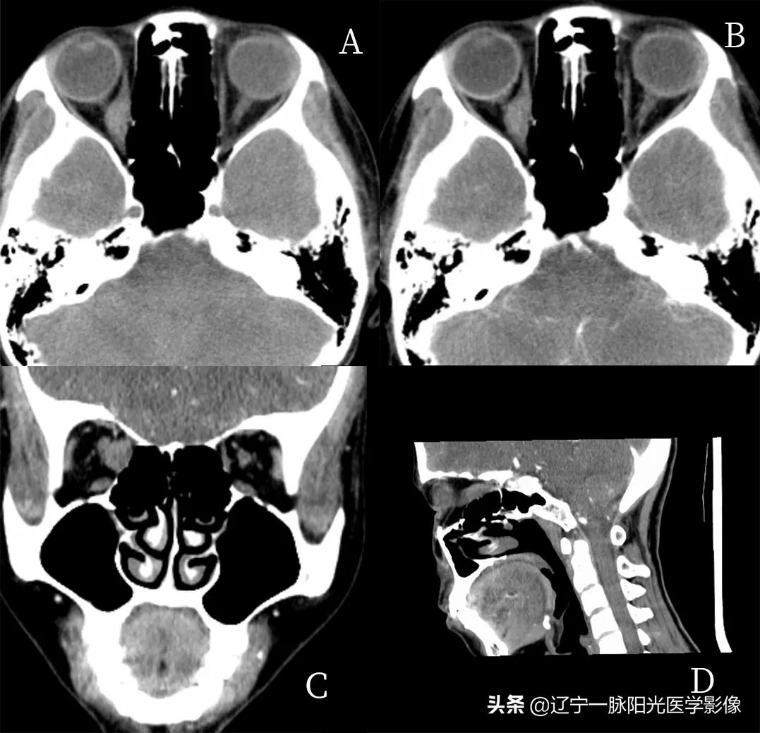
影像所见:
图 A、C 轴位及冠状位示右侧眼睑及球后软组织肿胀,脂肪间隙不清,见混杂稍低软组织密度影,增强扫描轻度强化
图 A、B、D 轴位、冠状位示右眼眶内球后肌椎内软组织填充,边界不清,密度不均,肌椎内病灶范围约为 4.1x3.2 cm,与眼环相比呈等密度,图 B、D 示增强扫描后病灶可见轻度强化
图 D 冠状位示右眼球受推外突,病灶包绕右侧视神经及眼肌,视神经及眼肌显示不清,肌肉间隙消失
影像诊断:右眼改变,考虑蜂窝组织炎伴眶内炎性假瘤形成
概述:
眼眶蜂窝组织炎(orbital phlegmonous cellulitis)是眶内软组织弥漫性急性炎性
多由鼻窦、头面部或全身炎症引起,病势急猛,除有全身炎症症状外,眼部多见广泛软组织肿胀,除眼睑红肿痛热的体征外,还可有结膜水肿,眼球突出,运动障碍或视力下降等症状
X 线检查常提示受累眶内密度增高,合并有鼻窦混浊,密度增高
CT 扫描常见眼睑软组织肿胀,边界不清楚,患侧球后脂肪密度为软组织密度所代替,视神经、眼外肌界限不清
当表现为眶骨骨膜下脓肿时,眶骨内侧隆起,边缘为分离的骨膜,增强后脓肿壁强化,其下为积脓,软组织密度无增强
伴发骨髓炎时则表现为眶骨骨质破坏、骨膜反应和骨质增厚
MRI 显像病灶于 T1 与 T2 加权像均为高信号强度,T2 加权像病变信号强度甚至高于脂肪
炎性假瘤
CASE 1
简要病史:女,24 岁,右侧眼部胀痛 10 天,加重 3 天。

影像所见:
图 A 平扫轴位示右侧内直肌增粗,形成类圆形软组织影,大小约为 1.3×0.7 cm,平扫呈低密度,CT 值约 45 HU
图 B、C、D 增强轴位、冠状位、矢状位示病灶中度强化,CT 值约 53 HU,眼球未见明显受压移位,泪腺结构未见明显异常,骨质结构未见明显破坏
最终病理诊断为肌炎型炎性假瘤
CASE 2
简要病史:男 44 岁,主诉:右眼视物模糊 2 年。

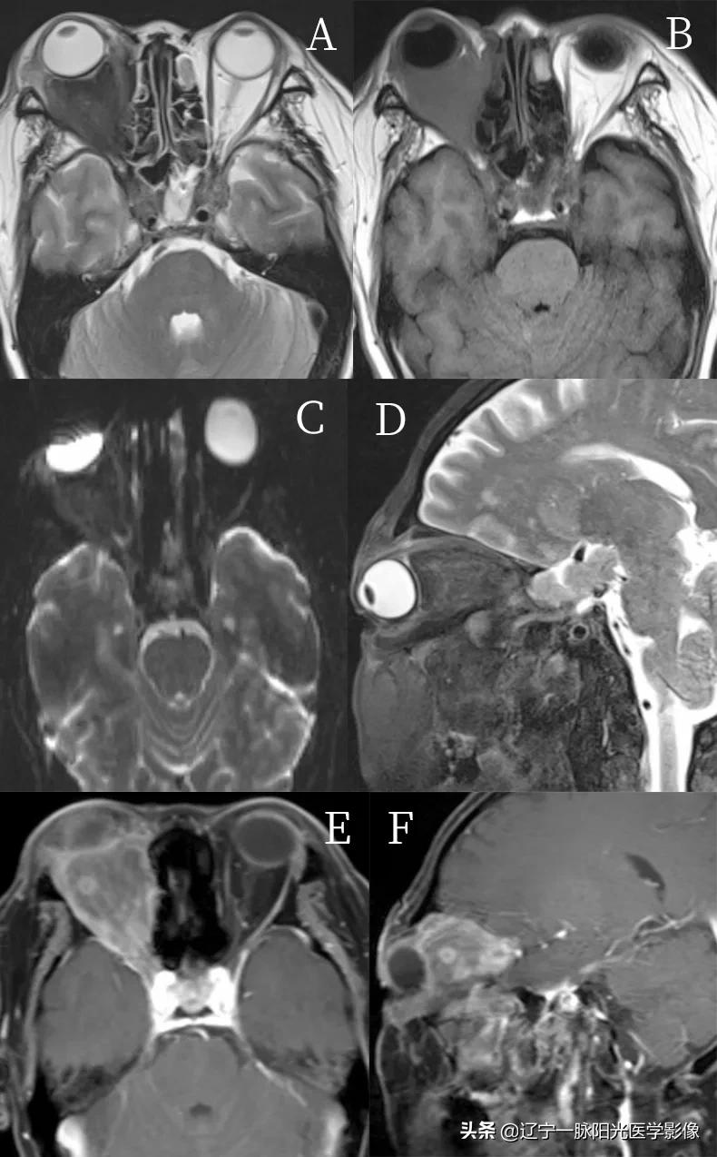
影像所见;:
图 A、B 轴位示右侧眼球稍向前突,球后充盈团块状软组织信号影,范围约 4.3 cm×3.5 cm, T1WI、T2WI 呈低信号
图 C 示 DWI 亦呈低信号
图 E、F 增强后呈不均匀明显强化,其内见环行强化,病灶包绕右侧视神经及眼肌
病理诊断:炎性假瘤
概述:
眼眶炎性假瘤是原因不明的眶内软组织非特异性炎症,可侵犯眼眶的任何结构,包括泪腺、眼球、眼外肌、视神经及脂肪等,是由慢性增殖性炎症而形成肿块样改变
多见于中年以上患者,临床表现由眼球突出、眼部疼痛及眼运动障碍,炎性假瘤是单侧眼球突出最常见的病因之一,经抗生素和激素治疗后可好转
CT 多显示眶脂肪内有形状不规则的肿块,可以呈单个或多个肿块边界不整齐的高密度肿块,内密度不均匀,伴有巩膜周围炎及视神经炎时显示眼球壁增厚、边界模糊不清、视神经一致性增粗, 肿块较大可占满眼眶,眼外肌和视神经被肿块遮蔽,甚至眼球受压变,炎性假瘤各型可以单纯存在也可以混合存在,使其影像特征呈多样性
泪腺炎型炎性假瘤可累及一侧泪腺也可累及双侧泪腺,见泪腺呈一致性增大,多为类圆形位于眶外缘前部,增大明显时向眶后部延伸为扁平形,呈高密度,强化不均匀
肌炎型炎性假瘤可累及一条眼外肌或多条眼外肌,一侧眼眶或双侧眼眶受累均可见到,眼外肌肿大严重时可呈球形,轴位扫描时上直肌和下直肌的斜切面容易误认为肿瘤,此时冠状扫描像可以帮助确诊。MRI 像上以淋巴细胞浸润为主的炎性假瘤病变在 T1WI 显示为中信号,T2WI 为高于或等于脂肪的信号强度
纤维硬化型炎性假瘤由于胶原纤维成分多则病变在 T1WI 和 T2WI 均显示为低信号
肌炎型肿大的眼外肌 T1WI 为中信号强度,T2WI 为中等或偏高信号强度
甲状腺突眼(Graves’disease)
CASE 1
简要病史:女,49 岁,身体消瘦 3 月余,进行性眼突伴眼痛 2 月余

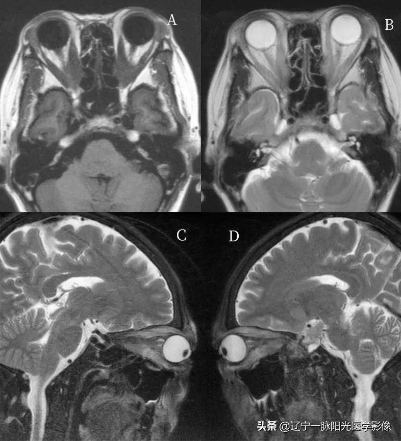
影像所见:
图 A、B、C、D 轴位、冠状位及矢状位示双侧眼球对称性突出,眼肌均匀增厚,以上、下直肌明显,球后脂肪减少
图 A、C、D 双侧球内玻璃体、晶状体密度正常。视神经走行正常,密度均匀,边界清楚
CASE 2
简要病史:女,59 岁,甲状腺功能亢进 5 年,双眼突出半年余

概述:
甲状腺眶病又称为 Graves 眶病,甲状腺功能异常伴有眼征者为 Graves 眶病
男女均可发病,中年女性居多,是眼球突出的最常见原因之一,一般双侧,也可单侧发病,病理改变为淋巴细胞和浆细胞的浸润,并有散在的肥大
影像学一般依靠 CT、MRI 检查,诊断依据为眼外肌肌腹增粗而附着于眼球壁的肌腱不增粗,而且常是双侧下直肌、上直肌、内直肌肌腹增粗