如下图所示,各掌骨上与腕部关节相连,下至手指底部、与各指近节指骨构成指掌关节;各指骨上与掌骨构成指掌关节,向下一直延伸到手的末端,共分为2-3节(拇指2节,其余指3节),各节指骨之间由指间关节相连,共同构建完整的手指。指骨骨折和掌骨骨折是上肢骨折中最常见的两个类型,二者大约占到所有上肢骨折的40%。根据骨折位置、严重程度、骨折时受力方式等方面的不同,指骨骨折和掌骨骨折还可细分为不同的类型。

掌骨骨折和指骨骨折的类型 可将掌骨骨折分为掌骨头骨折、掌骨颈骨折、掌骨干骨折、掌骨基底骨折。掌骨头骨折多为关节内骨折;拇指掌骨基底骨折既有关节内骨折也有关节外骨折;掌骨干和掌骨颈的骨折还会表现为横行骨折、斜行骨折、粉碎骨折等类型。指骨骨折也有关节内骨折和关节外骨折之分,末节指骨的关节内骨折常伴有肌腱撕脱。指骨干的骨折也有横行、斜行、螺旋形、短斜形等不同形式。不同位置、不同类型的骨折,其稳定性及治疗方案各有不同。


保守治疗 骨折后的保守治疗,通常是指手法复位再利用支具固定(或者用固定架、克氏针等方式进行外固定),这种手段不需要切开软组织,但对骨折断端的稳定性有较高要求,如果骨折部位软组织损伤严重,或者断端的力学关系复杂,就很难进行精确的复位和可靠的固定,保守治疗将无济于事。大部分掌骨颈和掌骨体的稳定骨折(如裂纹骨折、青枝骨折、嵌插骨折、横行骨折等),以及掌骨头和掌骨基底的稳定性骨折、轻微移位的关节内骨折,都可进行保守治疗。对于指骨骨折而言,只要是稳定性的、可复位的骨折,大多都可通过保守治疗得到良好愈合。

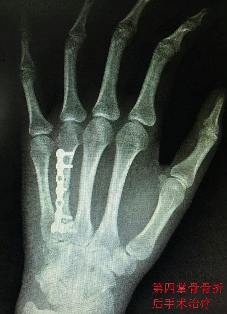
手术治疗 骨折后的手术治疗,通常是指切开复位内固定术,即:将骨折处的软组织切开、分离,将血管、神经等组织剖析、梳理、结扎......在肉眼可见的情况下将断骨复位,再利用坚固的材料(例如钢钉、钢丝、钢条、接骨板、克氏针等)使断骨固定,最后再将其他组织逐层复位、缝合的过程。手术治疗可以最大程度地确保骨折的复位和固定,但却会对皮肤、肌肉、血管、神经等组织造成不同程度的切割伤。无论是掌骨骨折还是指骨骨折,如果骨折后难以复位,或者复位后因为复杂的力学关系难以保持稳定,就要果断实施切开复位内固定手术(也有一部分患者可以实施微创术)。需要实施手术治疗的掌骨和指骨骨折主要包括骨干和骨颈部分的斜形骨折、螺旋形骨折和粉碎性骨折,还包括开放性骨折、移位较多的关节内骨折、不稳定的骺板分离(骺板:骨骺与骨干之间的连接部)、韧带附着处撕脱型骨折、闭合性多发掌骨骨折(非重大外力导致的骨折,多存在骨折自身病变)、骨折脱位(骨折与关节脱位并存)、远节指骨掌侧基底部骨折、骨折块较大的远节指骨背侧基底部骨折等。

原文链接:http://www.jinlaiba.com/archives/32363.html