
张兰成、崔彦,解放军306医院
羊歌盛世方报捷,猴舞新春又呈祥。2月7日除夕夜,正是千家万户阖家团聚、迎春纳福的美好时刻,而地处亚奥中心的306医院却是一片忙碌景象,该院医护技、行政后勤以及物业保安人员放弃和亲人团聚的美好时光,坚守一线值班,默默奉献在工作岗位上,与患者一起守吉祥、求平安、送健康。时值流感流行,大量儿童患儿就诊,除夕之夜爆炸伤、心梗手术不断,急救连连。该院上下一盘棋,医护技同心,后勤安保协力,共同保障患者的健康平安。

医院*党**委班子高度重视节日期间各项诊疗规范和就医的舒适度。节前进行了周密的安排,先后组织开展医疗安全核查、医疗战备应急救援拉动,重大突发伤害群体救治,道路疏通、医疗区点亮美化,节日期间惠民生活服务工程等。该院张玉才政委强调一定要将春节假期的各项工作做扎实,确*过保**一个祥和、安全的春节。306医院地处北京亚奥中心的健翔桥以北的安翔北里,该院顾建文院长以健翔桥和安翔里为题,为医院对了一幅春联。横批:健康安翔,上联:金羊辞冬铁血丹心揽南北东西英杰齐聚神州健翔福地,下联:灵猴闹春朗日清月集中外军地名医共祝华夏安翔祥安,为医院和患者祁福那么跟着小编一起来看看,解放军306医院除夕之夜倒计时与正计时吧。
306除夕正计时:
一、除夕之夜猴年宝宝接二连三



除夕前夜,妇产科实施多台剖腹产手术,猴宝宝接二连三出生,带来了灵猴喜气。
二、谨防节日大喜大悲、心梗连连




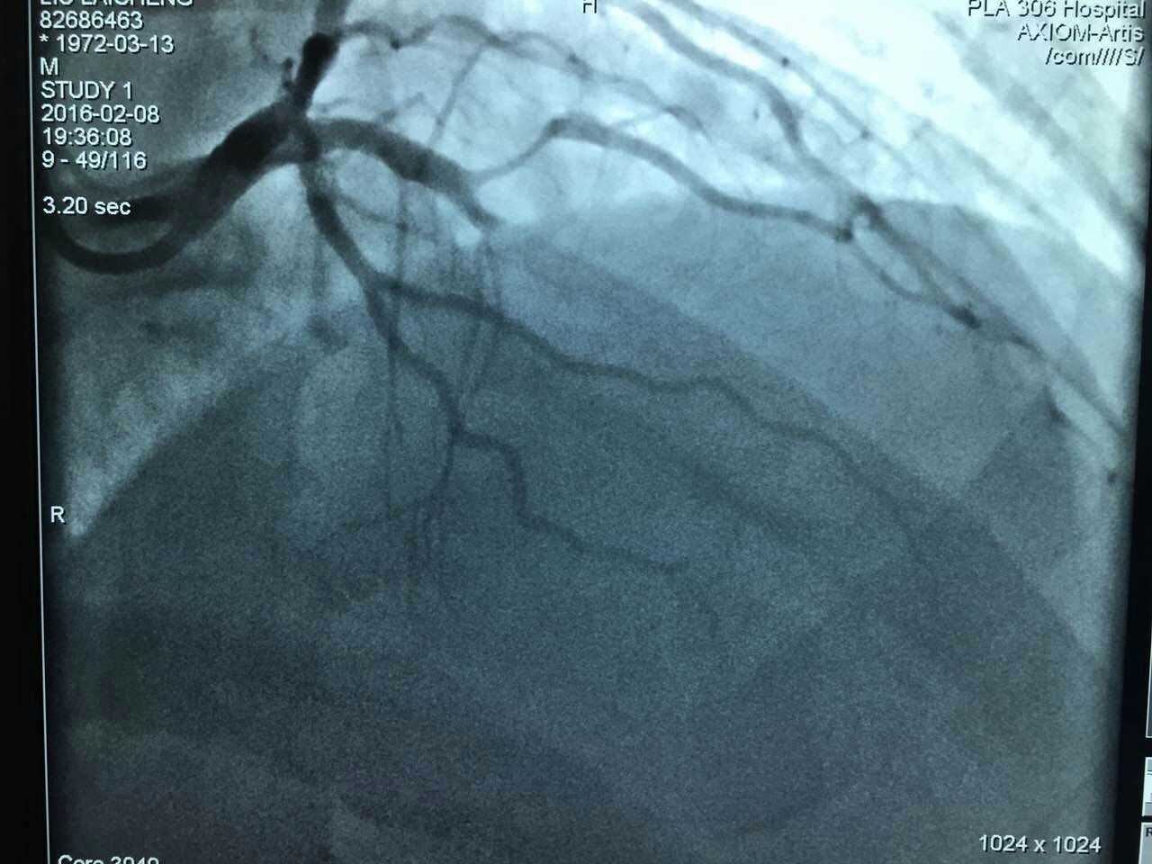
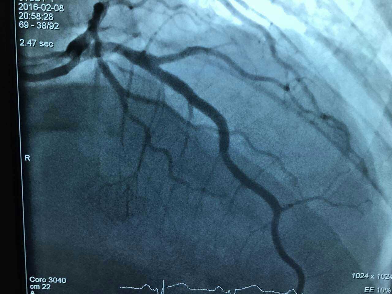
心脏内科专家王守力教授呼吁:谨防节日病,尤其是中青年。大年初一继凌晨抢救一例心梗患者,该团队又为一例中年患者AMI(急性心梗)进行了疏通手术,手术团队24小时待命状态。小编为他们点赞。
三、爆竹除岁、要防止颜面爆炸伤
眼科胡莲娜主任:猴年的第一台眼科手术,即为*花爆烟竹**所致眼球破裂伤,患者50岁,除夕夜带家人放花炮,在点燃烟花的瞬间发生爆燃导致右眼上睑全层裂伤,上下泪小管断裂,眼球破裂,眶内壁骨折。在当地医院做了简单的处理,因为病情太复杂,于今日中午12:00转来我院。



经过必要的检查和评估,下午3点,手术在全麻下开始进行。由于患者面部肿胀口周干裂而张口受限,麻醉插管及其困难,麻醉师梁庆伟想尽一切办法使插管成功,保证了手术顺利进行。
患者眼球破碎的实在厉害,我和高付林主任、赵宏伟医生经过3个小时的手术,终于将破裂严重的眼球恢复了基本形态。紧接着又开始修复眼睑和泪小管。
虽然泪道引流管插管顺利,但由于患者鼻中隔偏曲加上鼻粘膜肿胀,采用传统方法根本无法将引流管自下鼻道引出。于是紧急求助耳鼻喉科周莹医生前来支援,在鼻腔内窥镜辅助下,经过多次收缩鼻粘膜,最终将引流管顺利引出,最后在显微镜下吻合上下泪小管。
虽然我们暂时保住了患者的眼球,但他这只眼将永远失去光明。所以朋友们,来路不明的*花爆烟竹**千万不能买,燃放*花爆烟竹**一定注意安全防范。
四、触目惊心的背后~麻醉医生的艰难抉择

麻醉科梁庆伟:大年初一,一位因燃放鞭炮置使头面部严重受伤的中年男性被急救车转运至我院。由于其头面部受损严重,多处流血,口鼻腔不能正常分辨解剖结构,这给麻醉医生的先期处理带来了非常大的困难!这类受伤的患者必须接受全身麻醉才能顺利开展后面的手术治疗,而为患者建立正确的通气通路才能接受安全有效的全身麻醉。麻醉医生对该患者进行了全面的评估,明确了风险所在,与手术医生建立了良好的沟通,将各种可能发生的情况详尽地梳理了一遍。在充分准备后实施了麻醉诱导,为患者完成了有惊无险的气管插管,在经历了七个小时的漫长时间后,手术医生完成了圆满的手术!这仅仅是大年初一的一个小插曲,后面还有数个外伤的患者等待手术。希望朋友们过节时注意安全!过一个祥和的年!
四、贴春联、站凳要小心脑外伤







脑外科崔绍杰主任:60多岁的老人家站凳子贴春联,摔得七窍流血。脑内出血生命垂危,手术实施顺利,患者转危为安。春节注意安全,千万不要好事变坏事。
五、儿科依然忙碌、急诊科输液忙、ICU除夕之日安全送85岁、95岁老人治愈回家,会诊进行中








五、透析上机、闻鸡即起、科主任慈母献爱心





306医院肾脏内科韩恩红护士长:初一白天,我科实施86例次患者血压透析,夜里又加班为高钾危象极易心脏骤停的患者实施紧急透析。再优秀的白衣天使也离不开家人的理解与支持,60多岁的那宇主任和老伴一起,在大年初一为忙碌的工作人员送来了热乎乎的饭菜。为人妻为人母为人女的医护人员 ,为了这份神圣的职业,舍弃了小家的团聚,辜负了家人期盼,默默地守候着患者的生命,大家说应不应该为她们点赞?
影像科李科主任:为临床介入治疗保驾护航






此外,还有口腔科新老主任:汤楚华主任、施生根老主任和值班的医生护士们一起过年。




六、后勤人员7年未回家、保洁工作异常干净,餐厅服务菜品丰盛、手术加班餐特供





















坚守在餐厅、警卫、配电房、维修队、中控室、锅炉房、陪护中心等岗位的工作人员,倾心竭力做好保障工作,近半数人员已经7年未回家过年了,医院的平安离不开他们辛勤的付出,为他们点赞。
七、勤务战士欢聚让远方的父母放心





八、*党**委班子关心一线人员、值班领导慰问一线服务人员






















除夕值班的顾建文院长、分管保健的崔彦副院长、战备值班领导王守力主任、院务部王志权副部长和机关工作人员像往年一样,代表院*党**委深入全院的病区、急诊、餐厅、门岗、车场、供应室、手术室、勤务连、配电房、维修队、中控室、锅炉房、陪护中心60多个点位,慰问了除夕夜坚守在工作岗位的工作人员,与他们一起欢度佳节。后勤营养餐厅为医患及老*长首**共送去了800余份饺子和年货,温暖了忙碌的工作人员。第二天大年初一,院领导又来到重症监护病房看望,护理部秦柳花主任带领护理骨干们组织了对全院护理质量的督导检查,确保为患者营造安全放心的诊疗环境 。
那么来看看306医院除夕倒计时吧
一、为官兵体检、为基层服务
顾建文院长、张玉才政委、贾付坤副院长年前带队分别赴航天城及基地仓库等地为官兵体检服务。

为解决“小、远、散”单位官兵看病难的问题,医院有针对性地增加了巡诊次数,不但上门“送医送药送技术”,还根据体系单位反馈的意见建议,积极调整院内军人门诊出诊时间安排,最大限度的为基层官兵就诊提供方便。


二、为官兵百姓及老干部赠送健康杂志
崔彦副院长组织医院杂志编辑部及保健办精心汇编,印制了喜闻乐见的“讲康-生活-306”讲康科普杂志,顾院长、张政委为官兵写了热情洋溢的慰问信。分送到战略支援部队、军委装备发展部的官兵手里,为他们带去了新年祝福,获得了好评。






三、重大事件紧急应急救援训练节前拉动







年前总部及战略支援部队*长首**高度重视突发公共时间安全救援,对306医院重大事件紧急应急救援训练节前检查拉动,给予了高度的评价。
四、高水平合作医教研合作频频展开
年前,306医院还与中国科学院生物物理研究所签订战略合作框架协议,顾建文院长、张玉才政委、中科院生物物理研究所徐涛所长、孙命副所长等出席签约仪式。此次签约拉开了双方在人才培养、科学研究、医疗服务等方面进行全方位战略合作的序幕。

张玉才政委主持签约仪式大会,徐涛所长、顾建文院长分别代表双方签署了合作协议。徐涛所长为顾建文、崔彦、王守力、牛忠英、蔡艺灵、王萍、刘彦君、马华松、吴玮、吴久鸿等10位306医院专家颁发了客座教授聘书,双方同时签订了神经退行性疾病、糖尿病及代谢疾病两个合作研究项目协议及医疗合作协议。




年前,顾建文院长还拜访了中国科学院副院长丁仲礼院士、中国科学院大学医学院院长高福院士及部分院士,商讨聘用306医院12位专家为医学院岗位教授的合作事宜。


五、唱响强军新歌
在政治部安卫民主任领导下顺利完成团拜演出





六、安全检查,手术、毒麻限剧药物一个都不能失控









为加班手术人员定制折叠休息床





七、为少数民族地区服务

临近春节,*藏西**索县3名医护人员结束了为期3个月的进修,载着满心欢喜踏上了回家的路程。顾建文院长、张玉才政委、崔彦副院长和对外联络部刘文成主任为次仁达瓦医生、米玛医生和索朗护士送行。次仁达瓦队长代表进修人员热情地为306医院的领导们敬献了哈达。

八、点亮营院、欢度春节
在强武德副院长和吴海军部长的带领下,后勤人员加班加点,完成了营院美化亮化工程










最后这张是306医院生殖中心一名普通军护的温馨家庭照,现在她依然忙碌在自己的岗位上,为一名习惯性流产的孕妇做检查…… 有这样一群人在节日里默默地守在医院,我们看不到他们身后家人期盼的眼睛,我们也不会听到他们长篇大论地谈奉献,可是,我们一定知道,只要我们需要,他们就会随时化身成为你我的守护天使,和我们站在一起,护佑健康, 护佑平安!

致敬,向所有春节值班的医生们!
致敬,向所有值班医生的家人们!