目前癌症的治疗方案都是综合治疗,主要的手段有外科手术,放疗,化疗,分子靶向治疗,免疫治疗和中医中药治疗。

其中手术和放疗属于局部治疗手段,手术是大多数实体瘤治疗的基石,只有手术切除干净,做到R0切除(肉眼和显微镜下均没有癌细胞),术后才不容易复发和转移。下面我们来谈谈放疗和化疗。
放疗
放疗也属于局部治疗,通过放射线,释放放射线的粒子,杀死肿瘤细胞。现在的技术已经可以做到三维适形放疗,根据患者病变部位的三维结构,做到与病变部位完全契合,将正常组织所受到的放疗剂量降到最低。而且,现在还可以使用调强放疗,对不同部位采取不一样的剂量,肿瘤中心区域加强放疗,而肿瘤周边减少放疗剂量。
按放疗的时间,可以分为术前,术中,术后放疗。按放疗的效果,可以分为辅助放疗,根治性放疗和姑息性放疗。
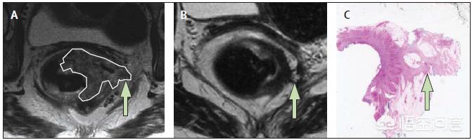
术前放疗能够降低肿瘤的负荷,使不能手术的患者,转变为可手术的患者,减少局部复发率。下面这张图是一个直肠癌的患者,A图为放疗之前的MRI图像,肿瘤非常大,已经浸透肠壁了;经过放疗后,肿瘤明显缩小(图-B);做手术后,将切下来的组织送去活检,显微镜下没有发现癌细胞,达到了完全缓解,通过放疗就治愈了直肠癌。

放疗是非常重要的肿瘤治疗手段,目前放疗的副作用已经很小了,大家不要因噎废食。
化疗
化疗是利用药物,去杀灭隐藏在身体各处的癌细胞,所以化疗是一种全身治疗。由于化疗针对的是增殖活跃的细胞,所以正常细胞也会有一定的影响,特别是造血细胞,胃肠道的粘膜细胞,因为这些细胞增生比较活跃。
尽管化疗有一些副作用,但不是大家想想的那么严重,不像电视里面播的那样,个个都掉头发,恶心呕吐,腹泻,大部分患者的反应是比较轻微的,特别是这些实体瘤的化疗。
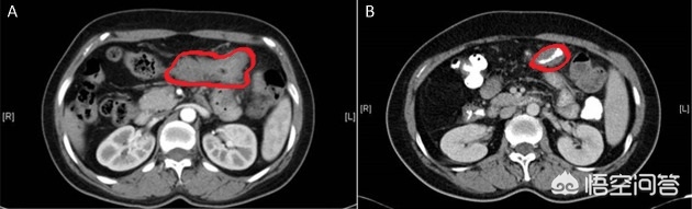
下面这张图是一个结肠癌的患者,左边是化疗前的CT,肿瘤特别大;右边是化疗后的CT,肿瘤明显缩小了。

放疗和化疗都存在一定的副作用,但是大家不要因噎废食,只要患者的身体条件能够耐受放疗和化疗,就应该积极的接受治疗,不存在说一次化疗和放疗,就把人搞垮的。其实杀死你的,往往是你恐惧和懦弱的心态。
希望我的回答对你有帮助,欢迎留言咨询,更多医学科普,请关注我。