黄斑区作为眼睛视力最敏锐的部位,常被眼科界视为手术禁区。3月7日,福州爱尔眼科医院成功开展首例白内障超声乳化、玻璃体切除、41G超精微针黄斑下注射tPA及人工晶体一期植入术治疗黄斑下出血。
术后1个月复查,黄斑下出血完全吸收,患者视力明显提高,标志着福州爱尔眼底病科专业水平再上新台阶。
看到镜子上大片黑渍?实则眼睛出问题
今年3月初,连江74岁的孙阿婆洗脸时,看到镜子上面有一大片黑渍,以为是镜子脏了,就拿纸巾擦,结果根本擦不掉,当即用手交替遮住双眼,才发现是左眼视野中央被黑影遮住了,孙阿婆知道眼睛出大问题了。
“当时吓坏了,一整个晚上惴惴不安。” 第二天孙阿婆在儿子的陪同下到当地医院就诊,医生开了药,建议她回家休息观察看看,但她担心万一耽误了病情,随后几天,又接连去了福州几家大医院,被告知是眼底黄斑下大片出血,要靠自己慢慢吸收。
除了可以吃些药促进吸收,也就没有什么好办法治疗,于是孙阿婆带着一包又一包药回到家,心情十分沮丧。
幸亏,儿子四处打听了解到福州爱尔眼科医院对疑难眼底病的治疗有很多成功的案例,母子二人前往就诊。
动脉瘤破裂黄斑下出血“微创中的微创”方案来应对
详细询问病史,福州爱尔眼科医院眼底病科副主任郑宏华博士了解到:孙阿婆左眼眼前固定黑影遮挡5天,有10多年高血压、6年左右糖尿病史,且血压、血糖控制不稳定。
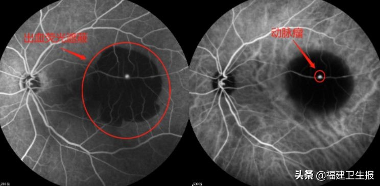
专科检查:左眼视力裸眼:0.1- 矫正无提高,眼压16.3mmHg,黄斑中心凹见一大小约10PD暗红色出血灶,眼底照相、OCT、FFA和ICGA的检查如下:

▲入院当天眼底照相检查

▲入院当天OCT检查

▲入院当天造影检查(左为FFA,右为ICGA)
“结合问诊,分析影像结果,我判断是左眼视网膜大动脉瘤,长在睫状视网膜动脉上,瘤体破裂,导致黄斑下出血。”郑宏华博士表示,以往由于技术条件限制,黄斑下出血往往采用保守方法,让积血自行吸收,但是血液中的含铁血黄素等会对视网膜神经细胞造成毒性作用,往往是积血吸收了,黄斑也萎缩了。因此,必须尽快进行手术清除黄斑下积血,否则肯定会对视功能造成严重的不可逆性损害。“很庆幸,这位患者因为比较重视自己病情,来得还算及时。”
面对紧急又复杂的病情,郑宏华博士当即邀请高朋芬院长、眼底病科黄艳冰博士会诊,对孙阿婆的病情严谨诊断,最终确定为左眼黄斑下出血(视网膜大动脉瘤)。
同时,他们发现:孙阿婆左眼白内障可以手术,黄斑中心凹旁偏颞上方隆起约1435um(约1.5mm),黄斑区出血面积约10PD,出血时间在1周左右,符合视网膜下tPA注射术手术指征。
经过反复讨论研究,制定出“微创中的微创”手术治疗方案,决定采用白内障超声乳化抽吸术联合玻璃体切除、玻璃体腔内注气术(气液交换)及视网膜下注射tPA新术式,为孙阿婆左眼进行手术。

高难度新技术,成功挑战眼科手术禁区
据了解,视网膜下tPA注射术难度极高,稍有丝毫偏差,会直接刺穿视网膜到脉络膜层,导致更多出血,甚至损伤视网膜神经细胞。
福州爱尔眼科医院高朋芬院长介绍:“在薄如蝉翼的视网膜上进针,将药物精准注射进视网膜神经上皮层和色素上皮细胞层之间,这个过程中确定进针的位置及深度至关重要,十分考验术者的技术。以往,这种视网膜注射可能导致视网膜裂孔甚至视网膜脱离,现在我们使用41G超精微针头,可以将这种风险降到最低。”
高朋芬院长提到的用41G超精微针头来注射重组组织纤维蛋白溶酶原激活物tPA,此针头直径仅有90μm,细如发丝,对视网膜的损伤极小,伤口几乎不可见,不需要激光封闭,非常适合黄斑注射,大大降低手术并发症的可能。
由于福州爱尔眼底团队是首次实施该术式,高朋芬院长、郑宏华博士、黄艳冰博士等眼底病团队联合手术室团队一起在术前广泛查阅国内外文献,做好规划,精确计算注药量和浓度,反复检查所有手术器械,模拟所有手术步骤和细节,确保万无一失。
术中团队默契配合,把控每一步操作,高朋芬院长顺利完成了白内障超声乳化、玻璃体切除、视网膜下注射tPA及人工晶体一期植入术、玻璃体腔内注气术(气液交换)。
“显示屏上,当看到药物按照预期注射到黄斑下,局部轻微隆起,所有人都松了一口气。”高朋芬院长略显激动地说道。

▲41G超微针头视网膜下注射tPA
术后第一天,孙阿婆欣喜地发现左眼前黑影变小变淡,“真是神医妙手呀!”孙阿婆不禁赞叹!当天,黄斑OCT提示积血明显吸收,高度隆起的黄斑也基本回归正常厚度,郑宏华博士抓住机会给孙阿婆做了视网膜大动脉瘤激光光凝术,防止发生再次出血。
术后一个月复查,孙阿婆的视力已提升至0.3,得到这样的治疗结果,她十分高兴,对高朋芬院长带领的眼底病团队感激不已。“因为那么多医生看过束手无策,来福州爱尔眼科我本来也没有抱太大希望,没想到能治疗这么好!”

▲福州爱尔眼科医院高朋芬院长、黄艳冰博士为孙阿婆复查
同时,孙阿婆也给福州爱尔眼科医院的服务打了五星好评,“第一次来福州爱尔,看诊完已中午12点多,我由于血糖低,头晕直冒冷汗,护士发现后,拿来点心和面包给我吃。”医院的服务给她留下了很好的第一印象,住院期间,细致入微的护理也让她在精神上得到极大的安慰。

▲福州爱尔眼科医院郑宏华博士嘱咐孙阿婆手术恢复期时注意事项
打破传统治疗局限,精通微创玻切技术驾驭新术式
高朋芬院长介绍,视网膜大动脉瘤若是远离中心凹上,早期患者因无任何感觉而很少发现,等到发生视网膜神经上皮层内及/或神经上皮层下渗出、出血、视力下降之后才会就医,因此初诊时大多见有渗出、出血,且累及黄斑区。
以往,对这种黄斑下出血的治疗方法非常有限,多数眼科医生会建议药物保守治疗,而血液长时间聚于黄斑区域,既存在毒性、机械损伤,又影响光感受器细胞代谢,等积血吸收了,黄斑也不可避免萎缩了,患者最终视力一般都很差。
微创玻璃体切除联合41G超精微针tPA视网膜下注射术是目前治疗黄斑下出血的有效方法,需要术者有熟练的微创玻璃体切除技术,通过将药物直接注射到出血区,促进出血吸收,让黄斑中心凹的功能尽快恢复,以达到精准治疗、恢复视力的目的。
高朋芬院长强调,治疗的时间窗很重要,一般认为,tPA视网膜下注射的最佳手术时机是出血后7-10天,太晚的话手术效果就差了。“我在临床上遇到许多晚期黄斑下积血的患者,由于没有积极的办法治疗,而感到非常遗憾和痛心,所以,特别呼吁患者出现症状尽快就诊。”
据悉,41G精微针视网膜下注射是福州爱尔眼科医院在开展25G+、27G微创玻璃体视网膜手术的基础上,实行的更加精细、微创的手术治疗。此项技术的成功开展,代表着福州爱尔眼科技术水平,紧跟国内外眼科学的最新进展,能够为百姓提供更加优质的眼健康服务。(陈雪彬)