Excuse me?孩子牙疼你还在给他吃消炎药!

“牙疼不是病,疼起来能要命”。相信很多人都有过牙痛的经历,对于成人来说,牙痛尚觉得难以忍受,那对于耐受力差的小孩子而言,牙痛更加难以言喻。 小孩子一旦牙痛,父母立马揪心,该怎么办才好呢?这时,许多家长会根据自己的生活经验选择给孩子服用消炎药、止痛药,可实际上这种做法是非常不可取的。

儿童体内的各种器官发育不成熟,抗生素很容易影响儿童的生长发育,很多的抗生素都是通过肝脏和肾脏代谢的,故会直接或间接的造成肝和肾功能损伤。此外,还有氨基糖苷类抗生素,如庆大、丁胺卡那等,容易造成儿童耳聋;喹诺酮类药物,如环丙沙星等对孩子软骨有潜在损害;氯霉素则可导致骨髓抑制和儿童灰色综合征。滥用抗生素还会导致小孩抵抗力下降、对抗生素依赖性增强等不良后果。
北京大学口腔医院荣文笙博士指出:造成小儿牙痛的原因有很多种,正确的做法是及时带孩子到正规的口腔医院就医,查明原因对因治疗。
那么,孩子为什么会牙疼呢?其实,造成孩子牙痛的原因有很多,常见原因有:
◎ 龋 齿
孩子患有龋齿时,就可能会有吃饭时牙疼的状况,遇到冷热食物时更是会加剧,龋齿的形成原因多半是与儿童的饮食中含有大量的糖,并且多数儿童没有很好地维护口腔卫生,久而久之牙菌斑堆积就会形成龋齿。


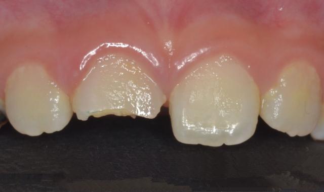
◎ 牙 外 伤
小孩子比较活泼特别是在学龄时期,在玩耍或较剧烈的运动时,常易发生碰撞、跌倒等,比成年人更易发生牙齿外伤。由于孩子处于生长发育时期,牙髓、牙周和牙槽骨组织与成人有一定差别,因此,家长在遇到孩子牙齿外伤时一定要加以重视。根据实际情况,及时带孩子到口腔医院就医的,因为专业的牙科医生会根据孩子牙齿损伤的实际情况给出相应建议以及治疗方法。


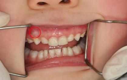
◎ 牙根尖炎
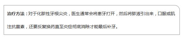
如果孩子有持续性的牙疼,牙龈上鼓起脓疱的情况,多半是患了牙根尖炎,这种疾病如果治疗不及时,疼痛会逐渐加重,严重时还会出现脸庞肿胀、发烧等症状。牙根尖周围发炎,有时会有发展成化脓性炎症的趋势。


最后,还是要提醒家长朋友们,遇到小儿牙疼的情况,一定要及时去医院就诊,遵医嘱治疗,切记不要乱用抗生素哦。
有效的刷牙方法是牙齿保健的重要前提,建议大家按照上述方法,坚持刷牙、早晚刷牙、晚上刷牙比早上刷牙更重要。刷牙时间方面,建议早上刷牙不少于2分钟,晚上刷牙不少于3分钟。不要再相信老来掉牙是正常的事了,从现在开始,每天有效刷好牙,相信您的牙齿可以健康陪伴一生。学习有效刷牙方法及口腔健康知识可关注“儿童及家庭口腔健康计划”微信公众号。