超声难不难?难,那我们又该从哪里开始呢?
是从解剖开始?还是从超声物理基础开始?还是从超声诊断图像开始?
解剖其实不用说了,医学专业毕业的,我相信大家至少都知道肝、胆、胰、脾、肾在哪里。所以解剖我们不一定得先学的明明白白才开始了解超声。
那从物理基础开始怎么样?相信大家都是这么过来的,翻开第一页:超声诊断的基础和原理。。。其实很多朋友可能在这一章就觉得超声多难啊,还要学这么多物理,(不学了不学了)。
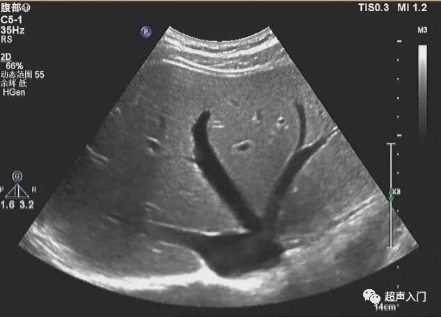
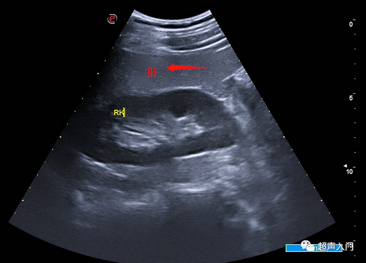
不急,朋友,你是否愿意从超声图像开始呢?比如,这像不像我们平时见到的肝?


图源:网络
有木有多了些兴趣?有木有多了些放松?
那我们再来了解一些基础疾病看看,看看超声是否那么的难。
01 肝囊肿

(肝里面那个黑洞洞)
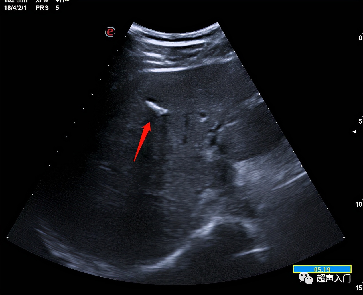
02 肝内钙化灶

(肝里的那个白条条)
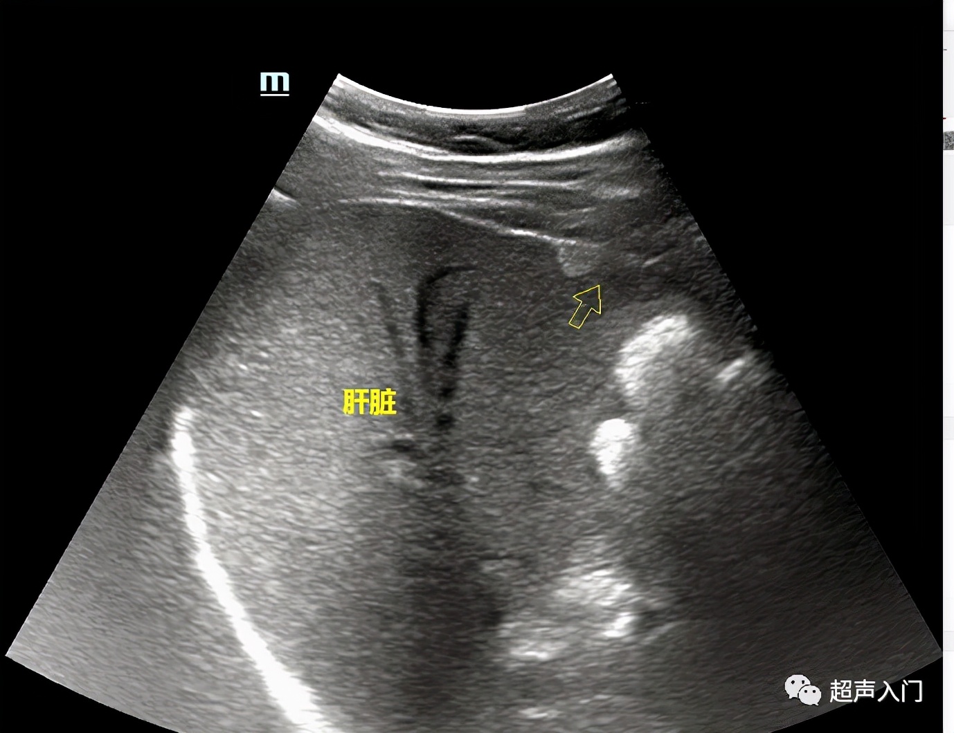
03 肝内血管瘤

(箭头前面那个白团团)
04 肝内胆管结石

(肝里的白条条,注意和肝内钙化灶鉴别哦)
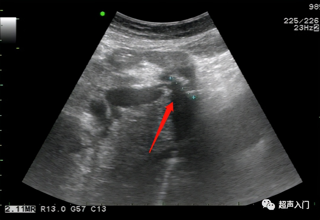
05 肝内胆管扩张

(著名的“平行管”征)
06 脂肪肝

(像不像“沙粒”般细密)
07 胆囊结石

(瞅见那不省心的玩意儿了吗?)
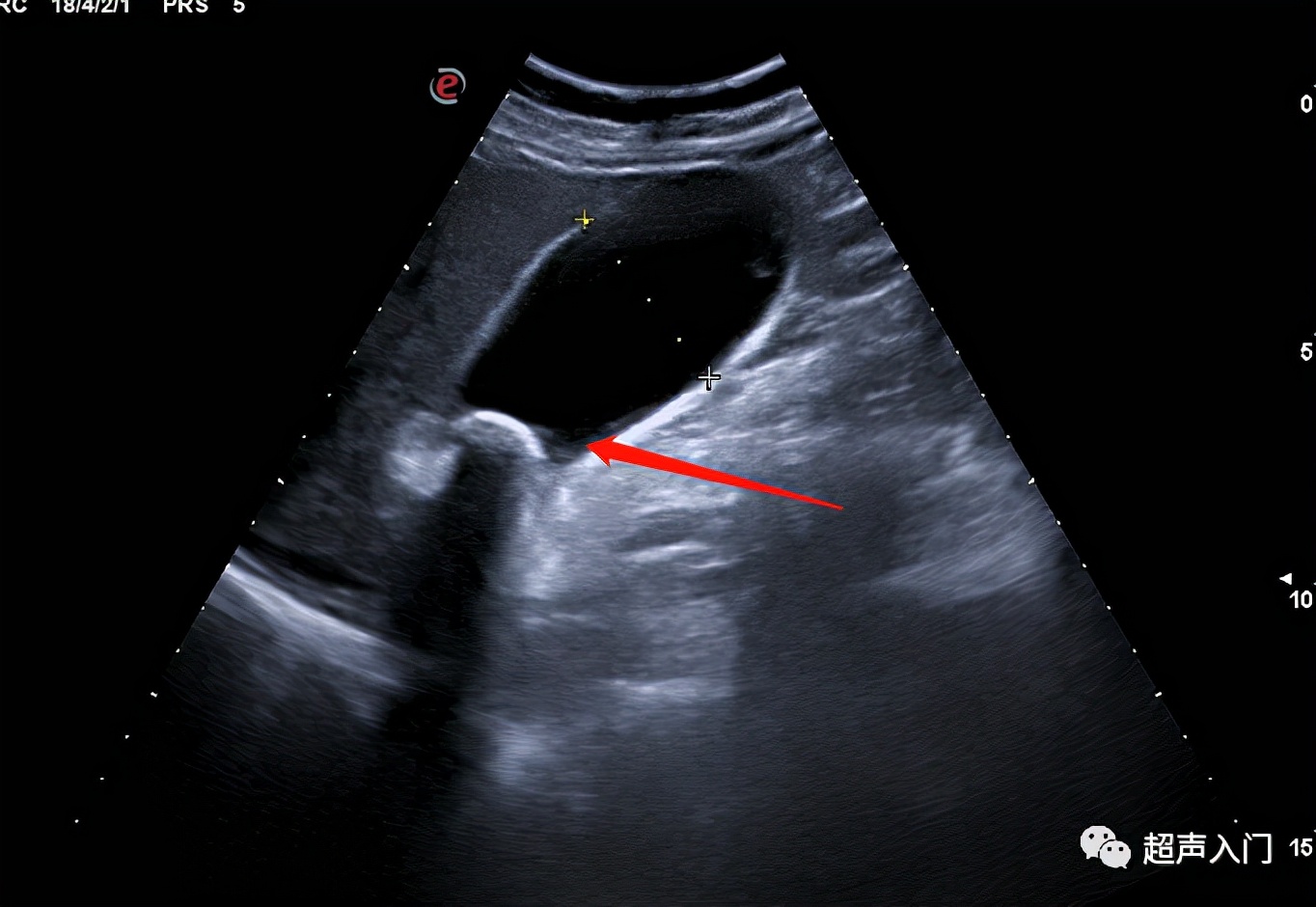
08 胆囊息肉

(胆囊上的肉疙瘩)
看了上面那些经典案例有木有觉得超声没那么难了?也能看懂了是吧?
超声的学习对于开始没有系统地学习或者了解过的朋友却是有一定难度,我们不一定要硬碰硬,非得从物理基础开始,我们可以先了解一些基础超声图像,正常的,或者简单典型的,当你自己第一次看出来胆囊结石,相信你会内心无比激动,当你了解完基础疾病,对超声充满热情的时候,这时不妨翻开第一章,重温一下物理学霸上身的快感,真正掌握超声物理基础之后,相信你会在超声探头前蜜汁微笑(哼,小样儿,你不过如此)。
超人,超多的学习、实践和总结才能成为真正的超人,如果你觉得学习超声无从下手,你可以试试先拿起探头,试着探索探索,不要一直盯着老师的屏幕看,也不要在后面无味的看书或者玩手机,超声我也理解为“操生”,也是操作,也是会生出主动思考的问题。
这样你在了解多普勒的时候就不会想“这个****,坏得很”,而是怀着崇高的敬意,也再不会苦恼,谁出的这物理,我学了几年医,还得回来学物理。
超声是有趣的,是生动的,只要我们去探索,它就是有色彩的。
- E N D -