
北京麦瑞骨科医院
8月7日,我院为北京老知青颈椎病患者鲍师傅做了经后路颈椎椎板切开减压内固定手术,并将相关专题发在麦瑞骨科医院微信公众号上,反响热烈,热心粉丝们不断追问小麦:鲍师傅恢复怎么样了,手术预后如何啊……好吧,小麦就厚着脸皮去打扰鲍师傅一下下,鲍师傅恢复良好,手术效果明显,鲍师傅的家属说:“做完手术后明显跟术前不一样了,走路稳了,手脚麻木减轻,总想着出去多练练走路。”

鲍师傅恢复良好
鲍师傅恢复良好,就让很多关心他的小伙伴们放下心来。那么小麦就有些好奇,这种手术到底有什么独到之处,让鲍师傅的颈椎病恢复得如此神速?
为此,麦瑞骨科医院的*德朱**君副院长揭开了谜底:
技术先进,更多“科技内涵”:
朱副院长说,经后路颈椎椎板切开减压内固定术临床多应用单开门椎管扩大成形术,此法治疗多节段颈椎间盘突出、多节段后纵韧带骨化等脊髓型颈椎病收效甚好,既可以获得间接脊髓减压效果,同时也能保留更多颈椎活动功能。换句话说,就是用最小的代价,让患者受压脊髓不在被持续压迫以致变性,引发功能障碍,同时也最大限度地保留了颈椎的原始功能,让它继续为主人发挥功能,将功补过。
朱副院长也揭秘了更多的手术过程中的“科技内涵”。在手术正式开始前,麻醉科主任何叶林根据患者病史信息进行综合考量,针对患者高血压、糖尿病和腔隙性脑梗塞的病史,制定了一整套实时麻醉作业管理方案。

麻醉科主任何叶林正为患者做术前麻醉准备
在全身麻醉管理过程,他们除了维持适度的麻醉深度,平稳的血压、心率,通畅的呼吸、充分的血氧饱合度之外,为避免过度通气,确保呼末二氧化碳分压不宜偏低(因为低分压二氧化碳易致脑内血管收缩甚至脑组织缺血、缺氧也会增加脑梗塞风险),术中麻醉医师不停地调整呼吸节律确保二氧化碳分压维持在正常范围,保证病人平稳地渡过了手术期。
团结就是力量!手术之所以成功进行,顺利完成,就是有包括麻醉科同仁,以及任冬云护士长在内的全体团队成员跨部门配合、分环节协作的结果。

麻醉科主任何叶林、任冬云护士长在手术现场分工协作
手术使用的钉板系统也有很多“科技内涵”。所用的钉板是微型钛板,利用钛合金良好的组织相容性,在手术开窗复位的时候用椎板和螺丝对椎骨进行固定,有利于螺钉—骨界面的长期稳定,实用性更强。这样,既对“门轴”侧起到牢固的稳定作用,也为“铰链”侧骨性愈合提供良好的环境;同时还会促进门轴侧顺利地达到骨性愈合,防止椎板原位还纳,在术后可提供即刻稳固、不变形的机械强度。
相比之下,传统手术的缺点就很明显。朱副院长强调,传统术式应用丝线悬吊或带线铆钉固定,通过丝线将掀起的椎板缝合到椎板肌或小关节囊上,即“软性”门轴固定,但该术式一定程度上存在缺点:
1.容易出现丝线断裂、松弛。由于颈部活动椎旁肌的收缩,可使掀起的椎板向原位还纳及出现“再关门”现象,导致椎管出现再狭窄;
2.悬吊过程中缝线可能造成小关节囊周围组织中颈神经后支的刺激或损伤,特别是由后支分出的内侧支,可引起术后节段性分布的颈背部疼痛、肌肉痉挛、局部僵硬等。
专治颈椎骨病,患者如获新生
朱副院长说:“患者刚住院的时候,手脚无力而麻木感强烈,走路如同踩棉花般使不上劲,精神状态也不好。入院时大夫们判断为颈椎病,后来拍了片做了CT之后一核对,颈椎变形狭窄后韧带钙化,典型的脊髓型颈椎病。”脊髓型颈椎病为退变性颈椎病中最常见、最严重的类型之一,其致病病理是由于颈椎椎骨间连接结构退变,如椎间盘突出、椎体后缘骨刺、后纵韧带骨化等,导致脊髓受压或脊髓缺血,继而出现脊髓的功能障碍。在临床上多表现为手无力,麻木,写字拿筷子等都很困难,走路如踩棉花般,同时伴有肌萎缩、疼痛等症状。
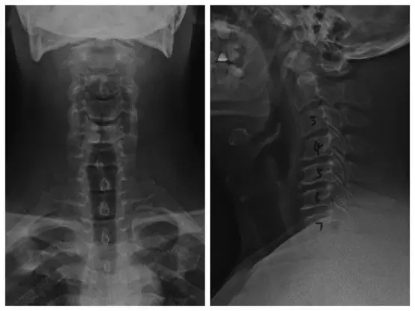
而鲍师傅的颈椎就是颈椎管严重骨性狭窄,第3到第7椎间盘突出,合并钙化,颈5—7椎间隙水平前纵韧带增厚。变形椎骨和钙化韧带前后夹击,压迫脊髓,并且手术时发现其脊髓颜色也异于正常脊髓,幸好鲍师傅选对医院及时手术,要不然一旦脊髓受压变性严重,后果不堪设想。
朱副院长介绍说,脊髓型颈椎病占全部颈椎病的10%~15%,在发病初期不容易引起重视,但一旦严重就需要及时就医,否则严重者会致残。治颈椎病,选对医院是关键。作为权威、专业的骨科医院,颈椎病是麦瑞骨科医院的重点打击对象之一。医院专家团队力量雄厚,专病专治,针对脊髓型颈椎病重症患者,麦瑞骨科医院的专家们采用技术更为先进、康复效果更好、并发症更少的经后路颈椎椎板切开减压内固定术,为更多患者找到病灶,辩证施治,远离痛苦重获新生。如今鲍师傅精神十足,手脚无力感逐渐消失,疼痛感大有缓解,开始慢慢恢复到正常生活。

看来,治疗颈椎病,还得找权威的专业医院。像鲍师傅这样的患者就是最好的证明。愿更多的颈椎病患者早日康复,希望希望我们每一个人都善待自己的颈椎,让它更好地为主人服务!
最后,小编还要骄傲滴说一句:麦瑞虽然是二甲医院,但是在开展这种颈腰椎病大手术方面的能力也是杠杠的,为麦瑞点赞
