文 | 药疗君,编 | 瞧瞧
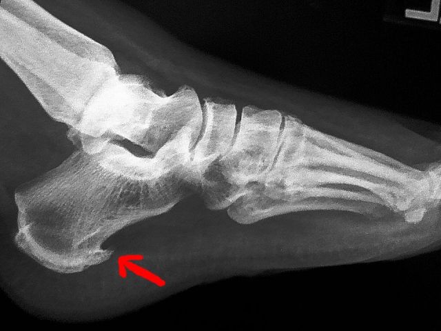
最近一段时间,王老先生双侧足跟持续疼痛。开始时他没当回事,谁知越来越严重,到医院拍片后,发现一侧有骨刺,另一侧也有骨刺

骨刺是什么?
骨刺是由于构成关节的软骨、椎间盘、韧带等软组织变性、退化,关节边缘形成骨刺。就像自行车需要有一个支架才能放稳一样,当骨骼周围的肌肉韧带没办法提供足够的支撑的时候,骨骼的正常受力就会改变,为了不被压断,骨头会自行加固,逐渐长出一个支撑点来保持稳定。
随着年龄增加,每个人或多或少都会有长骨刺的情形,而X光上出现骨刺也不见得就需要接受治疗,只有在骨刺压迫到神经引起其他症状时,才需要进一步接受治疗。

长了骨刺会怎么样?
首先要说的是并非所有的骨刺都一定会有症状,如果骨刺没有压迫到神经根,可能好多年都没有任何症状。相反,如果骨刺生长的部位刚好压迫到附近的神经根或脊椎,那就会因其压迫的神经根和位置不同,产生的症状或并发症亦各不相同。
主要表现在关节、脊椎、腰、肩、手指、足跟等。比如,身体僵硬不能灵活弯身转身,疼痛、红肿、麻痹,甚至关节变形、肌肉无力等症状。
骨刺的并发症包括有坐骨神经痛、椎间盘突出、腰椎狭窄症、退化性膝关节炎等,这些并发症致使患者身体活动不适,生活不便,严重时甚至影响患者的生活品质。
骨刺的治疗
轻微的并发症状,可以通过休息、药物或复健治疗、物理治疗来缓解症状。如果疼痛且不是很严重的话,可以使用单纯的止痛药、消炎药、镇静剂及肌肉松弛剂或非类固醇抗炎止痛剂,如阿斯匹灵、普拿疼等,减轻疼痛,使症状获得缓解。
也可以采热敷、超音波、电刺激、头部牵引术等方法。热敷是为了增加局部病态组织血液循环,改善肌肉的缺血现象;电刺激与超音波则是为了促进较深部肌肉构造血液循环;头部牵引则有拉开神经孔、增加局部血液循环与减少关节负担的作用。当药物治疗或是复健治疗3个月以上,仍无法改善症状时,就必须进一步施以手术治疗。

如何做好日常防护?
1.坚持户外活动
最好每天坚持户外活动半小时到1小时,但要注意应选择如太极拳、散步、平路快走等强度小的运动。不要爬山、跑步、爬楼梯、负重下蹲运动等运动。
2.适当的补钙
老年人骨质增生与钙的缺乏也有一定关系,并且钙的摄取量应较一般成年人增加50%左右,即每日成分钙不少于1200毫克,建议多食牛奶、蛋类、虾皮、豆制品、蔬菜和水果,必要时要补充钙剂。而且要经常晒太阳及补充适当维生素D,以增加钙的吸收。 3.自我按摩
是一种保健性的自我按摩运动,可采用坐位或站位,用双手掌及各指自上而下在身体各关节部位进行按摩,力量由轻而重,直至局部发热,以促进局部的血液循环,缓解肌肉的僵硬和紧张。 4.注意保暖
减少关节部位受伤、受潮、受寒。避免贪食生冷之物,不要长时间在空调下吹凉。 5.减轻体重
过重的体重会加速关节软骨的磨损,使关节软骨面上的压力不均匀,造成骨质增生。因此对于体重超标的人,适当的减轻体重可以预防脊柱和关节的骨质增生。 6.出现疼痛及早诊治
如果局部关节、肌肉部位出现疼痛,要及早就医。为了避免骨质增生所可能带来的危害,一旦确诊,要做到早发现,早治疗。